The influence of model iterative reconstruction on the image quality in standard and low-dose computer tomography of the chest. Experimental study
- Authors: Silin А.Y.1,2, Gruzdev I.S.2, Morozov S.P.3
-
Affiliations:
- Clinical Hospital on Yauza
- Research and Practical Clinical Center for Diagnostics and Telemedicine Technologies of Moscow Health Care Departmen
- A.V. Vishnevsky National Medical Research Center of Surgery
- Issue: Vol 11, No 4 (2020)
- Pages: 49-54
- Section: Original Study Articles
- Submitted: 01.07.2020
- Accepted: 05.11.2020
- Published: 26.12.2020
- URL: https://clinpractice.ru/clinpractice/article/view/34900
- DOI: https://doi.org/10.17816/clinpract34900
- ID: 34900
Cite item
Full Text
Abstract
Background. One of the ways to reduce the radiation dose in CT is to the image reconstruction algorithms. The latest offer from CT scanner manufacturers is Model Iterative Reconstruction (MIR). Aims: to compare the quality of visualization of the structures of the chest organs and to prove the effectiveness of the low-dose protocol with iterative model reconstruction. Methods. A calibration phantom with a spatial resolution module and an anthropomorphic phantom of the upper body of an adult with nodules in the lungs were scanned using two CT scanners of different manufacturers. Two protocols were applied: the standard dose protocol (SDCT) with the algorithms of hybrid iterative reconstruction (HIR) of images and MIR and a low-dose protocol (LDCT) with the MIRalgorithm. The quality of the obtained images was evaluated by the following parameters: noise (SD), the contrast-to-noise ratio (CNR), spatial resolution and visualization of pulmonary nodules. The radiation dose was calculated according to the scanner data, the data of individual dosimeters placed on the anthropomorphic phantom, and using a dosimetric phantom. Results. The average SD was 11.5; 24.4 and 21.6; CNR 85.47; 40.6 and 45.6; spatial resolution 2 mm; 2 mm and 3 mm for SDCT with MIR, SDCT with HIR and LDCT with MIR respectively. Visualization of the pulmonary lesions remained excellent in all cases. The radiation dose in case of SDCT was 2.7, and in case of LDCT — 0.67 mSv. The dose reduction was confirmed by the dosimeter data. Similar results were obtained by repeating the experiment with a second scanner. Conclusions. The model iterative reconstruction application will allow reducing the irradiatin dose during CT scanning of the chest organs without deterioration of the visualization quality.
Full Text
ОБОСНОВАНИЕ
Компьютерная томография (КТ) органов грудной клетки является одним из самых распространенных исследований благодаря превосходному качеству отображения легочных структур. В зависимости от комплекции пациента доза облучения при стандартной КТ органов грудной клетки может составлять до 8 мЗв (миллизиверт) [1].
Существует несколько методик снижения лучевой нагрузки при КТ-исследовании. Наиболее простым способом является снижение энергии — напряжения или силы тока, подаваемых на рентгеновскую трубку. Однако уменьшение дозы облучения неизбежно ведет к увеличению цифрового шума. Для борьбы с ним была разработана техника итеративных реконструкций сырых данных, последним поколением которых является модельная итеративная реконструкция (МИР), обладающая наименьшей чувствительностью к появлению цифрового шума при снижении силы тока [2]. Сама технология МИР не снижает лучевую нагрузку, но помогает сохранять качество изображения при низких дозах облучения за счет устранения цифрового шума. Предшествующие исследования показали возможность снижения лучевой нагрузки до <1 мЗв с сохранением диагностического качества полученных изображений [3, 4].
Цель исследования — сравнить качество визуализации структур органов грудной клетки и доказать эффективность низкодозового протокола при применении итеративной модельной реконструкции.
