Difficulties in treatment of acute coronary syndrome in a patient with end-stage chronic renal failure on program hemodialysis (case description)
- Authors: Bocharov A.V.1, Sidorov D.V.1, Popov L.V.2
-
Affiliations:
- Kostroma Regional Clinical Hospital named after Korolev E.I.
- National Medical and Surgical Center named after N.I. Pirogov
- Issue: Vol 11, No 3 (2020)
- Pages: 102-106
- Section: Case reports
- Submitted: 29.04.2020
- Accepted: 31.08.2020
- Published: 23.10.2020
- URL: https://clinpractice.ru/clinpractice/article/view/33946
- DOI: https://doi.org/10.17816/clinpract33946
- ID: 33946
Cite item
Full Text
Abstract
Background. The surgical treatment of the coronary heart disease (acute coronary syndrome) in patients undergoing program hemodialysis has its own characteristics, which are not fully reflected in the cardiological recommendations. In particular, coronary artery bypass grafting is preferable to stenting, the drug of choice among p2y12 platelet receptor blockers is clopidogrel, with the infeasibility of rosuvastatin prescription. All these points are often ignored by treating doctors from the cardiology team when choosing the optimal treatment strategy for patients in this group.
Description of the clinical case. The article presents a case of treating acute coronary syndrome in a patient undergoing program hemodialysis. The problems of coronary revascularization and the drug therapy in this category of patients are discussed, and the ways to solve them are shown by the example of this clinical case.
Conclusion. In special cases, such as acute coronary syndrome in patients with chronic renal failure who are on program hemodialysis, the endovascular treatment strategy should be considered only if the specifics of the prescribed pharmacotherapy are taken into account.
Full Text
ОБОСНОВАНИЕ
Острый коронарный синдром (ОКС) остается основной причиной смертности, потерь трудоспособности и заболеваемости в развитых странах. В ряде случаев ОКС может представлять трудности для диагностики и лечения у практикующих врачей. Все современные рекомендации по лечению пациентов с ОКС, реваскуляризации миокарда [1], ведению пациентов с ОКС без стойкого подъема сегмента ST [2] основаны главным образом на результатах крупных многоцентровых рандомизированных исследований. Однако для «узких» групп, как, например, для пациентов с ОКС на программном гемодиализе, крупные исследования не проводились, и рекомендации по лечению этих больных отсутствуют.
Хирургическое лечение ишемической болезни сердца (ОКС) у больных, находящихся на программном гемодиализе, имеет свои особенности, которые не в полной мере отражены в кардиологических рекомендациях. В частности, аортокоронарное шунтирование более предпочтительно перед стентированием, препаратом выбора среди блокаторов P2Y12-рецепторов тромбоцитов является клопидогрел при невозможности назначения розувастатина. Все эти моменты достаточно часто игнорируются лечащими врачами — участниками кардиокоманды при выборе оптимальной стратегии лечения пациентов данной группы.
Представленный клинический случай отражает сложность лечения и неоднозначность принятия клинических решений у пациента с ОКС, находящегося на программном гемодиализе.
ОПИСАНИЕ КЛИНИЧЕСКОГО СЛУЧАЯ
О пациенте
Пациентка Б., 64 года, доставлена по экстренным показаниям бригадой скорой медицинской помощи в Региональный сосудистый центр ОГБУЗ «Костромская областная клиническая больница имени Королева Е.И.» 09.04.2020 с жалобами на боли давящего характера за грудиной в покое, которые купировались введением наркотических анальгетиков на догоспитальном этапе. Диагноз врача скорой медицинской помощи: «Острый коронарный синдром без подъема сегмента ST».
Из анамнеза. В течение 6 последних лет получает программный гемодиализ по поводу терминальной стадии хронической болезни почек вследствие гломерулонефрита. Антигипертензивную терапию не получает, рабочие цифры артериального давления за последний год — 110/60 мм рт.ст. Болевой синдром за грудиной при незначительных физических нагрузках, купируемый постепенно после их прекращения, отмечала в течение последнего года.
Физикальная диагностика
При поступлении в палату интенсивной терапии отделения кардиологии: состояние средней тяжести, сознание ясное, в месте и времени ориентирована правильно. Индекс массы тела 30 кг/ м2. Кожные покровы чистые, акроцианоз. Частота дыхательных движений 17/мин, проводится равномерно, хрипов нет. SpO2 95%. Пульс 100 уд./мин, ритмичный. Артериальное давление 100/60 мм рт. ст. В остальном без особенностей.
