Magnetic resonanse imaging as a prognostic tool in encephalitis in children
- Authors: Marchenko N.V.1, Voitenkov V.B.1,2, Skripchenko N.V.1, Kurzanceva O.O.2
-
Affiliations:
- Pediatric Research and Clinical Center for Infectious Diseases
- Academy of Postgraduate Education under the FSBU «Federal Scientific and Clinical Center for Specialized Medical Assistance and Medical Technologies of the Federal Medical Biological Agency»
- Issue: Vol 10, No 3 (2019)
- Pages: 55-60
- Section: Reviews
- Submitted: 27.06.2019
- Accepted: 09.09.2019
- Published: 06.11.2019
- URL: https://clinpractice.ru/clinpractice/article/view/14513
- DOI: https://doi.org/10.17816/clinpract10355-60
- ID: 14513
Cite item
Full Text
Abstract
We provide the data on the modern use of MRI of different modalities as a prognostic tool in the encephalitis diagnostics in pediatrics. According to the recent scientific knowledge, this implementation is possible, but its efficacy depends on the modality of MRI: structural, functional or MRI with contrast. Structural MRI efficacy in children with encephalitis is dubious and clearly depends on the etiology and phase of the inflammatory process. In the recent years, the implementation of the functional MRI methods (DTI & MRS) and MRI with contrast significantly changed the imaging practice; there are some reports that these modalities of MRI are more effective as a prognostic tool in encephalitis than the structural one. Thus, a future research in this field is needed.
Keywords
Full Text
Нейроинфекции у детей являются одной из важнейших проблем современной медицины. Своевременная диагностика и научно обоснованное прогнозирование характера течения заболевания и его исходов играют решающее значение в их ведении [1]. В качестве дополнения к клиническому обследованию пациентов широко применяются методы инструментальной диагностики, в частности нейровизуализации [2]. Среди этих методов особое место занимает магнитно-резонансная томография (МРТ), позволяющая осуществлять максимально подробную визуализацию исследуемых органов и тканей [3]. По характеру задействуемых протоколов МРТ можно разделить на структурную и мультипараметрическую [3]. Структурная МРТ позволяет оценить анатомические особенности, распространенность общих и/или очаговых нарушений и их характер. Мультипараметрическая МРТ состоит из следующих методик: диффузионно-взвешенные изображения (diffusion-weighted images, DWI), диффузионно-тензорные изображения (diffusion-tensor images, DTI), МР-спектроскопии (МРС). При исследовании с контрастированием осуществляется оценка характера васкуляризации зоны интереса, интенсивности экстравазации контраста, характеризующей, в частности, целостность гематоэнцефалического барьера.
В клинической практике как метод визуализации чаще всего используется структурная МРТ [3]. Отдельным вопросом для изучения является то, каким именно образом МРТ головного и спинного мозга отражает воспалительные изменения, их взаимосвязь с невральной атрофией, уровнями цитокинов и смертностью [4]. В педиатрической практике при воспалении вещества головного мозга МРТ привлекается в качестве инструмента прогнозирования качества жизни, смертности и риска развития симптоматической эпилепсии [5]. Согласно данным ряда авторов, в том числе по результатам проведенного метаанализа, структурная МРТ не имеет прогностической ценности при таких нозологиях, как аутоиммунный энцефалит [6–11], энцефалит, вызванный вирусом Эпштейна–Барр, и неаутоиммунный лимбический энцефалит [12, 13]. В то же время при обусловленной приемом натализумаба прогрессирующей мультифокальной лейкоэнцефалопатии сообщается о прогностической значимости площади очагов, выявляемых с помощью структурной МРТ [14]. В целях прогнозирования при нейроинфекциях МРТ также применяется с привлечением мультипараметрических и контрастных методик [15–17].
При оценке прогностической ценности структурной МРТ и данных DTI и МРС у пациентов с энцефалитом типа LGI1 (leucin-rich glioma-inactivated 1 protein) было установлено, что в остром периоде на структурной МРТ изменений где-либо, кроме височных долей, не выявлено; по данным DTI регистрировались широко распространенные изменения белого вещества полушарий и мозжечка со снижением по данным МРС уровня глутамина и глутамата [18]. Прогностически значимыми, с точки зрения исходов, оцениваемых по шкале Рэнкина и по шкале когнитивного дефицита Адденбрука, оказались объем сохранного серого вещества и степень дезинтеграции трактов в белом веществе. При рабическом энцефалите, ВИЧ-ассоциированной лейкоэнцефалопатии, японском энцефалите и энцефалите, вызванном вирусом Эпштейна–Барр, также сообщается о значительно более широком спектре поражения головного мозга, выявляемого с помощью DTI, по сравнению с таковым по данным структурной МРТ [19–22]. Пример изменений, выявляемых с помощью структурной МРТ при энцефалитах у детей, представлен на рис. 1.
