A case of aggressive angiomyxoma. Differential diagnosis of abandoned nonorgan organ tumors (literature review with their own clinical observations)
- Authors: Egorova E.A.1, Shaposhnikova E.A.1, Lezhnev D.A.1, Kleymenova E.P.2, Bazhin A.V.3, Semenova M.V.1, Truten V.P.1
-
Affiliations:
- Moscow State University of Medicine and Dentistry named after A.I. Evdokimov
- Municipal Clinical Hospital named after S.S. Yudin, Department of Healthcare of Moscow
- Research and Practical Clinical Center for Diagnostics and Telemedicine Technologies of Moscow Healthcare Department
- Issue: Vol 11, No 3 (2020)
- Pages: 95-101
- Section: Case reports
- Submitted: 14.04.2020
- Accepted: 30.06.2020
- Published: 23.10.2020
- URL: https://clinpractice.ru/clinpractice/article/view/33429
- DOI: https://doi.org/10.17816/clinpract33429
- ID: 33429
Cite item
Full Text
Abstract
Background. Aggressive angiomyxoma is a rare pelvic-perineal tumor that affects mainly women aged 30–50 years. It can simulate a bartholine cyst, abscess, lipoma, simple labial cyst or other soft tissue tumors of the pelvis. The main features of angiomyxoma are asymptomatic course and absence of metastasis with a tendency to deep invasion and relapses after a surgical treatment.
Clinical Case Description. The article describes a clinical case of aggressive angiomyxoma in a 33-year-old patient who was admitted to the emergency hospital with a suspected right sciatic hernia. According to the results of clinical and radiological examination, the formation of a presacral space was detected spreading to the m. levator ani on the right and into the tissue of the right ischiorectal fossa, infiltrating them. The specific features could not be identified at the initial stage of the diagnosis using the formal signs distinctive for the specific type of neoplasms. The diagnosis was made as a result of the morphological analysis of the surgical resection material of the tumor. The relapse was not detected in the following 6 months. Assuming the high risk of angiomixoma progression, the dynamic monitoring was continued.
Conclusion. This study and the literature data have demonstrated the typical difficulties of the differential diagnosis and prognosis of the disease, the need for a comprehensive approach using multiparametric magnetic resonance imaging, both at the initial stages of examination and when monitoring the effectiveness of treatment.
Full Text
ОБОСНОВАНИЕ
Неорганные забрюшинные опухоли представляют собой редкие образования, на долю которых в структуре онкологических заболеваний приходится 0,02–0,6%. Они имеют тенденцию к озлокачествлению, что происходит в 60–80% случаев [1]. Впервые забрюшинную опухоль описал Girolamo Benivieni в 1507 г., который обнаружил ее при аутопсии и в последующем обобщил 10 случаев подобных новообразований. В своем научном труде «Traité d’Anatomie Pathologique» (1829) J.F. Lobstein ввел термин «забрюшинная саркома» [2]. В 1983 г. T. Steeper и J. Rosai, обобщив столетний период наблюдения подобных случаев, впервые выделили «агрессивную ангиомиксому» в отдельную нозологию [3, 4]. Опухоль может иметь различную локализацию, но к более типичным относятся забрюшинное пространство, малый таз и промежность.
Агрессивная ангиомиксома — мезенхимальная опухоль, которая может симулировать кисту бартолиновой железы, абсцесс, липому, простую кисту или другие опухоли мягких тканей таза. Выявляется чаще у женщин, чем у мужчин (в соотношении ~1:6), в возрасте 30–50 лет. Из литературных источников известно, что у женщин первично патология поражает глубокие слои вульвы и влагалища, где она преимущественно и локализуется, у мужчин очень редко наблюдают случаи развития подобных новообразований в малом тазу [3, 4]. Часть ангиомиксом располагается внеорганно — в полости таза, промежности, бедрах и крестце; имеются описания кожной формы патологии.