На электрокардиограмме ритм синусовый с частотой желудочковых сокращений 78/мин, диагностически значимая депрессия сегмента ST в отведениях V2, V3, V4 (рис. 1).
Рис. 1. Пациентка Б., 64 года, с острым коронарным синдромом, находящаяся на программном гемодиализе: электрокардиограмма при поступлении
Эхокардиография при поступлении: гипокинез передней стенки, верхушки и перегородки левого желудочка. Фракция выброса левого желудочка 46% по Тейхольцу.
Лабораторные данные: качественный тест на тропонин положительный, гемоглобин 100 г/л, эритроциты 4,76 × 1012/л, лейкоциты 8 × 109/л, тромбоциты 336 × 109/л, креатинфосфокиназа МВ 686 Ед/л, липопротеиды низкой плотности 3,5 ммоль/л, липопротеиды высокой плотности 0,95 ммоль/л, триглицериды 2,35 ммоль/л, креатинин 700 мкмоль/л.
Предварительный диагноз
Ишемическая болезнь сердца. Острый коронарный синдром без подъема сегмента ST. Терминальная стадия хронической болезни почек вследствие гломерулонефрита. Программный гемодиализ.
Прогноз. Динамика и исходы
Риск по шкале GRACE оценен врачом-кардиологом как высокий (156 баллов).
В палате интенсивной терапии дана нагрузочная доза клопидогреля (600 мг), и пациентка взята в рентгеноперационную.
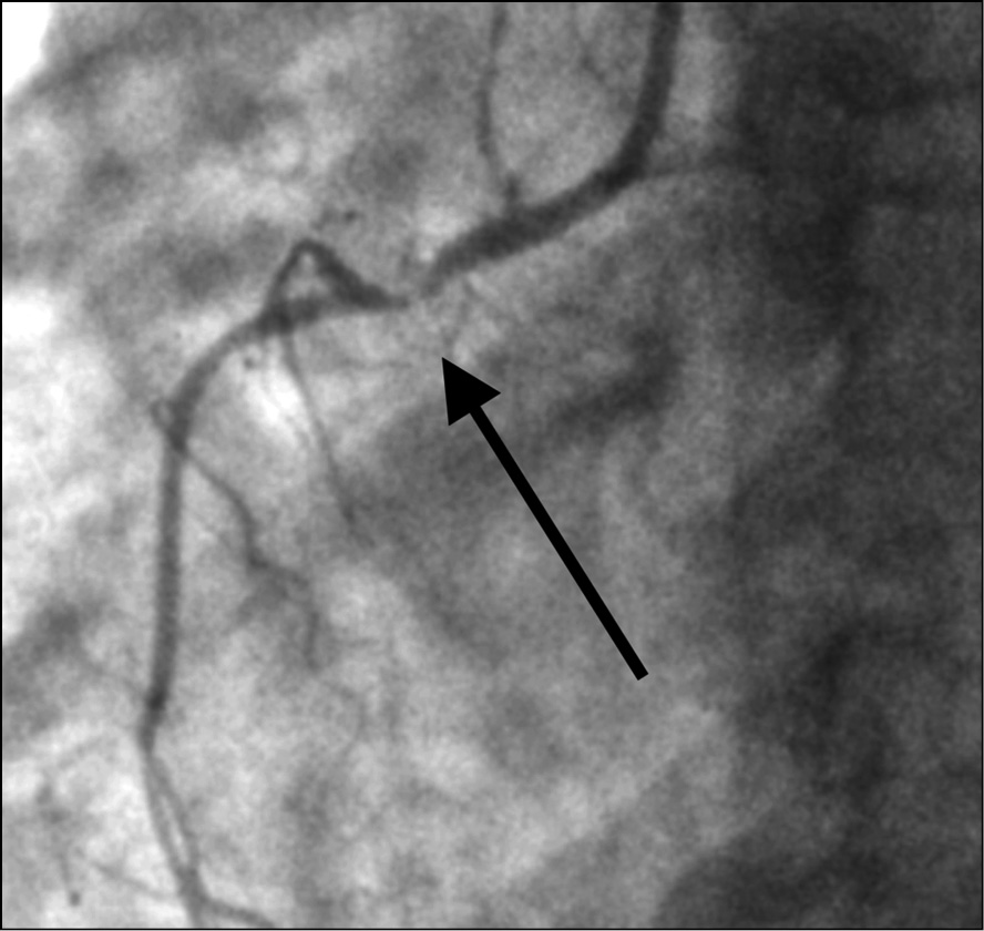