Рис. 1. МРТ головного мозга пациентки Х., 4 года: энцефалит цитомегаловирусной этиологии, острый период заболевания
Примечание. На МРТ в последовательностях Т2 и FLAIR выявляются очаги воспаления в коре (1), таламусах (2, 3) и стволе мозга (4) (собственные данные).
При стволовом энцефалите, обусловленном энтеровирусом EV71, регистрация билатеральных симметричных или унилатеральных гиперинтенсивных Т1 и Т2 очагов, расположенных в задней части ствола, сочетавшихся с очагами в шейном отделе спинного мозга, коррелировала с неблагоприятным прогнозом — смертность у детей с подобным паттерном была достоверно выше, чем у пациентов, у которых регистрировались неинтенсивные одиночные очаги в задней части ствола, не сочетавшиеся с поражением спинного мозга [23].
При проведении структурной МРТ у детей с клещевым энцефалитом описывается широкий спектр изменений с частым поражением таламуса [24–27], хотя прогностического значения при данной этиологии заболевания процедура не имела. В таких случаях рекомендуется проведение МР-спектроскопии [28]. С другой стороны, в исследованиях с участием 111 и 656 пациентов сообщается о достоверной корреляции неблагоприятных исходов клещевого энцефалита с данными структурной МРТ (площадью и расположением очагов) [29, 30].
В работах, анализирующих прогностическую ценность ряда методов исследований, в том числе структурной МРТ, на выборке из 258 пациентов с герпесвирусным и японским энцефалитом, энцефалитом, обусловленным вирусами денге, краснухи, кори, ветряной оспы, а также лептоспирозной, тифозной инфекцией и малярией, указанная методика прогностической значимости также не показала [7, 16].
Пример изменений на МРТ у детей с вирусными энцефалитами, выявляемых с помощью фракционной анизотропии, представлен на рис. 2.
Рис. 2. МРТ головного мозга пациентки Х., 4 года: энцефалит цитомегаловирусной этиологии, острый период заболевания
Примечание. Снижение значений фракционной анизотропии при выполнении диффузионно-тензорной методики (DTI) в очагах косвенно свидетельствует о наличии в них цитотоксического отека; отмечается также сохранение целостности трактов (собственные данные).
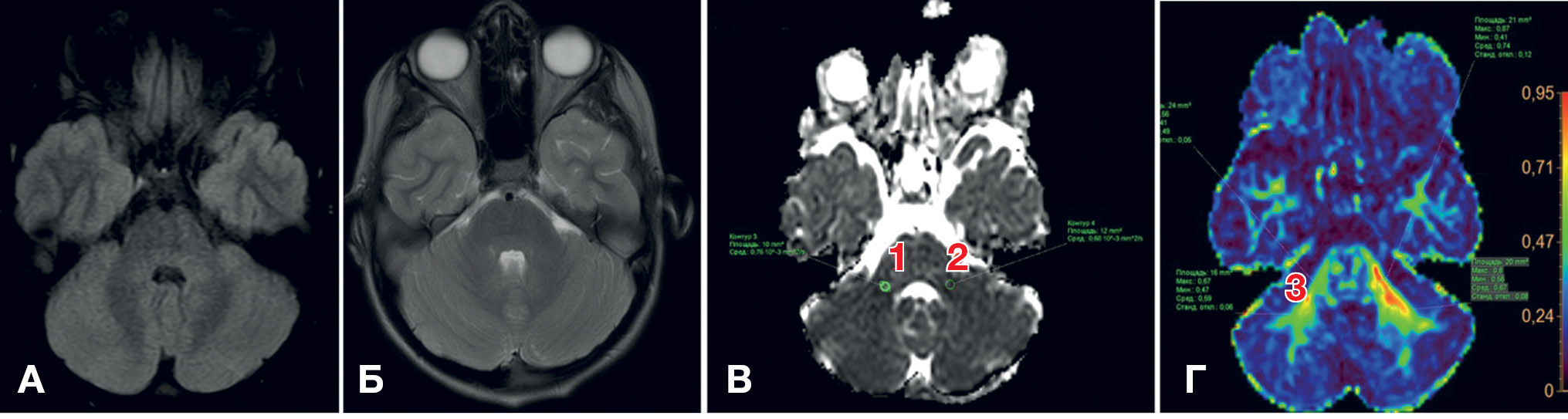
При герпетическом энцефалите с помощью мультивариантного анализа было установлено, что ограничение диффузии на МРТ достоверно коррелирует с неблагоприятным исходом заболевания, в то время как расположение или распространенность очагов при FLAIR-/T2-исследовании не выявили достоверной связи [31, 32]. У новорожденных применение DWI при герпетическом энцефалите позволяет выявлять поражение головного мозга на ранних этапах развития заболевания: наличие билатеральных очагов в белом веществе мозга достоверно коррелирует с неблагоприятным прогнозом исхода [33]. Также при вирусном энцефалите у детей показано, что параметры артериальной спин-меченой перфузии (arterial spin-labeling perfusion) коррелируют с неблагоприятным исходом по смертности и развитию судорожного статуса [34]. Методика МР-спектроскопии может быть эффективной в выявлении маркеров разрушения клеточной стенки и часто применяется для этих целей (рис. 3).
