Rapidly progressive course of nonspecific aortoarteritis: a clinical case
- Authors: Grushina M.V.1, Grekov I.S.1, Arkhypova K.D.1
 - 
							Affiliations: 
							
- M. Gorky Donetsk National Medical University
 
 - Issue: Vol 11, No 4 (2020)
 - Pages: 83-89
 - Section: Case reports
 - Submitted: 11.12.2020
 - Accepted: 23.01.2021
 - Published: 26.12.2020
 - URL: https://clinpractice.ru/clinpractice/article/view/54587
 - DOI: https://doi.org/10.17816/clinpract54587
 - ID: 54587
 
Cite item
Abstract
Background. Nonspecific aortoarteritis, or Takayasu’s disease, is one of the most complex and rare pathologies in modern clinical practice. It is the orphan nature of the disease, along with non-specific clinical manifestations, that causes a large number of clinical and diagnostic errors that lead to an unfavorable prognosis and early disability of patients. Despite the development of modern methods of treatment of nonspecific aortoarteritis, in some cases it is not possible to achieve a stable remission, which leads to a steady progression of the pathological process. Clinical case description. The article presents a case of a rapidly progressing course of Takayasu's disease in a young woman with multiple arterial vascular lesions that developed during the first year after the onset of arterial hypertension, while the narrowing of the carotid arteries (75–85%) was not accompanied by signs of cerebral ischemia. The follow-up period was 10 years. Conclusion. Given the peculiarities of this nosology, each identified case of Takayasu’s disease is of great clinical and practical interest. The disease peculiarity in thise patient is that during the first year from the onset of arterial hypertension, the main occlusive lesions of the aorta and arterial vessels were identified. At the same time, the narrowing of the carotid arteries (75–85%) was not accompanied by signs of cerebral ischemia. It should be noted that often the symptoms of non-specific aortoarteritis appear under the “masks” of other diseases, which requires a careful differential search. A correct diagnosis and timely treatment can prevent the development of complications and slow the progression of the disease.
Full Text
ОБОСНОВАНИЕ
На сегодняшний день диагностика некоторых системных заболеваний не составляет особых трудностей. Однако зачастую стертость клинической симптоматики и орфанность встречаемой патологии не позволяют своевременно поставить правильный клинический диагноз, что отражается на прогнозе жизни и успехе лечения таких больных. Неспецифический аортоартериит (син.: болезнь Такаясу, артериит Такаясу, болезнь отсутствия пульса) — хроническое гранулематозное воспаление аорты и ее крупных ветвей, реже ветвей легочных сосудов и коронарных артерий, приводящее к стенозированию и ишемическому повреждению соответствующих тканей [1, 2].
НЕСПЕЦИФИЧЕСКИЙ АОРТОАРТЕРИИТ
Эпидемиология
Частота заболевания варьирует от 1,2 до 2,6 случаев на 1 млн населения в год в зависимости от региона проживания и этнической группы. Так, среди азиатских пациентов заболеваемость артериитом Такаясу встречается в 10 раз чаще, чем среди других популяций. К сожалению, в Российской Федерации точные данные о распространенности аортоартериита отсутствуют, что не позволяет говорить об эпидемиологических особенностях данной патологии в нашем регионе [1]. Болезнь Такаясу развивается преимущественно у лиц молодого возраста: около 70% случаев приходится на пациентов в возрасте до 20 лет, до 30% случаев — у пациентов до 40 лет. В медицинской литературе также имеются сведения о диагностике неспецифического аортоартериита и в более позднем возрасте [1, 3]. Соотношение больных мужского и женского пола, по данным разных авторов, варьирует от 1:1,3 в Израиле до 1:6,9 в Мексике и 1:8 в Японии [2–4].
Патогенез и особенности клинического течения
До настоящего времени этиология заболевания остается невыясненной. Некоторые исследователи предполагают, что инициация патологического процесса провоцируется различными стрессовыми факторами, среди которых особое место отводится психоэмоциональному стрессу, беременности, хроническим и острым интоксикациям, а также перенесенными инфекционными заболеваниями. Следует отметить, что теории инфекционного триггера долгое время уделялось большое внимание. Так, по ссылкам на исследования S. Kinare, более 30% случаев поражения ветвей аорты встречались именно у больных туберкулезом [3, 5].