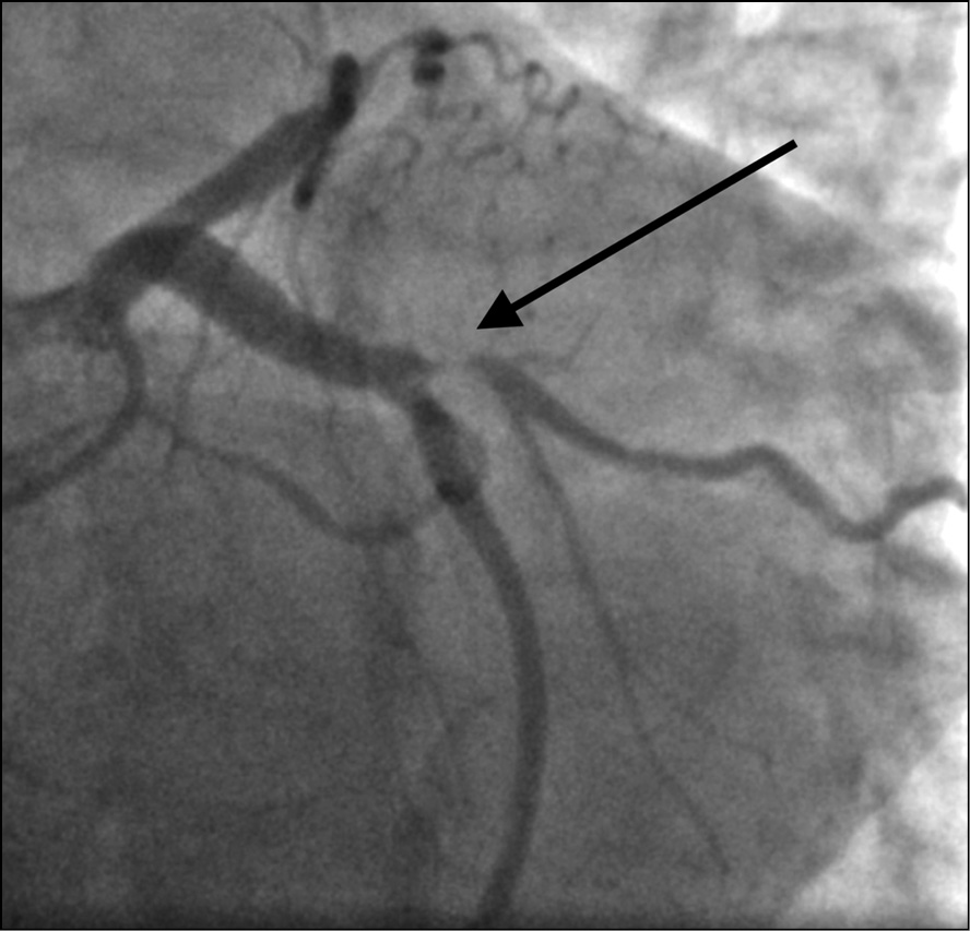
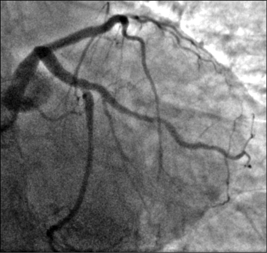
Выполнена коронарография трансрадиальным доступом, на которой выявлено многососудистое поражение коронарного русла: субокклюзия средней трети передней нисходящей артерии (рис. 2), субокклюзия устья первой ветви тупого края (рис. 3), субокклюзия проксимальной части правой коронарной артерии (рис. 4). Диаметр правой коронарной артерии менее 2 мм. Левый тип кровоснабжения миокарда. Тяжесть поражения коронарного русла по шкале Syntax 1 [3] составила 13 баллов (легкая). Рекомендованный метод реваскуляризации миокарда по шкале Syntax 2 [4] — аортокоронарное шунтирование (53,6 балла для чрескожного коронарного вмешательства и 28,6 баллов для аортокоронарного шунтирования).
С учетом наличия у пациентки ОКС без подъема сегмента ST, данных коронарографии (многососудистое поражение с умеренным хирургическим риском), ожидаемой продолжительности жизни более 1 года, невозможности выполнения аортокоронарного шунтирования вследствие карантинных мер из-за COVID-19 кардиокомандой было принято решение о необходимости выполнения реваскуляризации методом чрескожного коронарного вмешательства вопреки рекомендациям Европейского общества кардиологов (European Society of Cardiology, ESC) [2].