Рис. 3. МРТ головного мозга пациентки Х., 4 года: энцефалит цитомегаловирусной этиологии, острый период заболевания
Примечание. При МР-спектроскопии по водороду отмечается повышение пика холина — маркера разрушения клеточной стенки (1) (собственные данные).
Методики с введением контраста также эффективны в прогнозировании развития поражения нервной системы, связанного с воспалением: так, при прогрессирующей мультифокальной лейкоэнцефалопатии у пациентов с ВИЧ накопление гадолиния было достоверно выше при развитии синдрома иммунного восстановления [35].
Пример изменений, не выявленных методом структурной МРТ, но обнаруженных с помощью мультипараметрической МРТ у ребенка с вирусным энцефалитом, представлен на рис. 4.
Рис. 4. МРТ головного мозга пациента М., 10 лет: энцефалит цитомегаловирусной этиологии
Примечание. А, Б — убедительные изменения на Т2-, FLAIR- и DWI-режимах отсутствуют. В, Г — снижение фракционной анизотропии в правой ножке (1) и полушарии мозжечка (2, 3) в сравнении с контралатеральной стороной (косвенные признаки снижения нейрональной плотности), сохранение целостности трактов (собственные данные).
В клинической практике, особенно в педиатрической, целесообразно также сочетание нейровизуализационных методов исследования с нейрофизиологическими, учитывая неинвазивность последних и возможность их применения в режиме мониторинга. При вирусных энцефалитах у детей сочетание МРТ головного мозга с исследованием соматосенсорных вызванных потенциалов позволяет достоверно прогнозировать исход заболевания [36]. Также показана целесообразность подобного сочетания методов дополнительного обследования при дифференциальной диагностике между рассеянным склерозом, диссеминированным энцефаломиелитом и вирусными энцефалитами [37].
Другой нейрофизиологической методикой, используемой в сочетании с МРТ в прогностических целях при герпесвирусном энцефалите, является длительный ЭЭГ-мониторинг [38]. В современных условиях, когда МРТ повсеместно привлекается для оценки не только органических, но и функциональных нарушений, в том числе оценки хода процессов нейропластичности и межполушарных взаимодействий, сочетанное и адекватное применение мультипараметрической МРТ предпочтительно [38–40].
ЗАКЛЮЧЕНИЕ
Применение МРТ в качестве инструмента прогнозирования при энцефалитах возможно и целесообразно. Сведения о прогностической ценности данных структурной МРТ различаются у разных авторов. В последние годы в практику широко внедряются методики мультипараметрической МРТ, использование которых в качестве инструмента прогнозирования в педиатрической практике более перспективно, чем структурной МРТ.
ИСТОЧНИК ФИНАНСИРОВАНИЯ
Исследование проведено без спонсорской поддержки.
КОНФЛИКТ ИНТЕРЕСОВ
Авторы подтвердили отсутствие конфликта интересов, о котором необходимо сообщить.
УЧАСТИЕ АВТОРОВ
Н.В. Марченко, В.Б. Войтенков, О.О. Курзанцева — написание текста; Н.В. Скрипченко — написание текста, общее руководство.
