Single-stage removal of a neurinoma of the trigeminal nerve, localized in the posterior, middle cranial and infratemporal fossae. Clinical observation and review of literature
- Authors: Vinokurov A.G.1, Kalinkin A.A.1, Bocharov A.А.1, Kalinkina O.N.2, Chupalenkov S.M.3
-
Affiliations:
- Federal Scientific and Clinical Center of Specialized Types of Medical Care and Medical Technologies of the Federal Medical and Biological Agency of Russia
- Moscow State University of Medicine and Dentistry a.n. A.I. Evdokimov
- Pirogov Russian National Research Medical University
- Issue: Vol 11, No 3 (2020)
- Pages: 85-94
- Section: Case reports
- Submitted: 09.04.2020
- Accepted: 18.06.2020
- Published: 23.10.2020
- URL: https://clinpractice.ru/clinpractice/article/view/26340
- DOI: https://doi.org/10.17816/clinpract26340
- ID: 26340
Cite item
Full Text
Abstract
Background. In the course of the analysis of available foreign and domestic literature, 65 observations of trigeminal tumors with extracranial growth were found, the total removal of which was performed only in 20% of patients.
The aim of the study is to show the potential of skull base tumor surgery using an example of a successful surgical treatment of a patient with a spread trigeminal neurinoma located in the posterior, middle and infratemporal fossae, as well as to analyze the international scientific experience on this issue.
Clinical case description. A 60-year-old patient with a spread trigeminal neurinoma on the left was admitted to the Federal Scientific-Clinical Center of FMBA of Russia in February 2020. After an additional examination and preoperative preparation, a planned operation was performed — osteoplastic orbitozygomatic craniotomy, a microsurgical removal of the tumor through the subtemporal transcavernous approach. A good postoperative clinical result was obtained. An analysis of the available scientific literature on this problem has been performed. In the postoperative period, pain and neurological symptoms, hemifacial spasm completely regressed. 1.5 months after the operation, the tumor was shown to be totally removed by the control images.
Conclusion. Despite the extreme complexity of the pathology, the operation via the orbitozygomatic subtemporal transcavernous approach allows one to completely remove common and giant trigeminal neurinomas with a good functional result.
Full Text
ОБОСНОВАНИЕ
Частота неврином тройничного нерва достигает 0,3% среди всех интракраниальных опухолей и до 8% среди неврином головного мозга [1]. Впервые невриному тройничного нерва описал R. Smith в 1836 г., затем последовали сообщения J. Dixon и Н. Gunsdurg (1846–1849 гг.) [2, 3]. Выбор метода лечения зависит от размеров и локализации опухоли. Проведение успешного радиохирургического лечения возможно только при невриноме небольших размеров (до 2,5 см) [4]. Наиболее сложным является удаление распространенной опухоли с экстракраниальным ростом типа МРЕ по классификации K. Yoshida и T. у 20% больных [6, 7]. В связи с этим многие авторы предлагают частичное удаление образования с последующим облучением. Однако при субтотальной резекции у 17% больных в период от 13 мес до 8 лет отмечен продолженный рост с усугублением неврологического дефицита [6]. После радиохирургического лечения у 12% пациентов происходит нарастание очаговой симптоматики, у 10% определяется продолженный рост, а у 58% уменьшения размера опухоли не наблюдается [8–11]. Выжидательная тактика также не является эффективной. У 11% больных с невриномами размером 3,4 ± 1,1 см в ближайшие 7 лет отмечается рост опухоли с развитием клинической симптоматики, неврологического дефицита, что требует хирургического удаления новообразования [12].
Таким образом, до настоящего времени не определена единая эффективная тактика лечения пациентов с распространенными невриномами тройничного нерва [2, 13, 14], что определяет актуальность такого исследования, в том числе с учетом имеющихся данных мировой литературы о методах лечения.
Цель — представить редкий клинический случай успешного хирургического лечения пациента с невриномой тройничного нерва, локализованной в задней, средней и подвисочной ямках.