МЕТОДЫ
Условия проведения
Исследование выполнено на базе отделений лучевой диагностики ООО «Клинический Госпиталь на Яузе» и Государственного бюджетного учреждения здравоохранения Московской области «Жуковская городская клиническая больница» (ГБУЗ МО «Жуковская ГКБ»).
Описание техники итеративных реконструкций
Исследование выполнялось на двух КТ-томографах:
- КТ-томограф Philips, Нидерланды;
- КТ-томограф Siemens, Германия.
Проведено исследование одновременно двух фантомов:
- калибровочного фантома Philips Phantom Head (Philips, Нидерланды) с наружным диаметром секции 20 см;
- антропоморфного фантома верхней части тела взрослого человека Multipurpose Chest Phantom N1 «Lungman» (Kyoto Kagaku, Япония).
Калибровочный фантом включал в себя модуль оценки пространственного разрешения. Исследование выполнялось в стандартной укладке фантома.
Антропоморфный фантом включал в себя искусственные скелет, легкие, средостение, покрытые материалом, который по способности пропускать рентгеновское излучение аналогичен тканям человека, и очаги размерами от 3 до 10 мм КТ-плотностью-800 Hounsfield Units (HU), -630 HU, 100 HU. Антропоморфный фантом укладывался в стандартную позицию для проведения КТ органов грудной клетки и максимально близко к калибровочному фантому (рис. 1). Внутри фантома хаотичным образом располагались очаги. В рамках эксперимента оценивались КТ-изображения органов грудной клетки и визуализация очагов при двух уровнях лучевой нагрузки: протокол КТ со стандартной дозой облучения (СДКТ) и разработанный низкодозный протокол (НДКТ): параметры сканирования представлены в табл. 1. Для оценки дозовой нагрузки на фантоме на уровне сочленения тела и рукоятки грудины и рядом с фантомом на уровне 9-го межреберья слева на столе компьютерного томографа размещались индивидуальные дозиметры системы термолюминесцентной дозиметрической ДТУ-01 М (см. рис. 1).
Таблица 1
Параметры КТ-сканирования органов грудной клетки
Параметры | Томограф | |||
Томограф 1 | Томограф 2 | |||
Вид протокола | НДКТ | СДКТ | НДКТ | СДКТ |
Питч | 1,015 | 0,891 | 1,0 | 1,0 |
Время ротации трубки, с | 0,4 | 0,5 | 0,6 | 0,6 |
Модуляция | Нет | 3D-модуляция DoseRight 13: Dose Right Index = +2 | Нет | CARE Dose4D |
Напряжение на трубке, кВ | 100 | 100 | 110 | 140 |
Миллиампер-секунды, мАс | 20 | 95 | 15 | 52 |
Примечание. НДКТ — низкая доза облучения, СДКТ — стандартная доза облучения.
Рис. 1. Укладка фантомов и дозиметров: вид сверху (А) и сбоку (Б)
Исследование проведено в несколько этапов, сканирование при СДКТ выполнялось по алгоритмам гибридной итеративной реконструкции (ГИР) и МИР, при НДКТ — только по алгоритму МИР:
- исследование двух фантомов с двумя детекторами на томографе 1: протокол сканирования — СДКТ;
- затем исследование только фантома органов грудной клетки с двумя дозиметрами: протокол сканирования — СДКТ;
- исследование фантомов с двумя дозиметрами: протокол сканирования — НДКТ;
- затем исследование только фантома органов грудной клетки с двумя дозиметрами: протокол сканирования — НДКТ.
- исследование дозиметрического фантома (дозиметр Unfors Mult-O-Meter 601 и прибор комбинированный Testo 622, Unfors Instrument AB, Швеция) по стандартному и низкодозному протоколу сканирования;
- сравнение значений дозы облучения, полученных с дозиметров, дозиметрического фантома и датчиков компьютерного томографа;
- повторение условий эксперимента на томографе другого производителя (томограф 2) (см. табл. 1);
- сравнительный анализ полученных данных.