Отдельные ученые связывают развитие агрессивной формы новообразований с гормональной перестройкой: так, в литературе за последние 30 лет описано около 10 случаев активного роста ангиомиксом во время беременности.
К особенностям ангиомиксом относят бессимптомное течение, медленный рост, отсутствие метастазирования, склонность к глубокой инвазии в ткани забрюшинного пространства и мышцы тазовой диафрагмы. Агрессивная ангиомиксома может иметь сферическую или листообразную форму, иметь мягкую консистенцию, либо, наоборот, быть плотной и твердой при пальпации. Постепенно распространяясь по клетчаточным пространствам, опухоль в виде ограниченных пальцевидных выпячиваний может проникать в соседние ткани или более широко пролабировать в обтураторную ямку и промежность, инвазируя их. Большие размеры опухоли (диаметр ее может составлять от 20 до 600 мм, в среднем 127 мм), наличие инвазии затрудняют хирургический доступ и радикальность проведения оперативного вмешательства [4, 5].
В связи с этим большое практическое значение имеет решение проблемы ранней диагностики, которая требует сложных и разнообразных методов исследования, а в ряде случаев невозможна из-за отсутствия клинических симптомов поражения. Основными методами диагностики являются ультразвуковое исследование (УЗИ), компьютерная (КТ) и магнитно-резонансная (МРТ) томография [1, 6–8].
К недостаткам УЗИ относится сложность визуализации и определения размеров образования. КТ — более точный и специфичный метод исследования, так как с большей долей вероятности позволяет оценить топографо-анатомические характеристики опухоли. Преимуществом метода КТ перед УЗИ является упрощенная подготовка к исследованию (результаты не зависят от состояния и наполнения мочевого пузыря и толстой кишки), недостатком — наличие лучевой нагрузки и необходимость применения йодосодержащих рентгеноконтрастных препаратов. МР-исследование благодаря наличию естественной тканевой контрастности позволяет увидеть наиболее полную картину распространенности процесса и уже при нативном исследовании отграничить неизмененные ткани от пораженных, а также оценить наличие и степень инвазии, что важно для планирования дальнейшего лечения и объема операции [1, 9].
Второй проблемой, с которой сталкиваются специалисты, — это частое рецидивирование процесса после хирургического лечения [7, 10]. Частота местных рецидивов ангиомиксом варьирует от 25 до 47%, а 85% рецидивов происходят в течение 5 лет [3].
Результаты лечения и прогноз благоприятного исхода у больных с опухолями забрюшинного пространства до сих пор остаются неудовлетворительными, поэтому пути совершенствования тактики их диагностики и лечения остаются актуальными [5, 7, 10, 11]. Представленное ниже клиническое наблюдение демонстрирует типичные трудности выявления, лечения и дальнейшего ведения пациентов с агрессивной ангиомиксомой.
Цель — оценка возможностей лучевых методов в диагностике опухолей забрюшинного пространства на примере агрессивной ангиомиксомы малого таза.
КЛИНИЧЕСКИЙ ПРИМЕР
О пациенте
Пациентка Я., 33 года, в течение 14 дней находилась на плановом стационарном лечении. Проживает в Москве, не работает, состоит в зарегистрированном браке.
Основные жалобы: грыжевое выпячивание в области ягодицы справа.
Из анамнеза болезни известно, что грыжевое выпячивание появилось 2 года назад, размеры его постепенно увеличивались, наличие другой клинической симптоматики пациентка отрицает. Две недели назад обратилась к хирургу в поликлинику по месту жительства, откуда была направлена на плановую госпитализацию с диагнозом паховой грыжи справа.
Из анамнеза жизни: травм не было, 5 лет назад — кесарево сечение. Наследственные заболевания не зарегистрированы. На учете в онкологическом диспансере не состоит. Аллергические реакции и инфекционные заболевания отрицает.
Диагностические процедуры
Физикальная диагностика
Общее состояние пациентки при поступлении удовлетворительное. Сознание ясное. Положение активное.
