A clinical case of hypertrophic cardiomyopathy and family hyperlipidemia
- Authors: Dankovtseva E.N.1,2, Zateyshchikov D.A.1,2,3
-
Affiliations:
- City Clinical Hospital № 51 of Moscow Healthcare Department
- Central State Medical Academy of Administration of the President of the Russian Federation
- Federal Scientific and Clinical Center of Specialized Types of Medical Care and Medical Technologies of the Federal Medical and Biological Agency of Russia
- Issue: Vol 10, No 3 (2019)
- Pages: 97-101
- Section: Case reports
- Submitted: 19.09.2019
- Accepted: 08.10.2019
- Published: 06.11.2019
- URL: https://clinpractice.ru/clinpractice/article/view/16143
- DOI: https://doi.org/10.17816/clinpract10397-101
- ID: 16143
Cite item
Abstract
Introduction of the next generation sequencing to the clinical practice made it possible to accurately diagnose a number of cardiac diseases, and to study accumulation of pathological variants of genes in families thus identifying individuals at risk of the disease much earlier. The authors present a patient with two genetically determined cardiological diseases — familial hyperlipidemia and hypertrophic cardiomyopathy.
Full Text
ВВЕДЕНИЕ
Введение в практику секвенирования нового поколения сделало возможным точную диагностику целого ряда кардиологических заболеваний, а также позволило изучать накопление патологических вариантов генов в семьях и, таким образом, намного раньше выявлять лиц, имеющих повышенный риск заболевания. Из генетически обусловленных заболеваний наиболее часто кардиологу приходится сталкиваться с кардиомиопатиями, семейной гиперлипидемией, каналопатиями и патологией аорты.
Представляем случай наблюдения больного, имеющего одновременно два генетически обусловленных кардиологических заболевания.
КЛИНИЧЕСКИЙ ПРИМЕР
О пациенте
Больной М., 43 года, в октябре 2015 г. обратился к кардиологу в связи с выраженным повышением уровня холестерина.
Из анамнеза заболевания: страдает артериальной гипертензией с 30 лет. В 2007 г. (в возрасте 35 лет) по данным электрокардиограммы (ЭКГ) был заподозрен перенесенный инфаркт миокарда, тогда же впервые выявлено повышение уровня холестерина, рекомендованные препараты не принимал. В январе 2013 г. был госпитализирован с панкреонекрозом; в связи с крайне высокими уровнями холестерина и триглицеридов проводился плазмаферез.
Обследование
Больному было проведено комплексное обследование.
Анализ крови от 13.10.2015: общий холестерин 20 ммоль/л, триглицериды 45 ммоль/л; от 20.10.2018: общий холестерин 15,7 ммоль/л, холестерин липопротеидов высокой плотности (ЛВП) 1,25 ммоль/л, холестерин липопротеидов низкой плотности (ЛНП) 6,0 ммоль/л, триглицериды 18,3 ммоль/л (оба анализа без липидснижающих препаратов).
По данным ЭКГ от 20.10.2015: ритм синусовый, правильный; частота сердечных сокращений 75/ мин. Нормальное положение электрической оси сердца. Отсутствие нарастания R V1–V3. Признаки гипертрофии миокарда левого желудочка (ЛЖ).
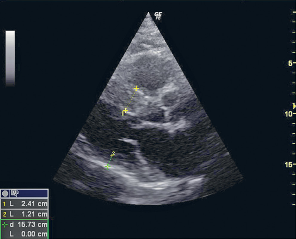
По данным эхокардиографии (ЭхоКГ) от 19.10.2015: межжелудочковая перегородка 1,8–1,9 см, задняя стенка левого желудочка 1,2 см (рис. 1 А, Б). Нарушений локальной сократимости не выявлено, фракция выброса ЛЖ 75%, значительное расширение левого предсердия. Внутрижелудочковый градиент в покое 15/6 мм рт.ст., во время выполнения пробы Вальсальвы 60/27 мм рт.ст., во время физической нагрузки (приседание) 108/54 мм рт.ст.
Рис. 1 А, Б. Эхокардиографическое исследование больного М.
Ультразвуковое исследование от 05.10.2015: умеренные диффузные изменения ткани печени по типу гепатоза; полиповидный холестероз желчного пузыря, диффузные изменения ткани поджелудочной железы с признаками липоматоза — картина не исключает наличия хронического панкреатита.