Полученные медицинские изображения отправляли на рабочую станцию для последующего анализа, который включал:
- визуальную оценку качества полученных изображений;
- оценку качества визуализации очагов;
- сравнение разрешающей способности компьютерных томограмм, полученных при сканировании по стандартному и низкодозовому протоколу с помощью модуля оценки пространственного разрешения калибровочного фантома, представляющего собой тонкие цилиндры из свинца различных диаметров. Оценка разрешающей способности проводилась путем выбора диаметра наименьших цилиндров, которые визуализировались как отдельные структуры;
- сравнение параметров шум (стандартное отклонение, или Standard Deviation, SD) и соотношения контраст–шум (contrast-to-noise ratio, CNR). Среднее значение SD измеряли путем помещения области интереса (region of interest, ROI) круглой формы площадью 1 см2 в центр трахеи над ее бифуркацией на трех последовательных срезах и вычислением среднего арифметического полученных значений.
Вычисление CNR выполнялось по формуле:
CNR = (HUаорта - HUтрахея) / SD,
где HUаорта — плотность крови в просвете аорты на уровне бифуркации трахеи, HUтрахея — плотность воздуха в просвете трахеи на уровне бифуркации.
Дозу облучения с компьютерного томографа (Dosetomograph, Dt) вычисляли путем умножения значения показателя Dose Length Product, DLP) на взвешивающий коэффициент для органов грудной клетки (coefficienttomograph, kt):
Dt = DLP × Kt .
Данные дозы облучения с индивидуальных дозиметров получены из сертифицированной лаборатории по методике учета измерений индивидуальных доз персонала. Данные с дозиметрического фантома получали по методике измерения индекса дозы КТ-CTDI.
РЕЗУЛЬТАТЫ
Основные результаты исследования
Среднее значение SD при НДКТ составило 21,6 и было выше, чем при СДКТ и МИР (11,5), но ниже, чем при СДКТ и ГИР (24,4). CNR при низкодозном сканировании составило 45,6 и было ниже, чем при СДКТ и МИР (85,47), но выше, чем при СДКТ и ГИР (40,6). Пространственное разрешение при НДКТ с МИР (диаметр наименьшего цилиндра 3 мм) было ниже по сравнению со стандартной КТ с ГИР и МИР (2 мм), однако оставалось удовлетворительным. Таким образом, качество КТ-изображения при применении МИР превосходит ГИР при разных уровнях лучевой нагрузки.
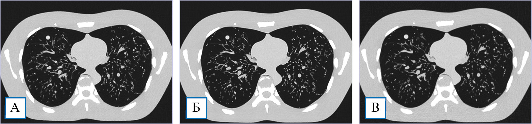
Визуальных различий качества изображения легочных структур нами не обнаружено (рис. 2). Заданные очаги были выявлены при всех методах реконструкций.
Рис. 2. Компьютерно-томографические изображения антропоморфного фантома в легочном окне: А — модельная итеративная реконструкция при низкой дозе облучения; Б — стандартная компьютерная томография с модельной итеративной реконструкцией; В — стандартная компьютерная томография с гибридной итеративной реконструкцией.
Полученные значения дозы облучения с датчиков томографа и дозиметров представлены в табл. 2. Доза облучения, полученная при сканировании фантома грудной клетки с томографа, была в 4 раза ниже при НДКТ в сравнении с СДКТ. Снижение дозы облучения в 4 раза было зарегистрировано также по данным индивидуальных дозиметров. Аналогичное снижение дозовой нагрузки в 4 раза было получено при сканировании 2 фантомов (см. табл. 2). По данным дозиметрического фантома было выявлено снижение дозы облучения на 90%.