Кожные покровы обычного цвета, нормальной влажности. Подкожно-жировая клетчатка развита избыточно, толщина жировой складки на боковой поверхности живота до 5 см. Данные за наличие отеков не получены. Температура тела 36,7°С. Менингеальные симптомы отрицательные.
Дыхание ровное, ритмичное, частота 15/мин. При аускультации дыхание везикулярное, проводится во все отделы обоих легких, хрипов нет.
Область сердца без особенностей, границы его не расширены. Частота сердечных сокращений 74 в мин. Сердечные шумы не выслушиваются. Артериальное давление 120/80 мм рт.ст.
Язык розового цвета, без налета. Живот симметричный, не вздут, при пальпации мягкий, безболезненный. Печень пальпаторно не определяется. Перистальтические шумы без особенностей. Стул оформленный, обычного цвета. Акт дефекации, со слов пациентки, не нарушен.
При ректальном осмотре справа на 2–7 часах условного циферблата, начиная от уровня аноректального перехода, отмечается мягкоэластической консистенции образование, распространяющееся более чем на глубину пальца. Слизистая оболочка прямой кишки без особенностей. На перчатке каловые массы без патологических включений.
Симптом поколачивания отрицательный. Мочеиспускание произвольное. Моча соломенного цвета.
Локальный статус. В правой ягодичной области определяется грыжевое выпячивание мягкоэластичной консистенции, безболезненное, вправимое, размерами 2×5 см. Кожа над ним не изменена, подвижность ее сохранена.
Инструментальная диагностика
В день поступления для уточнения характера грыжевого выпячивания назначено УЗ-исследование: пресакрально справа от прямой кишки отмечено забрюшинное солидное образование мягкоэластичной консистенции, с ровными и четкими контурами, размером 135×70×72 мм. С помощью цветового допплеровского картирования в образовании зарегистрирован кровоток. В ходе проведения пробы Вальсальвы через дефект в тазовой диафрагме справа, между седалищным бугром и анальным отверстием, диаметром 45 мм образование таза пролабировало вниз на 100 мм в правую ягодичную область. По окончании пробы образование свободно вправлялось в пресакральное пространство. Свободных и отграниченных жидкостных скоплений в брюшной полости и малом тазу не выявлено.