Учитывая явные признаки, указывающие на наличие у больного фенотипических проявлений гипертрофической кардиомиопатии и семейной гиперлипидемии, выполнены генетическое исследование, а также обследование родственников первой линии родства.
Мать больного (на момент обследования — 67 лет) длительно страдает ишемической болезнью сердца, стенокардией напряжения III функционального класса, артериальной гипертензией, сахарным диабетом. По данным коронарной ангиографии выявлено многососудистое поражение коронарных артерий (рис. 2 А, Б). В анализе крови от 23.11.2018 (без липидснижающих препаратов): общий холестерин 10,0 ммоль/л, холестерин ЛВП 1,74 ммоль/л, холестерин ЛНП 6,7 ммоль/л, триглицериды 3,46 ммоль/л. ЭхоКГ от 24.11.2015: межжелудочковая перегородка 1,3 см, задняя стенка левого желудочка 1,2 см, фракция выброса ЛЖ 55%, умеренное расширение полостей предсердий. Таким образом, у матери больного также имеются признаки семейной гиперлипидемии.
Рис. 2 А, Б. Данные коронароангиографии матери больного М.
У отца (на момент обследования — 67 лет) ишемическая болезнь сердца манифестировала в возрасте 50 лет с развития стенокардии высокого функционального класса, в это же время были выявлены гипертрофия межжелудочковой перегородки, субаортальный стеноз. С 52 лет отмечались эпизоды потери сознания. В 2008 г. (60 лет) перенес инфаркт миокарда передней стенки ЛЖ, тогда же выполнялась коронароангиография; предлагалось оперативное лечение, от которого пациент отказался. Также у больного постоянная форма мерцательной аритмии, подагра, сахарный диабет 2-го типа. Анализ крови от 18.11.2015: общий холестерин 5,4 ммоль/л, холестерин ЛВП 0,97 ммоль/л, холестерин ЛНП 2,5 ммоль/л, триглицериды 4,14 ммоль/л (без липидснижающих препаратов). ЭхоКГ от 25.11.2015: межжелудочковая перегородка 2,4 см, задняя стенка левого желудочка 1,2 см, умеренная обструкция выносящего тракта ЛЖ (рис. 3). Нарушения локальной сократимости ЛЖ (гипокинез среднего сегмента межжелудочковой перегородки, гипоакинез верхушечного сегмента межжелудочковой перегородки), фракция выброса ЛЖ 56%, значительное расширение полостей предсердий.
Рис. 3. Эхокардиографическое исследование отца больного М.
У родного брата больного (34 года) нет каких-либо жалоб со стороны сердечно-сосудистой системы, нормальные показатели по данным ЭхоКГ, однако имеются изменения в анализе крови: общий холестерин 7,44 ммоль/л, холестерин ЛВП 0,85 ммоль/л, холестерин ЛНП 3,01 ммоль/л, триглицериды 7,5 ммоль/л.
Таргетное экзомное секвенирование было выполнено в генетической лаборатории HealthCode (Испания). Для пробанда использовали панели генов, участвующих в развитии V типа дислипидемии (63 гена) и гипертрофической кардиомиопатии (16 генов). Были выявлены два патогенных варианта, один из которых (в гене MYBPC3; NP_000375.2:p.Arg3527Gln/NC_000002.11:g.21229160C>T) связан с гипертрофической кардиомиопатией, другой (в гене APOB; NP_000375.2:p.Arg3527Gln/NC_000002.11:g.21229160C>T) — с семейной гиперлипидемией. Также обнаружен патологический вариант гена LPL (NP_000228.1:p.Phe378Leu/NC_000008.10:g.19816884T>C), клиническая значимость которого неизвестна, предполагается связь с гипертриглицеридемией.
Диагноз
Таким образом, были установлены следующие диагнозы:
- Основное заболевание:
- гипертрофическая кардиомиопатия с внутрижелудочковой обструкцией, семейная форма (гетерозиготная мутация гена MYBPC3);
- семейная гетерозиготная гиперлипидемия (гетерозиготное носительство мутации гена APOB), гетерозиготная форма гипертриглицеридемии (мутация гена LPL).