КЛИНИЧЕСКОЕ НАБЛЮДЕНИЕ
О пациенте
Пациент М., 60 лет, госпитализирован в феврале 2020 г. в нейрохирургическое отделение ФНКЦ ФМБА России с жалобами на головные боли, постоянные и пароксизмальные боли с левой стороны лица в месте выхода 1,2 и 3-й ветвей (7 баллов по визуально-аналоговой шкале боли, ВАШ), периодические подергивания мышц лица слева по типу гемифациального спазма, затруднение при жевании, снижение слуха слева и шаткость при ходьбе. Жалобы предъявляет в течение более 2 лет.
При осмотре: сознание ясное — 15 баллов по шкале комы Глазго (ШКГ); зрачки D = S, горизонтальный, мелкоразмашистый нистагм в крайних отведениях, корнеальные рефлексы (рефлекс один, с каждой стороны) слева отсутствуют. Определяется боль при пальпации точек выхода 1, 2 и 3-й ветвей тройничного нерва слева. Гипестезия в области иннервации всех ветвей тройничного нерва. Лицо асимметричное за счет периодического спазма мышц, иннервируемых левым лицевым нервом. Сухожильные, периостальные рефлексы с конечностей D > S, патологический симптом Бабинского справа. Координаторные пробы выполняет с интенцией слева. В позе Ромберга неустойчив.
Инструментальные исследования
По результатам магнитно-резонансной (МРТ) и компьютерной (КТ) томографии головного мозга с контрастным усилением выявлена невринома левого тройничного нерва по типу «песочных часов». Опухоль локализована от уровня выхода корешка нерва из моста, далее распространяется на основание средней черепной ямки, в подвисочную и левую крылонебную ямки. Общий размер опухоли 5,6 × 4,5 × 2,4 см (рис. 1).
Рис. 1. Пациент М. с невриномой тройничного нерва, 60 лет: магнитно-резонансная томография головного мозга с контрастным усилением
Примечание. На Т2-изображениях определяется невринома тройничного нерва с компрессией ствола головного мозга (А), распространяющаяся в меккелеву полость с компрессией и инвазией кавернозного синуса (В), в подвисочную и крылонебную ямки (Б), вызывающая хронический мастоидит и петрозит (Г).
Невринома вызывает компрессию ножек мозга, моста, корешков VII и VIII нервов, а также деструкцию височной кости с развитием петрозита и мастоидита (рис. 2).
Рис. 2. Пациент М. с невриномой тройничного нерва, 60 лет: компьютерная томография головного мозга с контрастным усилением
Примечание. На КТ-изображениях в костном режиме определяются деструкция пирамиды височной кости в проекции меккелевой полости, рваного отверстия (А), а также деструкция основания средней черепной ямки с расширением овального и круглого отверстия (Б).
Учитывая наличие жалоб, компрессию ствола головного мозга, а также локализацию и размеры невриномы, пациенту выполнена операция — костно-пластическая орбитозигоматическая трепанация черепа, микрохирургическое удаление опухоли через субтемпоральный транскавернозный доступ.
Оперативное пособие
Ход операции
Положение больного на спине, голова повернута вправо на 70°. Дугообразный разрез кожи в левой лобно-теменно-височной области. Кожно-надкостничный и мышечный лоскуты выкроены раздельно с сохранением лобной ветви лицевого нерва и отвернуты к основанию черепа. Скелетированы верхний и латеральный края орбиты, скуловая дуга. Электротрепаном выпилен орбитозигоматический костный лоскут. Височная мышца смещена в подвисочную ямку (рис. 3).
Рис. 3. Пациент М. с невриномой тройничного нерва, 60 лет: ход операции
Примечание. Интраоперационные снимки: А — линия кожного разреза в левой лобно-височной области; Б — вид операционной раны после выпиливания орбитозигоматического костного лоскута (указана орбита); В — схематичное изображение орбитозигоматического костного лоскута.