Таблица 2
Дозы облучения*
Параметры | Томограф | |||
Томограф 1 | Томограф 2 | |||
Вид сканирования | НДКТ | СДКТ | НДКТ | СДКТ |
Сканирование фантома органов грудной клетки | ||||
Дозиметр на теле | 2,44 | 7,47 | 3,59 | 11,17 |
Дозиметр рядом с телом | 1,79 | 5,65 | 2,33 | 6,73 |
Данные томографа | 0,67 | 2,7 | 1,04 | 4,27 |
Данные дозиметрического фантома | 0,28 | 3,14 | 0,77 | 3,42 |
Сканирование двух фантомов | ||||
Дозиметр на теле | 2,73 | 8,76 | 4,37 | 14,76 |
Дозиметр рядом с телом | 1,93 | 6,27 | 2,66 | 5,84 |
Данные томографа | 1,15 | 4,75 | 0,92 | 5,6 |
Данные дозиметрического фантома | 0,48 | 5,38 | 1,31 | 5,87 |
Примечание. * Все дозы облучения приведены в мЗв. НДКТ — низкая доза облучения, СДКТ — стандартная доза облучения.
Повторение эксперимента на томографе другого производителя
Уровень шума (SD) при НДКТ и МИР (26,2) был сопоставимым с уровнем шума при СДКТ и МИР (27,9) и несколько ниже по сравнению со стандартной КТ и ГИР (32,6). CNR также было сопоставимо при НДКТ и КТ с СДКТ и МИР (37 и 34,8).
Пространственное разрешение при НДКТ и МИР (3 мм) было ниже по сравнению со стандартной КТ с ГИР и МИР (2 мм), однако оставалось удовлетворительным. Визуальных различий качества изображения легочных структур нами также не выявлено. Все очаги были обнаружены при всех методах реконструкций.
Снижение лучевой нагрузки сопоставимо с данными, полученными при сканировании на томографе 1. Доза облучения, полученная при сканировании фантома грудной клетки с томографа, была в 4 раза ниже при НДКТ, чем при стандартной КТ. Аналогичное снижение дозы облучения было получено при сканировании 2 фантомов. По данным индивидуальных дозиметров и дозиметрического фантома также выявлено снижение лучевой нагрузки более чем в 3 раза.
ОБСУЖДЕНИЕ
В ходе исследования мы планировали выяснить перспективы использования низкодозных протоколов КТ органов грудной клетки с применением модельных итеративных реконструкций для решения повседневных клинических задач. КТ-сканирование по стандартному и низкодозному протоколу продемонстрировало удовлетворительное качество изображений как визуально, так и по объективным критериям, таким как SD и CNR. Значения дозы облучения при НДКТ-протоколах были значительно ниже, что подтверждено не только данными компьютерного томографа, но и дозиметрами различных видов.
В эксперименте выявлены все очаги, находящиеся в антропоморфном фантоме как при СДКТ, так и НДКТ, при этом сохранялась удовлетворительная визуализация легочных структур.
Наши результаты сопоставимы с данными с M. Yanagawa и соавт. [5], которые на патологоанатомическом материале выявили, что КТ органов грудной клетки с технологией МИР позволяет снизить лучевую нагрузку на 80%, не искажая качество изображения. Сравнимые результаты по качеству визуализации очагов получены во многих исследованиях как на фантомах органов грудной клетки [6], так и на пациентах [7]. M. Zhang и соавт. [8] при сопоставимой в нашем исследовании дозой облучения (~0,7 мЗв) выявили все легочные очаги, обнаруженные при стандартной КТ. В то же время при низкодозовых протоколах с лучевой нагрузкой менее 1 мЗв и МИР C. Yan и соавт. [3] получили удовлетворительную визуализацию легочной патологии грибковой природы, а M. Debray и соавт. [9] подтвердили возможность выявления ранних осложнений после трансплантации легких.
Ограничения исследования
Исследование имело несколько ограничений. Во-первых, мы сканировали антропоморфный фантом среднего телосложения и не оценивали качество изображений при большой массе тела. Во-вторых, для оценки визуализации мы выбрали нормальные легочные структуры, такие как бронхи и сосуды, и легочные очаги. Мы не оценивали визуализацию другой патологии легких.