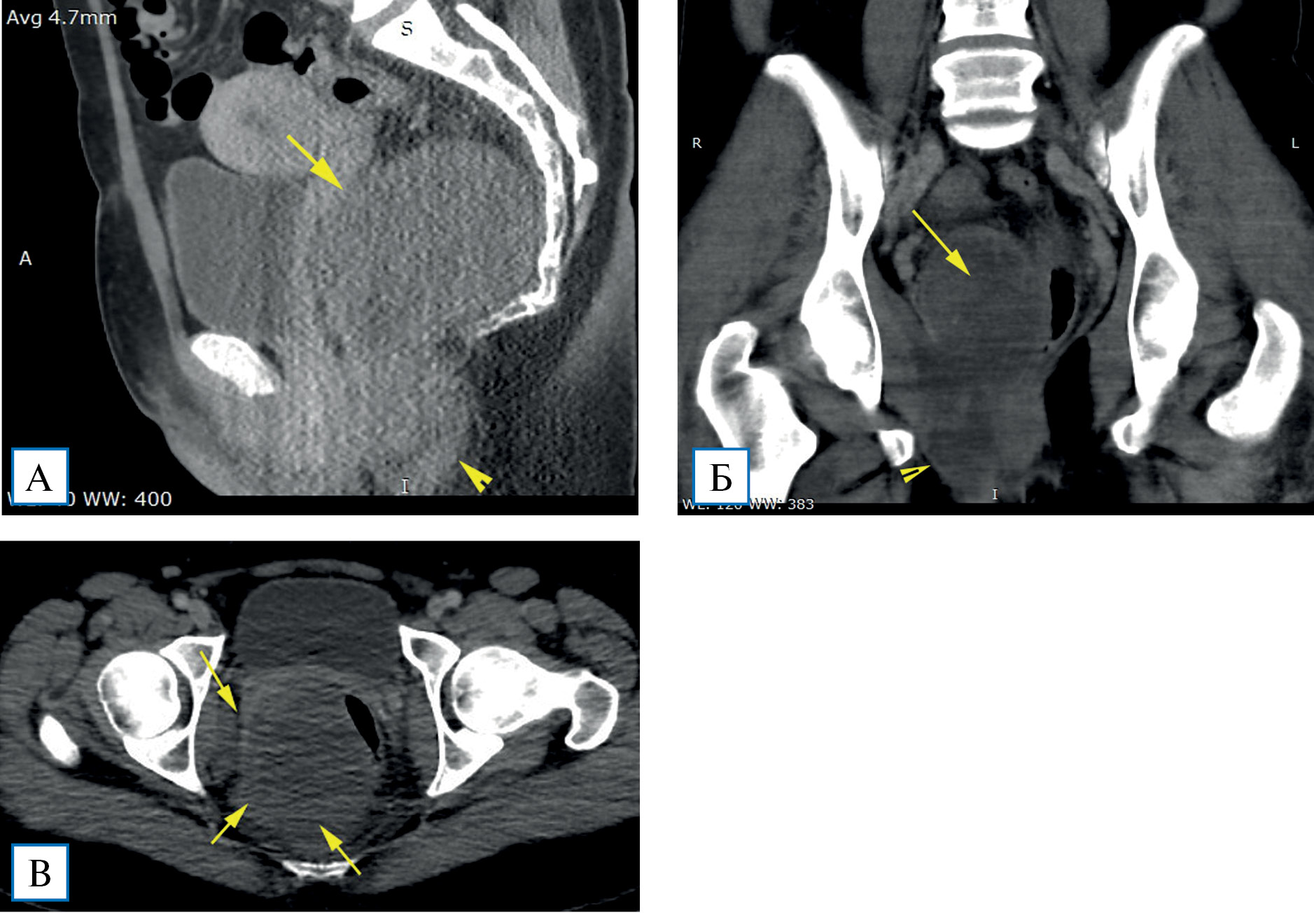
Для определения характера выявленного образования назначены мультисрезовая компьютерная томография (МСКТ) и МР-исследование. На 2-й день госпитализации выполнена МСКТ с болюсным контрастированием: в пресакральном пространстве, больше справа, оттесняя шейку матки кпереди и прямую кишку влево, определяется объемное образование размерами 65×70×135 мм, пролабирующее нижним краем в седалищно-анальную ямку. Контуры опухолевидного образования четкие, ровные. Плотность его близка к жидкостной (до +28 HU), структура неоднородная, складывается впечатление о наличии слоистости либо внутренних септ. Выраженного накопления контрастного вещества опухолью достоверно установить не удалось. Отмечены артефакты от костей таза, затрудняющие анализ изображений. Жидкости в малом тазу не выявлено (рис. 1).
Рис. 1. Компьютерные томограммы малого таза в венозную фазу контрастирования: мультипланарные реконструкции в сагиттальной (А), фронтальной (Б) и аксиальной (В) плоскостях
Примечание. Определяется объемное образование, слабо накапливающее контрастный препарат, имеющее связь с диафрагмой таза (А, Б, наконечник стрелки). Оценить инвазию образования в прямую кишку и латеральную стенку таза не представляется возможным (А, Б, В, стрелки).
На 4-й день госпитализации выполнено МР-исследование: в малом тазу справа определяется объемное образование размером 70×70×145 мм с четким наружным контуром. На Т2-ВИ МР-сигнал по интенсивности выше, чем от миометрия, но ниже, чем от жидкости. Структура неоднородная за счет тонких беспорядочных протяженных волокнистых включений. На Т1-ВИ опухоль однородно гипоинтенсивная. Жироподобных включений, участков выпадения МР-сигнала, соответствующих кальцинатам, не прослеживалось. При получении диффузионно-взвешенных изображений данных за ограничение диффузии молекул воды не отмечено. Опухоль оттесняет в стороны прилежащие органы малого таза без признаков их инвазии. Нижний полюс опухоли выглядит нечетким, распространяется к m. levator ani (мышца, поднимающая задний проход) справа и в клетчатку правой седалищно- анальной ямки, инфильтрируя их (рис. 2).