Наложены 2 фрезевых отверстия, из которых выпилен лобно-теменно-височный костный лоскут размером 7 × 8 см. Дополнительно кусачками и бором резецировано основание средней черепной ямки до открытия расширенного опухолью овального отверстия. Выявлена капсула опухоли в подвисочной ямке. Капсула вскрыта, и начато удаление опухоли изнутри: опухоль желтоватого цвета, мягко-эластичной консистенции, по виду типичная невринома. После уменьшения объема узел опухоли из подвисочной ямки удален полностью, затем начат второй интракраниальный этап удаления невриномы.
Твердая мозговая оболочка вскрыта дугообразно основанием к крылу основной кости. Вскрыта хиазмальная цистерна. После аспирации ликвора достигнута релаксация мозга. Установлены мозговые ретракторы. Височная доля смещена шпателями вверх с обнажением латеральной стенки кавернозного синуса и вырезки намета. Рассечены край намета над меккелевой полостью и выбухающая стенка кавернозного синуса в проекции тройничного узла. Выявлена капсула невриномы. Капсула вскрыта. Начато удаление опухоли с помощью коагуляции, аспирации, окончатого пинцета и микроножниц (рис. 4).
Рис. 4. Пациент М. с невриномой тройничного нерва, 60 лет: интракраниальный этап удаления невриномы
Примечание. Интраоперационные снимки: А — вскрыта капсула опухоли в области расширенного овального отверстия (горизонтальная стрелка); узел опухоли в подвисочной ямке показан вертикальной стрелкой; Б — субдуральный этап: установлены шпатели на височную долю, вскрыта твердая мозговая оболочка над гассеровым узлом (стрелка).
После уменьшения объема опухоли изнутри стало возможным отграничить ее по периметру ватниками и удалить пофрагментарно полностью от моста мозга до овального отверстия. Из стромы опухоли выделены и сохранены ветви верхней мозжечковой артерии. Визуализированы структуры основания средней и задней черепных ямок: левый зрительный нерв, левая внутренняя сонная артерия и ее ветви, глазодвигательный нерв, базилярная артерия, задняя мозговая и верхняя мозжечковая артерии (рис. 5).
Рис. 5. Пациент М. с невриномой тройничного нерва, 60 лет: этапы удаления опухоли
Примечание. Интраоперационные снимки: А — удалена опухоль из латеральной стенки кавернозного синуса (горизонтальная стрелка), капсула опухоли в задней черепной ямке указана вертикальной стрелкой; Б — этап удаления опухоли (стрелка) из задней черепной ямки; В — этап удаления опухоли из задней черепной ямки, стрелкой указан нижний край меккелевой полости; Г — после удаления опухоли визуализированы мост (горизонтальная стрелка) и верхняя мозжечковая артерия (вертикальная стрелка).
Гемостаз. Вскрытый наружный поверхностный листок кавернозного синуса ушит. Твердая мозговая оболочка ушита наглухо с пластикой дефекта свободным лоскутом надкостницы. Полость после удаления подвисочного узла и овальное отверстие тампонированы Тахокомбом и клеем BioGlue. Лобно-теменно-височный костный лоскут установлен на место и фиксирован краниофиксами. Орбитозигоматический лоскут установлен на место и фиксирован шелковыми швами. Выполнено послойное ушивание операционной раны. Кровопотеря 300 мл. Длительность операции составила 4 ч 20 мин.
По окончании оперативного вмешательства — пробуждение пациента от наркоза в условиях операционной. Больной в ясном сознании, на самостоятельном дыхании и без отрицательной динамики очагового неврологического дефицита по сравнению с дооперационным уровнем; переведен в отделение реанимации, где 18 ч находился под динамическим наблюдением.