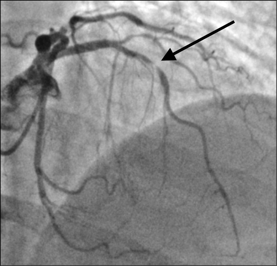
Выполнено успешное стентирование средней трети передней нисходящей артерии и устья первой ветви тупого края стентами с лекарственным покрытием 3-го поколения «Калипсо» (Ангиолайн, Россия) (рис. 5).
Рис. 2. Пациентка Б., 64 года, с острым коронарным синдромом, находящаяся на программном гемодиализе: при коронарографии трансрадиальным доступом выявлена субокклюзия средней трети передней нисходящей артерии (указана стрелкой)
Рис. 3. Пациентка Б., 64 года, с острым коронарным синдромом, находящаяся на программном гемодиализе: при коронарографии трансрадиальным доступом выявлена субокклюзия устья первой ветви тупого края (указана стрелкой)
Рис. 4. Пациентка Б., 64 года, с острым коронарным синдромом, находящаяся на программном гемодиализе: при коронарографии трансрадиальным доступом выявлена субокклюзия проксимальной трети правой коронарной артерии (указана стрелкой)
Рис. 5. Пациентка Б., 64 года, с острым коронарным синдромом, находящаяся на программном гемодиализе: контрольная коронарограмма после стентирования передней нисходящей артерии и ветви тупого края
Послеоперационный период протекал без особенностей, болевой синдром не рецидивировал. На 8-е сут пациентка выписана из кардиологического отделения в удовлетворительном состоянии.
ОБСУЖДЕНИЕ
Терминальная почечная недостаточность, требующая проведения программного гемодиализа, рассматривается на современном этапе как самостоятельный фактор риска возникновения нежелательных сердечно-сосудистых событий [5, 6]. Смертность от ОКС у больных с программным гемодиализом составляет около 10% в год, что более чем в 15 раз превышает данный показатель в популяции [7].
Несмотря на достаточное количество работ о преимуществе у больных ишемической болезнью сердца, находящихся на программном гемодиализе, аортокоронарного шунтирования над стентированием коронарных артерий [8, 9] для реваскуляризации коронарного русла, наличие у пациентки ОКС, а также с учетом анатомии поражения коронарного русла, рецидивирующего болевого синдрома при минимальных физических нагрузках, категорического отказа от выполнения аортокоронарного шунтирования склонило чашу весов при принятии решения кардиокомандой в сторону реваскуляризации миокарда методом чрескожного коронарного вмешательства.
Отдельным вопросом у вышеназванной группы пациентов стоит проблема оптимальной медикаментозной терапии после выполнения интервенционного лечения. При назначении лекарственных препаратов у этих пациентов следует учитывать практически нулевую экскрецию веществ через почки и элиминацию значительной доли циркулирующих в крови лекарственных веществ при сеансе гемодиализа.
В качестве стандартной медикаментозной терапии у больных ОКС после стентирования коронарных артерий наиболее часто применяются ацетилсалициловая кислота, тикагрелор, статины, бета-блокаторы, ингибиторы ангиотензинпревращающего фермента или блокаторы рецепторов ангиотензина II.
В нашем случае вследствие стойкой гипотензии у пациентки (артериальное давление 90–100/60 мм рт.ст.) бета-блокаторы, ингибиторы ангиотензинпревращающего фермента, блокаторы рецепторов ангиотензина II не назначались. В качестве двойной антиагрегантной терапии назначены ацетилсалициловая кислота и клопидогрел. Решение воздержаться от монотерапии клопидогрелом было принято на основании данных метаанализа S. Hiremath и соавт. [10], где показаны, с одной стороны, более высокие риски кровотечений у пациентов на программном гемодиализе при двойной антитромбоцитарной терапии, с другой — не совсем однозначные результаты при монотерапии блокатором P2Y12-рецепторов тромбоцитов. Выбор клопидогрела в качестве блокатора был основан на данных ряда исследований [11], доказавших его бóльшую безопасность, чем у тикагрелора, при сравнимых отдаленных результатах по неблагоприятным сердечно-сосудистым событиям.