About the authors
Natalia V. Marchenko
Pediatric Research and Clinical Center for Infectious Diseases
Email: gmv@mail.ru
MD, PhD, Head of the department
Russian Federation, St-PetersburgVladislav B. Voitenkov
Pediatric Research and Clinical Center for Infectious Diseases; Academy of Postgraduate Education under the FSBU «Federal Scientific and Clinical Center for Specialized Medical Assistance and Medical Technologies of the Federal Medical Biological Agency»
Author for correspondence.
Email: vlad203@inbox.ru
ORCID iD: 0000-0003-0448-7402
MD, PhD, Head of the department, Associate Professor
Russian Federation, St-Petersburg; MoscowNatalia V. Skripchenko
Pediatric Research and Clinical Center for Infectious Diseases
Email: snv@niidi.ru
MD, PhD, Dr.Hab, Professor, Deputy Director
Russian Federation, St-PetersburgOlga O. Kurzanceva
Academy of Postgraduate Education under the FSBU «Federal Scientific and Clinical Center for Specialized Medical Assistance and Medical Technologies of the Federal Medical Biological Agency»
Email: science@medprofedu.ru
канд. мед. наук, доцент, ученый секретарь Ученого совета
Russian Federation, MoscowReferences
- Лобзин Ю.В., Рычкова С.В., Скрипченко Н.В., и др. Состояние инфекционной заболеваемости у детей в Российской Федерации за 2016–2017 гг. // Медицина экстремальных ситуаций. — 2018. — Т.20. — №3. — С. 253–261. [Lobzin YuV, Rychkova SV, Skripchenko NV, et al. The state of infectious disease prevalence rate in children in the russian federation for the period of 2016–2017. Medicina jekstremal’nyh situacij. 2018;20(3):253–261. (In Russ).]
- Коновалов А.Н., Корниенко В.Н., Пронин И.Н. Магнитно-резонансная томография в нейрохирургии. — М.: ТОО «Видар»; 1997. — 471 с. [Konovalov AN, Kornienko VN, Pronin IN. Magnitno-rezonansnaja tomografija v nejrohirurgii. Moscow: TOO «Vidar»; 1997. 471 р. (In Russ).]
- Трофимова Т.Н., Ананьева Н.И., Назинкина Ю.В., и др. Нейрорадиология. — СПб.; 2009. — 288 с. [Trofimova TN, Anan’eva NI, Nazinkina JuV, i dr. Nejroradiologija. Saint Petersburg; 2009. 288 р. (In Russ).]
- Hanning U, Roesler A, Peters A, et al. Structural brain changes and all-cause mortality in the elderly population-the mediating role of inflammation. Age (Dordr). 2016;38(5-6):455–464. doi: 10.1007/s11357-016-9951-9.
- Rao S, Elkon B, Flett KB, et al. Long-term outcomes and risk factors associated with acute encephalitis in children. J Pediatric Infect Dis Soc. 2017;6(1):20–27. doi: 10.1093/jpids/piv075.
- Dong X, Zheng D, Nao J. Clinical characteristics and factors associated with short-term prognosis in adult patients with autoimmune encephalitis of non-neoplastic etiology. Neurol Sci. 2019;40(8):1567–1575. doi: 10.1007/s10072-019-03883-7.
- Wang GL, Yin F, Wang Y. [Clinical analysis of 71 cases of anti-N-methyl-D-aspartate receptor encephalitis in children. (Article in Chinese).] Zhonghua Er Ke Za Zhi. 2019;57(2):125–130. doi: 10.3760/cma.j.issn.0578-1310.2019.02.012.
- Si Z, Wang A, Liu J. Typical clinical and imaging manifestations of encephalitis with anti-γ-aminobutyric acid B receptor antibodies: clinical experience and a literature review. Neurol Sci. 2019;40(4):769–777. doi: 10.1007/s10072-018-3679-5.
- Sai Y, Zhang X, Feng M, et al. Clinical diagnosis and treatment of pediatric anti-N-methyl-D-aspartate receptor encephalitis: A single center retrospective study. Exp Ther Med. 2018;16(2):1442–1448. doi: 10.3892/etm.2018.6329.
- Li W, Wu S, Meng Q, et al. Clinical characteristics and short-term prognosis of LGI1 antibody encephalitis: a retrospective case study. BMC Neurol. 2018;18(1):96. doi: 10.1186/s12883-018-1099-z.