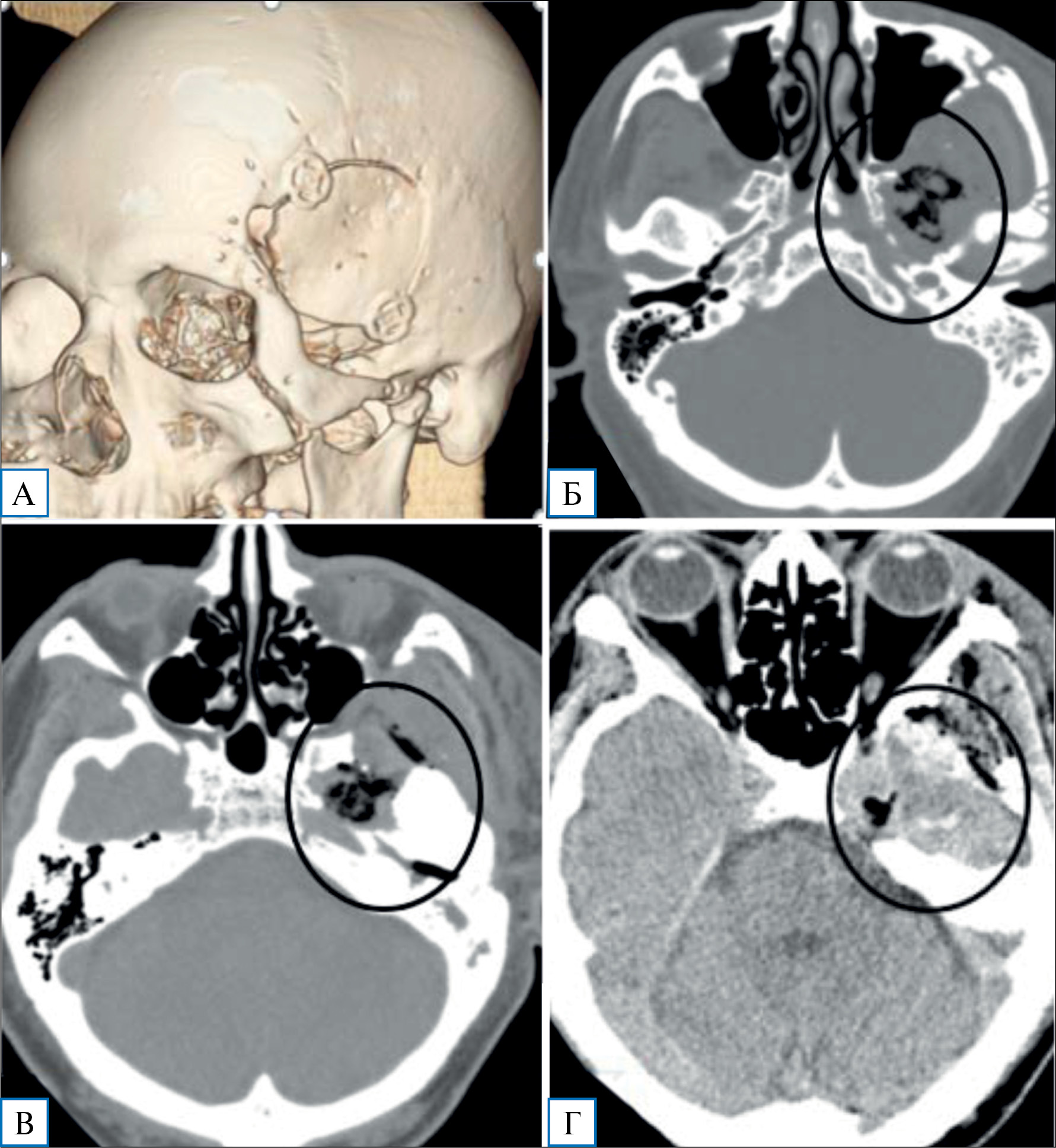
В первые сутки после операции выполнена КТ головного мозга: опухоль удалена тотально, минимальные послеоперационные ишемические изменения в левой височной доле (рис. 6).
Рис. 6. Пациент М. с невриномой тройничного нерва, 60 лет: компьютерная томография головного мозга с контрастным усилением после операции
Примечание. А — 3D-изображение: определяется лобно-теменно-височный костный лоскут, фиксированный краниофиксами; Б, В — послеоперационные изменения в области основания средней черепной ямки (обозначены овалом); Г — послеоперационные изменения в проекции меккелевой полости (обозначены овалом).
На 10-е сут после операции пациент выписан из стационара в удовлетворительном состоянии, ясном сознании, без дополнительного неврологического дефицита. По сравнению с дооперационным статусом отмечалась анестезия в области иннервации всех ветвей тройничного нерва, улучшился слух слева, регрессировали явления гемифациального спазма слева. При гистологическом исследовании удаленной опухоли выявлена шваннома тройничного нерва, степень злокачественности по классификации Grade — I.