Рис. 2. МР-томограммы малого таза, Т2-ВИ в сагиттальной плоскости (А), Т2-ВИ с подавлением сигнала от жира в корональной плоскости (Б), Т1-ВИ в аксиальной плоскости (В), изображение с картой исчисляемого коэффициента диффузии в аксиальной плоскости (Г)
Примечание. Объемное образование вовлекает m. levator ani справа (А, Б, наконечники стрелок). Между образованием, маткой, придатками матки справа и прямой кишкой прослеживаются жировые прослойки (Б, В, стрелки). Исчисляемый коэффициент диффузии от образования составляет около 2300 мм/с2 (Г).
Динамика и исходы
На 7-й день госпитализации после клинико-лабораторного обследования (показатели клинического и биохимического анализов крови, общего анализа мочи в пределах референсных значений) пациентке проведено оперативное вмешательство промежностным доступом. Опухоль отделена от m. levator ani тупым и острым путем, выделена из окружающих мягких тканей без вскрытия капсулы. Верхним полюсом прилежала к тазовой брюшине, которая не вскрывалась. Прилежащие к опухоли полые органы малого таза в опухоль не вовлечены. Опухоль вылущена, гемостаз. Мышца, поднимающая прямую кишку, восстановлена.
Заключение. Макроскопически узловое образование размерами 7×11×14 см, эластичной консистенции, на разрезе однородного вида, серо-розового цвета.
При микроскопическом исследовании ткани опухолевого узла представлены мономорфными разнонаправленными фибробластами с коллагеновыми волокнами, множественными полнокровными сосудами, миксоматозной стромой, участками кровоизлияний, инфильтрацией жировой ткани по периферии. При дополнительной окраске по Ван Гизону коллагеновые волокна окрашивались в красный цвет, при окраске альциановым синим наблюдалось неравномерное окрашивание стромы в голубой цвет.
Заключение. Гистоморфологическая картина наиболее всего соответствует глубокой (агрессивной) ангиомиксоме, рекомендовано иммуногистохимическое исследование.
Послеоперационный период прошел без осложнений, швы сняты на 7-й день после оперативного вмешательства (14-й день госпитализации), послеоперационная рана зажила первичным натяжением. Пациентка выписана под динамическое наблюдение в амбулаторных условиях.
Иммуногистохимическое исследование в стационаре не проводилось. Выполнено амбулаторно. Опухолевые клетки экспрессируют эстрогены, прогестерон, не экспрессируют S100, SMA, SMMS1, CD10, CD31, CD34. Индекс пролиферации Ki-67 10%.
Прогноз
Прогноз благоприятный, через 6 мес данных за рецидив и резидуальные изменения на уровне оперативного вмешательства не отмечено. Наблюдение продолжается.
ОБСУЖДЕНИЕ
В представленном клиническом наблюдении продемонстрирована агрессивная ангиомиксома в виде объемного образования, которое было более распространенным и глубоким, чем представлялось при клиническом обследовании. Оно не достигло гигантских размеров, имело ограниченный участок инвазии m. levator ani, что говорит о своевременном выявлении заболевания. Окончательный диагноз ангиомиксомы устанавливается только морфологически, при этом верификация агрессивности при световой микроскопии и рутинных гистологических окрасках невозможна. В наблюдении опухоль микроскопически представлена мономорфными разнонаправленными фибробластами с коллагеновыми волокнами, множественными полнокровными сосудами, миксоматозной стромой, участками кровоизлияний, инфильтрацией жировой ткани по периферии. Микроскопически опухоль дифференцируют с ангиомиофибробластомой, ботриоидной псевдосаркомой, поверхностной ангиомиксомой, миксоидной нейрофибромой, миксоидной злокачественной фиброзной гистиоцитомой и миксоидной липосаркомой [5]. Согласно данным литературных источников, иммуногистохимически клетки опухоли демонстрируют свойства, характерные для фибробластов и миофибробластов, и являются гормонально зависимыми: клетки опухоли позитивны на виментин, десмин, актин, CD34, а также рецепторы к эстрогену и прогестерону. Положительная реакция с белками S100 и MSA (muscle-specificactin) отсутствует. Строма опухоли не дает положительного окрашивания при гистохимических реакциях на слизеподобные вещества, поэтому блестящая поверхность опухоли является следствием отека [5].