- Broadley J, Seneviratne U, Beech P, et al. Prognosticating autoimmune encephalitis: a systematic review. J Autoimmun. 2019;96:24–34. doi: 10.1016/j.jaut.2018.10.014.
- Dyachenko P, Smiianova O, Kurhanskaya V, et al. Epstein-barr virus-associated encephalitis in a case-series of more than 40 patients. Wiad Lek. 2018;71(6):1224–1230.
- Graus F, Escudero D, Oleaga L, et al. Syndrome and outcome of antibody-negative limbic encephalitis. Eur J Neurol. 2018;25(8):1011–1016. doi: 10.1111/ene.13661.
- Hoepner R, Kolb EM, Dahlhaus S, et al. Predictors of severity and functional outcome in natalizumab-associated progressive multifocal leukoencephalopathy. Mult Scler. 2017;23(6):830–835. doi: 10.1177/1352458516667241.
- Marinelli L, Trompetto C, Cocito L. Diffusion magnetic resonance imaging diagnostic relevance in pyogenic ventriculitis with an atypical presentation: a case report. BMC Res Notes. 2014;7:149. doi: 10.1186/1756-0500-7-149.
- Kalita J, Mani VE, Bhoi SK, Misra UK. Spectrum and outcome of acute infectious encephalitis/encephalopathy in an intensive care unit from India. QJM. 2017;110(3):141–148. doi: 10.1093/qjmed/hcw132.
- Misra UK, Kalita J, Mani VE, et al. Central nervous system and muscle involvement in dengue patients: A study from a tertiary care center. J Clin Virol. 2015;72:146–151. doi: 10.1016/j.jcv.2015.08.021.
- Szots M, Blaabjerg M, Orsi G, et al. Global brain atrophy and metabolic dysfunction in LGI1 encephalitis: A prospective multimodal MRI study. J Neurol Sci. 2017;376:159–165. doi: 10.1016/j.jns.2017.03.020.
- Rao AS, Varma DR, Chalapathi Rao MV, Mohandas S. Case report: magnetic resonance imaging in rabies encephalitis. Indian J Radiol Imaging. 2009;19(4):301–304. doi: 10.4103/0971-3026.57214.
- Guo Y, Wang S, Jiang B, et al. Encephalitis with reversible splenial and deep cerebral white matter lesions associated with Epstein-Barr virus infection in adults. Neuropsychiatr Dis Treat. 2017;13:2085–2092. doi: 10.2147/NDT.S135510.
- Godi C, De Vita E, Tombetti E, et al. High b-value diffusion-weighted imaging in progressive multifocal leukoencephalopathy in HIV patients. Eur Radiol. 2017;27(9):3593–3599. doi: 10.1007/s00330-017-4761-8.
- Li JW, Gao XY, Wu Y, et al. A centralized report on pediatric japanese encephalitis cases from beijing children’s hospital, 2013. Biomed Environ Sci. 2016;29(12):902–908. doi: 10.3967/bes2016.121.
- Chen F, Li J, Liu T, et al. MRI characteristics of brainstem encephalitis in hand-foot-mouth disease induced by enterovirus type 71 — will different MRI manifestations be helpful for prognosis? Eur J Paediatr Neurol. 2013;17(5):486–491. doi: 10.1016/j.ejpn.2013.03.004.
- Bender A, Schulte-Altedorneburg G, Walther EU, Pfister HW. Severe tick borne encephalitis with simultaneous brain stem, bithalamic, and spinal cord involvement documented by MRI. J J Neurol Neurosurg Psychiatry. 2005;76(1):135–137.
- Schmolck H, Maritz E, Kletzin I, Korinthenberg R. Neurologic, neuropsychologic, and electroencephalographic findings after European tick-borne encephalitis in children. J Child Neurol. 2005;20(6):500–508. doi: 10.1177/088307380502000606.
- Jones N, Sperl W, Koch J, et al. Tick-borne encephalitis in a 17-day-old newborn resulting in severe neurologic impairment. Pediatr Infect Dis J. 2007 Feb;26(2):185–186.
- von Stülpnagel C, Winkler P, Koch J, et al. MRI-imaging and clinical findings of eleven children with tick-borne encephalitis and review of the literature. Eur J Paediatr Neurol. 2016;20(1):45–52. doi: 10.1016/j.ejpn.2015.10.008.