При контрольном осмотре через 1,5 мес после операции состояние пациента удовлетворительное. Жалоб нет. Отмечено восстановление слуха слева. При МРТ головного мозга с контрастным усилением — опухоль удалена тотально, данных за рецидив, наличие гематом не получено; определяется регресс воспалительных изменений в пирамиде левой височной кости (рис. 7).
Рис. 7. Пациент М. после удаления невриномы тройничного нерва, 60 лет
Примечание. А, Б — на снимках МРТ в режиме Т1 минимальные послеоперационные изменения; В, Г — внешний вид пациента через 1,5 мес после операции.
ОБСУЖДЕНИЕ
Локализация невриномы тройничного нерва возможна в любом из пяти сегментов — стволовом, цистернальном, узловом (в меккелевой полости), в сегменте основания средней черепной ямки и экстракраниальных сегментах [5].
Клинические проявления невриномы тройничного нерва зависят от локализации и размера опухоли. Наиболее частыми симптомами заболевания является головная (у 74% больных) и лицевая (у 35%) боль. У 87% больных определяется нарушение чувствительности в зонах иннервации ветвей тройничного нерва с болевой гипестезией лица и выпадением корнеальных рефлексов, слабостью жевательной мускулатуры. При локализации образования в задней черепной ямке и/или в меккелевой полости с компрессией кавернозного синуса, возникает дисфункция черепных нервов. По данным ряда авторов [1, 5, 15, 16], диплопия выявляется у 52% больных, парез отводящего нерва — у 16–80%, парез блокового нерва — у 16%, дисфункция подъязычного и блуждающего нервов — у 8%, мозжечковая атаксия — у 24%. У 17% пациентов при обследовании определяется снижение слуха на стороне опухоли, которое связано с хроническим петрозитом и мастоидитом вследствие компрессии барабанной полости [6, 16, 17].
В нашем клиническом наблюдении у пациента длительное время отмечалась постоянная боль в левой половине лица, а по мере роста опухоли развились гипестезия, гемифациальный спазм, стволово-мозжечковые нарушения. Вследствие сдавления барабанной полости сформировался хронический отит со снижением слуха. В послеоперационном периоде вследствие восстановления проходимости барабанной полости среднего уха явления петрозита и мастоидита регрессировали, слух восстановился.
По нашему мнению, наиболее оптимальной хирургической классификацией неврином тройничного нерва является классификация K. Yoshida и T. Kawase (1999). Авторы усовершенствовали ранее существующую классификацию, предложенную G. Jefferson в 1953 г. В зависимости от размера и локализации опухоли исследователи предложили оптимальный хирургический доступ для лечения неврином [5] (табл. 1).
Таблица 1
Классификация неврином тройничного нерва K. Yoshida и T. Kawase (1999)
Тип опухоли | Локализация невриномы | Хирургический доступ |
Р | Опухоль локализуется в задней черепной ямке | Ретросигмовидный |
М | Опухоль локализуется в средней черепной ямке, меккелевой полости, прилежащей к кавернозному синусу | Птериональный, субфронтальный |
Е | Экстракраниальная локализация по ходу всех трех корешков тройничного нерва | Орбитозигоматический |
МР | Опухоль в форме гантели с локализацией в средней и задней черепной ямке | Передний транспетрозальный |
МЕ | Опухоль в форме гантели с локализацией в средней черепной ямке и экстракраниально | Орбитозигоматический субтемпоральный |
МРЕ | Опухоль в форме гантели с локализацией в средней, задней черепной ямке и экстракраниально | Орбитозигоматический субтемпоральный, транспетрозальный |
Выбор метода лечения зависит от локализации, размеров и клинических проявлений невриномы тройничного нерва. По мнению B. Milligan и соавт. [4], радиохирургическое лечение возможно при опухоли до 2,5 см. Однако в случае наличия невралгии тройничного нерва облучение не сопровождается купированием болевого синдрома и требует повторного хирургического вмешательства [6].