- Сопутствующие заболевания:
- гипертоническая болезнь II стадии, 3-я степень артериальной гипертензии, риск высокий;
- гастроэзофагеальная рефлюксная болезнь 4-й степени: язва пищевода;
- хронический панкреатит, ремиссия.
У матери больного был выявлен такой же патогенный вариант гена APOB, ассоциирующийся с семейной гиперлипидемией — NP_000375.2:p.Arg3527Gln/NC_000002.11:g.21229160C>T.
Генетического обследования отца и брата пробанда не проводилось, однако диагноз гипертрофической кардиомиопатии у отца не представляет сомнений, так же как и наличие семейной гиперлипидемии у брата. Бабушка со стороны матери умерла в возрасте 51 года от инфаркта миокарда, дед со стороны матери — в 59 лет, так же от инфаркта миокарда, у брата матери инфаркт миокарда развился в возрасте 45 лет (рис. 4). Детальное обследование дочери больного не проводилось, по клиническим данным — здорова.
Рис. 4. Родословная больного М.
ОБСУЖДЕНИЕ
Семейная гиперлипидемия — часто встречающаяся моногенная дислипидемия, которая является причиной раннего развития ишемической болезни сердца. По последним данным, частота встречаемости семейной гиперлипидемии в популяции в среднем составляет 1:200–250 [1–4]. Выявление признаков семейной гиперлипидемии при обследовании пациента, не имеющего клинических признаков атеросклероза или его осложнений, автоматически относит его в группу высокого риска смерти от осложнений атеросклероза.
Клинически семейную гиперлипидемию можно заподозрить на основании семейного анамнеза по гиперлипидемии или раннего развития ишемической болезни сердца, случаев внезапной смерти у пробанда членов семьи или по клиническим признакам. Диагноз также может быть верифицирован путем выявления причинных мутаций, особенно важно это в случаях, когда у больного не набирается достаточного количества диагностических критериев семейной гиперлипидемии, а подозрение на ее наличие остается [1]. Наличие генетического дефекта у родственников больного дает основания для существенно более раннего начала агрессивного гиполипидемического лечения, даже в случае умеренного повышения уровня липидов.
Обнаруженная у нашего больного мутация в гене APOB является наиболее частым патологическим вариантом этого гена, связанным с развитием семейной гиперлипидемии.
Клиническая значимость обнаруженного варианта гена LPL не вполне ясна, так как до настоящего времени не было описано его ассоциации с заболеванием. Однако известно, что мутации в гене LPL ассоциируются с дефицитом липопротеинлипазы, который носит аутосомно-рецессивный характер и характеризуется тяжелой гипертриглицеридемией у гомозиготных носителей. Гетерозиготы имеют нормальные или умеренно повышенные уровни триглицеридов в плазме, и некоторые случаи были связаны с более высокими уровнями липопротеинов очень низкой плотности, хиломикронов (умеренное повышение) и фенотипом гиперлипидемии 5-го типа.
Гипертрофическая кардиомиопатия также представляет собой группу заболеваний, преимущественно генетического характера. Для нее характерно утолщение ≥15 мм одного или более сегментов левого желудочка, определенное визуальными методами (ЭхоКГ, магнитно-резонансная и/или компьютерная томография), которое не может быть объяснено только нарушением пред- или постнагрузки. Главная цель тестирования при этом заболевании — выявление причинной мутации для последующего обследования родственников. Генетическое тестирование показано в случае, если обнаружение мутации означает постановку правильного диагноза и последующую коррекцию ведения больного [5]. Это особенно важно для лиц, профессионально занимающихся спортом, при выраженной гипертрофии в сочетании с артериальной гипертонией и т.п.
Обнаруженная мутация в гене MYBPC3 встречается очень редко (<0,5% людей из контрольной группы). Пенетрация генетического варианта может быть неполной, а клинические проявления — не тяжелыми, если только не присутствуют другие генетические или внешние факторы.
Динамическое клиническое наблюдение за братом, включающее ЭКГ и ЭхоКГ (периодичность 1 раз в 2–5 лет), важно, так как факт носительства патогенной мутации, отвечающей за наличие гипертрофической кардиомиопатии, не установлен. Также целесообразно наблюдение за дочерью больного c выполнением ЭКГ и ЭхоКГ 1 раз в 1–2 года [6].