Имеющаяся у пациентки гиперлипидемия потребовала назначения статинов. Согласно действующим рекомендациям [1, 2] и стандартам, у больных ОКС назначаются аторвастатин в дозе 80 мг/сут или розувастатин по 40 мг/сут. Согласно утвержденной инструкции, розувастатин противопоказан при тяжелом нарушении функции почек, что делает невозможным его применение у пациентов с ОКС на программном гемодиализе в Российской Федерации и, соответственно, у нашей больной, которой был назначен аторвастатин.
ЗАКЛЮЧЕНИЕ
Данный клинический случай демонстрирует сложность принятия клинических решений и неоднозначность клинических рекомендаций по лечению острого коронарного синдрома у больных с терминальной стадией хронической почечной недостаточности, находящихся на программном гемодиализе.
About the authors
Aleksandr V. Bocharov
Kostroma Regional Clinical Hospital named after Korolev E.I.
Author for correspondence.
Email: bocharovav@mail.ru
ORCID iD: 0000-0002-6027-2898
SPIN-code: 6073-1445
MD, PhD
Russian Federation, KostromaDenis V. Sidorov
Kostroma Regional Clinical Hospital named after Korolev E.I.
Email: denis.sidorov1972@mail.ru
Russian Federation, Kostroma
Leonid V. Popov
National Medical and Surgical Center named after N.I. Pirogov
Email: popovcardio@mail.ru
ORCID iD: 0000-0002-0530-3268
MD, PhD, Professor
Russian Federation, MoscowReferences
- Neumann FJ, Sousa-Uva M, Ahlsson A, et al. 2018 ESC/EACTS Guidelines on myocardial revascularization. Eur Heart J. 2019;40(2):87–165. doi: 10.1093/eurheartj/ehy394.
- Roffi M, Patrono C, Collet JP, et al. 2015 ESC Guidelines for the management of acute coronary syndromes in patients presenting without persistent ST-segment elevation. Eur Heart J. 2016;37(3):267–315. doi: 10.1093/eurheartj/ehv320.
- SyntaxScore II. Calculator version 2.28. Specify which segments are diseased for lesion 1. Available from: http://www.syntaxscore.com/calculator/syntaxscore/frameset.htm.
- SyntaxScore II. Calculator version 2.28. SYNTAX SCORE II 4-year mortality. Available from: http://www.syntaxscore.com/calculator/syntaxscore/framesetss2.htm.
- Sud M, Naimark DM. Cardiovascular disease in chronic kidney disease in 2015. Curr Opin Nephrol Hypertens. 2016;25(3):203–207. doi: 10.1097/MNH.0000000000000213.
- Барбараш О.Л., Зыков М.В., Быкова И.С., и др. Роль дисфункции почек и мультифокального атеросклероза в оценке прогноза у больных инфарктом миокарда и подъемом сегмента ST // Кардиология. — 2013. — Т.53. — №9. — С. 26–32. [Barbarash OL, Zykov MV, Byrova IS, et al. Role of renal dysfunction and multifocal atherosclerosis in assessment of prognosis of patients presenting with ST-elevation acute coronary syndrome. Kardiologiya. 2013;53(9):26–32. (In Russ).]
- Churchill DN, Taylor DW, Cook RJ. Canadian hemodialysis morbidity study. Am J Kidney Dis. 1992;19(3):214–234. doi: 10.1016/s0272-6386(13)80002-9.
- Bangalore S, Guo Y, Samadashvili Z, et al. Revascularization in patients with multivessel coronary artery disease and chronic kidney disease: everolimus-eluting stents versus coronary artery bypass graft surgery. J Am Coll Cardiol. 2015;66(11):1209–1220. doi: 10.1016/j.jacc.2015.06.1334.
- Shroff GR, Solid CA, Herzog CA. Long-term survival and repeat coronary revascularization in dialysis patients after surgical and percutaneous coronary revascularization with drug-eluting and bare metal stents in the Unites States. Circulation. 2013;127(18):1861–1869. doi: 10.1161/CIRCULATIONAHA.112.001264.
- Hiremath S, Holden RM, Fergusson D, Zimmerman DL. Antiplatelet medications in hemodialysis patients: a systematic review of bleeding rates. Clin J Am Soc Nephrol. 2009;4(8):1347–1355. doi: 10.2215/CJN.00810209.
- Summaria F, Giannico MB, Talarico GP, Patrizi R. Antiplatelet therapy in hemodialysis patients undergoing percutaneous coronary interventions. Nephrourol Mon. 2015;7(4):e28099. doi: 10.5812/numonthly.28099.
Supplementary files