Наиболее сложным является одномоментное удаление опухоли многоуровневой локализации, которое возможно только в 20% наблюдений [6, 7]. В связи с этим некоторыми хирургами предлагается частичная резекция невриномы с последующим облучением остаточной части [18]. По мнению исследователей, имеющих наибольший опыт удаления неврином тройничного нерва [17, 19], риск продолженного роста после субтотальной резекции в первые два года достигает 14% [17, 19].
Основным ограничением тотального удаления невриномы тройничного нерва, по мнению L. Zhang и соавт. [20], является локализация невриномы в проекции кавернозного синуса. Однако, согласно исследованиям других авторов, невриномы тройничного нерва не прорастают в кавернозный синус и хорошо удаляются [18, 19]. В нашем случае мы не выявили проблем удаления невриномы, несмотря на поражение наружной стенки кавернозного синуса.
После радиохирургического лечения у 12% пациентов происходит нарастание неврологической симптоматики, у 10% больных определяется продолженный рост опухоли, а у 58% не происходит уменьшения ее размеров, что требует открытого удаления [8–11].
А. Goel с соавт. [19] на основании анализа хирургического удаления неврином, расположенных в задней и средней черепной ямках (по типу «песочных часов»), пришли к выводу, что оптимальной стратегией лечения является двухэтапное удаление опухоли. На первом этапе авторы выполняли птериональную или орбитозигоматическую краниотомию с целью удаления узлов опухоли на основании средней черепной ямки и экстракраниально, а на втором — удаляли образование из задней черепной ямки ретросигмоидным доступом.
В проведенном многоцентровом исследовании [22] применение эндоскопического трансназального и трансорбитального доступа возможно при удалении неврином небольших размеров с экстрадуральной локализацией в средней черепной и подвисочной ямках. Проведение эндоскопической резекции опухоли в задней черепной ямке невозможно в связи с малым размером хирургического поля, а также из-за сложности взаимоотношений опухоли со стволовыми структурами [21, 22]. Также существует высокий риск рецидива при эндоскопическом удалении, который связан с невозможностью удаления образования интрадуральной локализации [23].
Таким образом, основным методом лечения пациентов с невриномой тройничного нерва, расположенной в задней, средней черепных ямках с экстракраниальным распространением и сдавлением ствола головного мозга, является хирургическая резекция. С учетом сложности операционного доступа с целью радикального удаления опухоли у отдельных пациентов в послеоперационном периоде наблюдается нарастание неврологической симптоматики. Риск осложнений достигает 12%, а летальность — 3%. Из осложнений выделяют нарастание пареза всех черепно-мозговых нервов, развитие анестезии в зоне иннервации тройничного нерва (до операции выявляется гипестезия) и слабость жевательной мускулатуры [17, 19]. По мнению S. Jeong и соавт. [24], наблюдавших 49 прооперированных больных, частота развития менингита достигала 10%, регресс чувствительных нарушений отмечен в 25% случаев при локализации опухоли в средней черепной ямке и только в 7% — при локализации в задней. Слабость постоперационной жевательной мускулатуры выявлена в 30% наблюдений; у 73% пациентов сохранялась гипестезия, у 12–17% гипестезия сменилась анестезией; у 47% больных отмечена гипестезия, которой не наблюдалось в дооперационном периоде. Только у 16% больных в послеоперационном периоде произошло восстановление чувствительности, у 8% сохранялась лицевая боль, а у 27% развились парезы черепно-мозговых нервов [1, 5, 6, 17, 20].
ЗАКЛЮЧЕНИЕ
Таким образом, учитывая многоуровневую локализацию с вовлечением жизненно важных анатомических структур, хирургическое лечение неврином тройничного нерва остается крайне сложной задачей, сопряженной с высокими рисками осложнений. Проведенное нами одномоментное хирургическое лечение с использованием орбитозигоматического субтемпорального транскавернозного доступа позволило тотально удалить опухоль с хорошим функциональным исходом заболевания.