ЗАКЛЮЧЕНИЕ
Учитывая результаты проведенного эксперимента, применение технологии модельной итеративной реконструкции при компьютерной томографии органов грудной клетки позволит значительно снизить дозу облучения, не снижая качество КТ-изображений и не ухудшая качество визуализации нормальных структур и патологических изменений, что позволит применять ее в рутинной клинической практике.
About the authors
Антон Yu. Silin
Clinical Hospital on Yauza; Research and Practical Clinical Center for Diagnostics and Telemedicine Technologies of Moscow Health Care Departmen
Email: silin@yamed.ru
ORCID iD: 0000-0003-4952-2347
SPIN-code: 4411-8745
Radiologist of the Highest Qualification Category, Junior Researcher
Russian Federation, MoscowIvan S. Gruzdev
Research and Practical Clinical Center for Diagnostics and Telemedicine Technologies of Moscow Health Care Departmen
Author for correspondence.
Email: gruzdev_van@mail.ru
ORCID iD: 0000-0003-0781-9898
SPIN-code: 3350-0832
graduate student
Russian Federation, MoscowSergey P. Morozov
A.V. Vishnevsky National Medical Research Center of Surgery
Email: npcmr@zdrav.mos.ru
ORCID iD: 0000-0001-6545-6170
SPIN-code: 8542-1720
MD, PhD, Professor
Russian Federation, MoscowReferences
- McCunney RJ, Li J. Radiation risks in lung cancer screening programs: a comparison with nuclear industry workers and atomic bomb survivors. Chest. 2014;145(3):618–624. doi: 10.1378/chest.13-1420.
- Mehta D, Thompson R, Morton T, et al. Iterative model reconstruction: simultaneously lowered computed tomography radiation dose and improved image quality. Med Phys Int J. 2013;2(1):147–155.
- Yan C, Xu J, Liang C, et al. Radiation dose reduction by using ct with iterative model reconstruction in patients with pulmonary invasive fungal infection. Radiology. 2018;288(1):285–292. doi: 10.1148/radiol.2018172107.
- Katsura M, Sato J, Akahane M, et al. Effects of pure and hybrid iterative reconstruction algorithms on high-resolution computed tomography in the evaluation of interstitial lung disease. Eur J Radiol. 2017;93:243–251. doi: 10.1016/j.ejrad.2017.06.003.
- Yanagawa M, Gyobu T, Leung A, et al. Ultra-low-dose CT of the lung: effect of iterative reconstruction techniques on image quality. Acad Radiol. 2014;21(6):695–703. doi: 10.1016/j.acra.2014.01.023.
- Kim H, Park CM, Chae HD, et al. Impact of radiation dose and iterative reconstruction on pulmonary nodule measurements at chest CT: a phantom study. Diagn Interv Radiol. 2015;21(6):459–465. doi: 10.5152/dir.2015.14541.
- Ju YH, Lee G, Lee JW, et al. Ultra-low-dose lung screening CT with model-based iterative reconstruction: an assessment of image quality and lesion conspicuity. Acta Radiol. 2018;59(5):553–559. doi: 10.1177/0284185117726099.
- Zhang M, Qi W, Sun Y, et al. Screening for lung cancer using sub-millisievert chest CT with iterative reconstruction algorithm: image quality and nodule detectability. Br J Radiol. 2018;91(1090):20170658. doi: 10.1259/bjr.20170658.
- Debray MP, Dauriat G, Khalil A, et al. Diagnostic accuracy of low-mA chest CT reconstructed with Model Based Iterative Reconstruction in the detection of early pleuro-pulmonary complications following a lung transplantation. Eur Radiol. 2016;26(9):3138–3146. doi: 10.1007/s00330-015-4126-0.
Supplementary files