Ангиомиксома потенциально агрессивна за счет локальной инвазии, что требует обширного ее удаления в процессе хирургического вмешательства [3]. У наблюдаемой пациентки хирургическое вмешательство было выполнено путем вылущивания образования вместе с капсулой. При краткосрочном наблюдении исход и прогноз течения заболевания остаются неясными, требуется динамическое наблюдение с целью выявления прогрессирования процесса не менее 60 мес.
ЗАКЛЮЧЕНИЕ
Подводя итоги, необходимо отметить, что диагностика неорганных забрюшинных опухолей является сложной и нерешенной до конца проблемой. Течение процесса чаще всего бессимптомное, поэтому затруднена ранняя диагностика данных образований. Их верификация с помощью методов лучевой диагностики невозможна, что затрудняет планирование дальнейшего ведения пациента. Данные лучевых методов исследования должны быть подтверждены цитологическим и иммуногистохимическим исследованиями во избежание диагностических ошибок.
About the authors
Elena A. Egorova
Moscow State University of Medicine and Dentistry named after A.I. Evdokimov
Author for correspondence.
Email: tylsit@mail.ru
ORCID iD: 0000-0003-2580-5692
SPIN-code: 3771-3676
M.D. Med., Professor
Russian Federation, MoscowEkaterina A. Shaposhnikova
Moscow State University of Medicine and Dentistry named after A.I. Evdokimov
Email: Nice.katrin@mail.ru
ORCID iD: 0000-0001-6466-658X
SPIN-code: 5010-6296
Russian Federation, Moscow
Dmitriy A. Lezhnev
Moscow State University of Medicine and Dentistry named after A.I. Evdokimov
Email: lezhnevd@mail.ru
ORCID iD: 0000-0002-7163-2553
M.D. Med., Professor
Russian Federation, MoscowElena P. Kleymenova
Municipal Clinical Hospital named after S.S. Yudin, Department of Healthcare of Moscow
Email: kleymenova.e.p@gmail.com
Russian Federation, Moscow
Alexandr V. Bazhin
Research and Practical Clinical Center for Diagnostics and Telemedicine Technologies of Moscow Healthcare Department
Email: avbazhin@yandex.ru
ORCID iD: 0000-0003-3198-1334
SPIN-code: 6122-5786
Ph.D. Med.
Russian Federation, MoscowMargarita V. Semenova
Moscow State University of Medicine and Dentistry named after A.I. Evdokimov
Email: mvdoc@mail.ru
ORCID iD: 0000-0003-4607-1819
SPIN-code: 1194-7975
M.D. Med., Professor
Russian Federation, MoscowVictor P. Truten
Moscow State University of Medicine and Dentistry named after A.I. Evdokimov
Email: VPT177@mail.ru
ORCID iD: 0000-0002-8941-4511
SPIN-code: 3595-3903
M.D. Med., Professor
Russian Federation, MoscowReferences
- Баженова Ю.В., Дрантусова Н.С., Коринец Т.С., и др. Возможности мультиспиральной компьютерной томографии в диагностике забрюшинных опухолей у детей // Acta Biomedica Scientifica. — 2016. — №6. — С. 15–18. [Bazhenova YV, Drantusova NS, Korinets TS, et al. Оpportunities of multispiral computed tomography in the diagnostics of retroperitoneal sarcoma in children. Acta Biomedica Scientifica. 2016;(6):15–18. (In Russ).]