About the authors
Aleksey G. Vinokurov
Federal Scientific and Clinical Center of Specialized Types of Medical Care and Medical Technologies of the Federal Medical and Biological Agency of Russia
Email: avinok@yandex.ru
MD, PhD
Russian Federation, MoscowAleksandr A. Kalinkin
Federal Scientific and Clinical Center of Specialized Types of Medical Care and Medical Technologies of the Federal Medical and Biological Agency of Russia
Author for correspondence.
Email: aleksandr_kalinkin27@mail.ru
ORCID iD: 0000-0002-1605-9088
SPIN-code: 9919-5834
MD, PhD
Russian Federation, MoscowAndrey А. Bocharov
Federal Scientific and Clinical Center of Specialized Types of Medical Care and Medical Technologies of the Federal Medical and Biological Agency of Russia
Email: aleksandr_kalinkin27@mail.ru
ORCID iD: 0000-0001-8970-3762
MD, PhD
Russian Federation, MoscowOlga N. Kalinkina
Moscow State University of Medicine and Dentistry a.n. A.I. Evdokimov
Email: aleksandr_kalinkin27@mail.ru
ORCID iD: 0000-0001-5538-904X
MD
Russian Federation, MoscowSergey M. Chupalenkov
Pirogov Russian National Research Medical University
Email: aleksandr_kalinkin27@mail.ru
ORCID iD: 0000-0001-5994-3124
Russian Federation, Moscow
References
- Konovalov AN, Spallone A, Mukhamedjanov DJ, Tcherekajev VA. Trigeminal neurinomas. A series of 111 surgical cases from a single institution. Acta Neurochir (Wien). 1996;138(9):1027-1035. doi: 10.1007/BF01412304.
- Ненашев Е.А., Кадашев А.Б. Опухоли ветвей тройничного нерва с экстракраниальным распространением // Вопросы нейрохирургии им. Н.Н. Бурденко. — 2013. — Т.77. — №6. — С. 65–71. [Nenashev EA, Kadashev AB. Tumors of the branches of the trigeminal nerve with extracranial spread. Journal of Neurosurgical Problems (named in honour of N.N. Burdenko). 2013;77(6):65–71. (In Russ).]
- Коновалов А.Н., Калинин П.Л., Шиманский В.Н., и др. Опыт хирургического лечения неврином тройничного нерва с одновременным распространением в среднюю и заднюю черепные ямки // Вопросы нейрохирургии им. Н.Н. Бурденко. — 2014. — Т.78. — №5. — С. 23–32. [Konovalov AN, Kalinin PL, Shimansky VN, et al. Experience of surgical management of trigeminal schwannomas that simultaneously spread to the middle and posterior cranial fossae. Journal of Neurosurgical Problems (named in honour of N.N. Burdenko). 2014;78(5):23–32. (In Russ).]
- Milligan BD, Pollock BE, Foot RL. Link MJ. Long-term tumor control and the results of cranial nerves after surgery on a γ-knife for large vestibular schwannomas. J Neurosurg. 2012;116(3):598–604. doi: 10.3171/2011.11.JNS11811.
- Yoshida K, Kawase T. Trigeminal neurinomas extending into multiple fossae: surgical methods and review of the literature. J Neurosurg. 1999;91(2):202–211. doi: 10.3171/jns.1999.91.2.0202.
- Wanibuchi M, Fukushima T, Zomordi AR, et al. Trigeminal schwannomas: skull base approaches and operative results in 105 patients. Neurosurgery. 2012;70(1):132–143. doi: 10.1227/NEU.0b013e31822efb21.
- Neves MW, De Aguiar PH, Belsuzarri TA, et al. Microsurgical management of trigeminal schwannoma: cohort analysis and systematic review. J Neurol Surg B Skull Base. 2019;80(3):264–269. doi: 10.1055/s-0038-1669418.
- Pan L, Wang EM, Zhang N, et al. Long-term results of Leksell gamma knife surgery for trigeminal schwannomas. J Neurosurg. 2005;102 Suppl:220–224. doi: 10.3171/jns.2005.102.s_supplement.0220.