- Zawadzki R, Garkowski A, Kubas B, et al. Evaluation of imaging methods in tick-borne encephalitis. Pol J Radiol. 2017;82:742–747. doi: 10.12659/PJR.903940.
- Kaiser R. The clinical and epidemiological profile of tick-borne encephalitis in southern Germany 1994-98: a prospective study of 656 patients. Brain. 1999;122(Pt 11):2067–2078. doi: 10.1093/brain/122.11.2067.
- Lenhard T, Ott D, Jakob NJ, et al. Predictors, Neuroimaging characteristics and long-term outcome of severe european tick-borne encephalitis: a prospective cohort study. PLoS One. 2016;11(4):e0154143. doi: 10.1371/journal.pone.0154143.
- Singh TD, Fugate JE, Hocker S, et al. Predictors of outcome in HSV encephalitis. J Neurol. 2016;263(2):277–289. doi: 10.1007/s00415-015-7960-8.
- Rabinstein AA. Herpes virus encephalitis in adults: current knowledge and old myths. Neurol Clin. 2017;35(4):695–705. doi: 10.1016/j.ncl.2017.06.006.
- Okanishi T, Yamamoto H, Hosokawa T, et al. Diffusion-weighted MRI for early diagnosis of neonatal herpes simplex encephalitis. Brain Dev. 2015;37(4):423–431. doi: 10.1016/j.braindev.2014.07.006.
- Wong AM, Yeh CH, Lin JJ, et al. Arterial spin-labeling perfusion imaging of childhood encephalitis: correlation with seizure and clinical outcome. Neuroradiology. 2018;60(9):961–970. doi: 10.1007/s00234-018-2062-9.
- Sainz-de-la-Maza S, Casado JL, Pérez-Elías MJ, et al. Incidence and prognosis of immune reconstitution inflammatory syndrome in HIV-associated progressive multifocal leucoencephalopathy. Eur J Neurol. 2016;23(5):919–925. doi: 10.1111/ene.12963.
- Скрипченко Н.В., Савина М.В., Команцев В.Н., Иванова Г.П. Вирусные энцефалиты у детей: прогнозирование исходов // Детские инфекции. — 2009. — Т.8. — №2. — С. 3–5. [Skripchenko NV, Savina MV, Komancev VN, Ivanova GP. Viral encephalitis in children: рrognostication of outcomes. Detskie infekcii. 2009;8(2):3–5. (In Russ).]
- Скрипченко Е.Ю., Иванова Г.П., Скрипченко Н.В., и др. Клинико-лабораторная дифференциальная диагностика рассеянного склероза, диссеминированных энцефаломиелитов и энцефалитов у детей // Вестник Российской военно-медицинской академии. — 2018. —№3. — C. 158–159. [Skripchenko EJu, Ivanova GP, Skripchenko NV, et al. Kliniko-laboratornaja differencial’naja diagnostika rassejannogo skleroza, disseminirovannyh jencefalomielitov i jencefalitov u detej. Vestnik Rossijskoj voenno-medicinskoj akademii. 2018;(3):158–159. (In Russ).]
- Baten A, Desai M, Melo-Bicchi M, Gutierrez C. Continuous electroencephalogram as a biomarker of disease progression and severity in herpes simplex virus-1 encephalitis. Clin EEG Neurosci. 2019;50(5):361–365. doi: 10.1177/1550059419835705.
- Дамулин И.В., Екушева Е.В. Клиническое значение феномена нейропластичности при ишемическом инсульте // Анналы клинической и экспериментальной неврологии. — 2016. — Т.10. — №1. — С. 57–64. [Damulin IV, Ekusheva EV. A clinical value of neuroplasticity in ischemic stroke. Annaly klinicheskoj i jeksperimental’noj nevrologii. 2016;10(1):57–64. (In Russ).]
- Екушева Е.В., Дамулин И.В. К вопросу о межполушарной асимметрии в условиях нормы и патологии // Журнал неврологии и психиатрии им. C.C. Корсакова. — 2014. — Т.114. — №3. — С. 92–97. [Ekusheva EV, Damulin IV. The interhemispheric asymmetry in normalcy and pathology. Zhurnal nevrologii i psihiatrii im. C.C. Korsakova. 2014;114(3):92–97. (In Russ).]
Supplementary files