ЗАКЛЮЧЕНИЕ
Таким образом, нами представлен клинический случай больного, у которого сочетаются как минимум два генетически обусловленных заболевания — семейная гиперлипидемия и гипертрофическая кардиомиопатия. Кроме того, есть основания говорить и о семейной форме гипертриглицеридемии. Данный случай подчеркивает тот факт, что генетически обусловленные заболевания встречаются существенно чаще, чем мы представляем, и в значительном проценте случаев диагноз можно поставить по клиническим данным. Генетическое типирование служит для подтверждения наличия болезни и последующего поиска ее у клинически здоровых родственников.
ИСТОЧНИК ФИНАНСИРОВАНИЯ
Исследование проведено без спонсорской поддержки.
КОНФЛИКТ ИНТЕРЕСОВ
Авторы подтвердили отсутствие конфликта интересов, о котором необходимо сообщить.
УЧАСТИЕ АВТОРОВ
Все авторы внесли равный вклад в разработку дизайна и подготовку рукописи статьи.
About the authors
Elena N. Dankovtseva
City Clinical Hospital № 51 of Moscow Healthcare Department; Central State Medical Academy of Administration of the President of the Russian Federation
Author for correspondence.
Email: e-n-d@bk.ru
ORCID iD: 0000-0002-0831-1490
SPIN-code: 9129-8098
Ph.D. (medicine), Head of Heart Failure Department, Associate Professor of the Department of internal medicine, cardiology, functional diagnostics, and course of nephrology
Russian Federation, MoscowDmitry A. Zateyshchikov
City Clinical Hospital № 51 of Moscow Healthcare Department; Central State Medical Academy of Administration of the President of the Russian Federation; Federal Scientific and Clinical Center of Specialized Types of Medical Care and Medical Technologies of the Federal Medical and Biological Agency of Russia
Email: dz@bk.ru
ORCID iD: 0000-0001-7065-2045
SPIN-code: 1694-3031
Scopus Author ID: 6506179693
ResearcherId: D-6575-2012
Doctor of medicine, Head of Primary Vascular Department, Head of the Department of internal medicine, cardiology, functional diagnostics, and course of nephrology; leading researcher of the genetic laboratory
Russian Federation, MoscowReferences
- Catapano AL, Graham I, De Backer G, et al. 2016 ESC/EAS Guidelines for the management of dyslipidaemias. Rev Esp Cardiol (Engl Ed). 2017;70(2):115. doi: 10.1016/j.rec.2017.01.002.
- Nordestgaard BG, Chapman MJ, Humphries SE, et al. Familial hypercholesterolaemia is underdiagnosed and undertreated in the general population: guidance for clinicians to prevent coronary heart disease: consensus statement of the european atherosclerosis society. Eur Heart J. 2013;34(45):3478–3490a. doi: 10.1093/eurheartj/eht273.
- Benn M, Watts GF, Tybjaerg-Hansen A, Nordestgaard BG. Familial hypercholesterolemia in the danish general population: prevalence, coronary artery disease, and cholesterol-lowering medication. J Clin Endocrinol Metab. 2012;97(11):3956–3964. doi: 10.1210/jc.2012-1563.
- de Ferranti SD, Rodday AM, Mendelson MM, et al. Prevalence of familial hypercholesterolemia in the 1999 to 2012 united states national health and nutrition examination surveys (NHANES). Circulation. 2016;133(11):1067–1072. doi: 10.1161/CIRCULATIONAHA.115.018791.
- Ackerman MJ, Priori SG, Willems S, et al. HRS/EHRA expert consensus statement on the state of genetic testing for the channelopathies and cardiomyopathies this document was developed as a partnership between the heart rhythm society (HRS) and the european heart rhythm association (EHRA). Heart Rhythm. 2011;8(8):1308–1339. doi: 10.1016/j.hrthm.2011.05.020.
- Charron P, Arad M, Arbustini E, et al. Genetic counselling and testing in cardiomyopathies: a position statement of the european society of cardiology working group on myocardial and pericardial diseases. Eur Heart J. 2010;31(22):2715–1726. doi: 10.1093/eurheartj/ehq271.
Supplementary files