- Hasegawa T, Kida Y, Yoshimoto M, Koike J. Trigeminal schwannomas: results of gamma knife surgery in 37 cases. J Neurosurg. 2007;106(1):18–23. doi: 10.3171/jns.2007.106.1.18.
- Sheehan J, Yen CP, Arkha Y, et al. Gamma knife surgery for trigeminal schwannoma. J Neurosurg. 2007;106(5):839–845. doi: 10.3171/jns.2007.106.5.839.
- Kano H, Niranjan A, Kondziolka D, et al. Stereotactic radiosurgery for trigeminal schwannoma: tumor control and functional preservation clinical article. J Neurosurg. 2009;110(3):553–558. doi: 10.3171/2008.7.jns0812.
- Makarenko S, Vincent E, Akagami R. Natural History, Multimodal Management, and Quality of Life Outcomes of Trigeminal Schwannomas. J Neurol Surg B Skull Base. 2018;79(6):586–592. doi: 10.1055/s-0038-1651503.
- Sharma BS, Ahmad FU, Chandra PS, Mahapatra AK. Trigeminal schwannomas: experience with 68 cases. J Clin Neurosci. 2008;15(7):738–743. doi: 10.1016/j.jocn.2006.09.007.
- Kouyialis A, Stranjalis G, Papadogiorgakis N, et al. Giant dumbbell-shaped middle cranial fossa trigeminal schwannoma with extension to the infratemporal and posterior fossae. Acta Neurochir (Wien). 2007;149(9):959–963; discussion 964. doi: 10.1007/s00701-007-1173-6.
- Borges A, Casselman J. Imaging the trigeminal nerve. Eur J Radiol. 2010;74(2):323–340. doi: 10.1016/j.ejrad.2010.02.006.
- McCormick PC, Jacqueline AB, Post KD. Trigeminal schwannoma. Surgical series of 14 cases with review of the literature. J Neurosurg. 1988;69(6):850–860. doi: 10.3171/jns.1988.69.6.0850.
- Al-Mefty O, Ayoubi S, Gaber E. Trigeminal schwannomas: removal of dumbbellshaped tumors through the expanded Meckel cave and outcomes of cranial nerve function. J Neurosurg. 2002;96(3):453–463. doi: 10.3171/jns.2002.96.3.0453.
- Niranjan A, Barnett S, Anand V, Agazzi S. Multimodality management of trigeminal schwannomas. J Neurol Surg B Skull Base. 2016;77(4):371–378. doi: 10.1055/s-0036-1581138.
- Goel A, Shah A, Muzumdar D, et al. Trigeminal neurinomas with extracranial extension: analysis of 28 surgically treated cases. J Neurosurg. 2010;113(5):1079-1084. doi: 10.3171/2009.10.JNS091149.
- Zhang L, Yang Y, Xu S, et al. Trigeminal schwannomas: a report of 42 cases and review of the relevant surgical approaches. Clin Neurol Neurosurg. 2009;111(3):261–269. doi: 10.1016/j.clineuro.2008.10.014.
- Jeon C, Hong CK, Woo KI, et al. Endoscopic transorbital surgery for Meckel’s cave and middle cranial fossa tumors: surgical technique and early results. J Neurosurg. 2018;1–10. doi: 10.3171/2018.6.JNS181099.
- Park HH, Hong SD, Kim YH, et al. Endoscopic transorbital and endonasal approach for trigeminal schwannomas: a retrospective multicenter analysis (KOSEN-005). J Neurosurg. 2019;1–10. doi: 10.3171/2019.3.JNS19492.
- Wang X, Bao Y, Chen G, et al. Trigeminal schwannomas in middle fossa could breach into subdural space: report of 4 cases and review of literature. World Neurosurg. 2019;127:e534–e541. doi: 10.1016/j.wneu.2019.03.194.
- Jeong SK, Lee EJ, Hue YH, et al. A suggestion of modified classification of trigeminal schwannomas according to location, shape, and extension. Brain Tumor Res Treat. 2014;2(2):62–68. doi: 10.14791/btrt.2014.2.2.62.
Supplementary files

