- Самудунов Б.Т. Неорганные опухоли забрюшинного пространства (Обзор литературы) // Вестник Кыргызско-Российского славянского университета. — 2018. — №2. — С. 140–144. [Samudunov BT. Retroperitoneal extra-organ tumors (Review). Vestnik Kyrgyzsko-Rossijskogo slavyanskogo universiteta. 2018;(2):140–144. (In Russ).]
- Chen H, Zhao H, Yan X, Mulan J. Clinicopathological features and differential diagnosis of aggressive angiomyxoma of the female pelvis. 5 case reports and literature review. Medicine (Baltimore). 2017;96(20):e6820. doi: 10.1097/MD.0000000000006820.
- Yao X, Qian Y, Zou B. A giant aggressive angiomyxoma of vulva in a young woman. Medicine (Baltimore). 2019;98(2):e13860. doi: 10.1097/MD.0000000000013860.
- Никифоровский Н.К., Покусаева В.Н., Степанькова Е.А., и др. Клиническое наблюдение случая агрессивной ангиомиксомы при беременности // Проблемы репродукции. — 2016. — №22. — С. 136–139. [Nikiforovsky NK, Pokusaeva VN, Stepankova EA, et al. Aggressive angiomixoma during pregnancy (a case report). Problemy reprodukcii. 2016;(22):136–139. (In Russ).]
- Бахмутова Е.Е., Аскерова А.Н., Бабаева Д.М., и др. Дифференциальная диагностика жиросодержащих образований забрюшинного пространства // Медицинская визуализация. — 2016. — №2. — С. 90–102. [Bahmutova EE, Askerova AN, Babaeva DM, et al. Differential diagnosis of fat-containing formations of retroperitoneal space. Medicinskaia vizualizaciia. 2016;(2):90–102. (In Russ).]
- Messiou C, Moskovic E, Vanel D, et al. Primary retroperitoneal soft tissue sarcoma: Imaging appearances, pitfalls and diagnostic algorithm. Eur J Surg Oncol. 2017;43(7):1191–1198. doi: 10.1016/j.ejso.2016.10.032.
- Tan GH, Ng D, Hennedige T, Teo M. A solitary fibrous tumour mimicking an aggressive angiomyxoma/liposarcoma. BMJ Case Rep. 2017;2017:bcr2016218202. doi: 10.1136/bcr-2016-218202.
- Березовская Т.П., Прошин А.А., Мозеров С.А., и др. Дифференциальная диагностика опухолей таза у женщин: два МРТ-наблюдения редких экстрагенитальных тазовых образований // Российский электронный журнал лучевой диагностики. — 2017. — №7. — С. 188–198. [Berezovskaya TP, Proshin AA, Mozerov SA, et al. Differential diagnosis of pelvic tumors in females: two MRI cases of rare extragenital pelvic lesions. Rossiiskii elektronnyi zhurnal luchevoi diagnostiki. 2017;(7):188–198. (In Russ).]
- Сулейманов Э.А., Каприн А.Д., Костин А.А., Москвичева Л.И. Современные возможности диагностики и лечения больных злокачественными неорганными забрюшинными опухолями // Сибирский онкологический журнал. — 2017. — №2. — С. 90–96. [Suleimanov EA, Kaprin AD, Кostin AA, Moskvicheva IL. Мodern possibilities of diagnostics and treatment of patients with retroperitoneal tumors. Sibirskii onkologicheskii zhurnal. 2017;(2):90–96. (In Russ).]
- Самойлов К.В. Результаты лечения больных с диагнозом опухоли забрюшинного пространства // Аспирантский вестник Поволжья. Медицина. — 2015. — №1-2. — С. 131–135. [Samojlov KV. The results of treatment of patients with tumors of retroperitoneum. Aspirantskii vestnik Povolzh’ia. Medicina. 2015;(1-2):131–135. (In Russ).]
Supplementary files