В последние десятилетия немаловажное значение придается различным генетическим факторам, в том числе обнаружению аллелей HLA: HLA-DHO, HLA-DR2, HLA-DR4,HLA-A10, HLA-B*52:01, HLA-B*67:01, HLAB/MICA, HLA-DQB1/DRB1, IL12B [3, 5]. Восприимчивость к артерииту Такаясу увеличивается у индивидуумов, имеющих полиморфизмы белка HLA-B с гистидином в положении 171 и фенилаланином в положении 67, а также при выявлении локуса FCGR2A/FCGR3A в первой хромосоме [1, 2, 6]. Однако наиболее убедительная теория патогенеза неспецифического аортоартериита принадлежит именно аутоиммунным механизмам. Об этом также свидетельствуют наличие циркулирующих иммунных комплексов в острую фазу болезни, антиаортальных антител в сыворотке крови и стенках сосудов, а также положительное влияние цитостатиков и глюкокортикостероидов на острые проявления заболевания [3, 5].
Воспалительный процесс поражает аорту и устья магистральных сосудов, отходящих от нее. Патоморфологически наблюдается панаортит с поражением всех слоев сосудистой стенки, главным образом медии, где развивается картина продуктивного воспаления. В самой сосудистой стенке происходит активация молекул клеточной адгезии и процессов неоваскуляризации. Клеточный инфильтрат представляет собой скопление CD4+Т-лимфоцитов, макрофагов, гигантских клеток, а также В-лимфоцитов. Кроме того, наблюдается осаждение иммунных комплексов в интиме и средней оболочке пораженных сосудов. В целом острая фаза патологического процесса характеризуется инфильтрацией мононуклеарных иммунных клеток в адвентицию и затем в среднюю оболочку, утолщению которой способствует пролиферация фибробластов. В хроническую фазу появляются заметные фибротические изменения. Следует также помнить, что повреждение интимы нередко способствует развитию аневризм и образованию пристеночных тромбов. Фибротические изменения сосудов приводят к полной или частичной окклюзии артерий [3, 5, 6].
Лечение
У большинства пациентов под влиянием соответствующей патогенетической терапии течение патологического процесса сменяется ремиссией. У 20% больных неспецифическим аортоартериитом наблюдается спонтанное выздоровление и прекращение усугубления сосудистых поражений. Однако у отдельных больных, несмотря на проводимое лечение, течение заболевания неуклонно прогрессирует, вовлекая в патологический процесс новые сосуды и усугубляя при этом тяжесть поражения уже альтерированных артерий [3].
Цель — продемонстрировать один из вариантов неуклонно прогрессирующего течения неспецифического артериита.
КЛИНИЧЕСКИЙ ПРИМЕР
О пациенте
Пациентка T, 32 года, поступила в отделение с жалобами на периодические кратковременные полуобморочные состояния, длящиеся до нескольких секунд, а также на появление одышки при ходьбе на 100 м, которая сопровождается болью за грудиной с иррадиацией в левую руку. Больную также беспокоили возникающая перемежающая хромота, снижение остроты зрения, частое повышение артериального давления (максимально до 200/100 мм рт. ст.) и общая слабость.
Анамнез заболевания. В марте 2009 г. больная отметила возникновение резкой головной боли. Бригада скорой помощи зарегистрировала повышение артериального давления до 180/100 мм рт. ст. При амбулаторном обследовании у кардиолога кроме повышенного артериального давления (200/140 мм рт.ст.) при аускультации был выслушан протодиастолический шум над аортой, отмечено значительное (до 38 мм/ч) повышение скорости оседания эритроцитов (СОЭ). По результатам эхокардиографического исследования выявлено расширение (до 4 см в диаметре) корня аорты за счет левого коронарного синуса с развитием умеренной недостаточности аортального клапана (++), при этом размеры полостей сердца и толщина миокарда не были изменены, сократимость миокарда была удовлетворительной (35%), фракция выброса — нормальной (63%). Больная консультирована кардиохирургом: выявлен шум в проекции брюшного отдела аорты и левой почечной артерии; над другими артериями шумы не выслушивались. Рекомендовано исследование брюшной аорты и почечных артерий.
В октябре 2010 г. выполнена мультиспиральная компьютерная томография грудного и брюшного отделов аорты, а также подвздошных артерий, по результатам которой от Th11 грудного до L3 поясничного позвонков выявлено неравномерное циркулярное утолщение стенки аорты (0,4–0,6 см) с неравномерным сужением просвета от 0,7 до 1,1 см; на уровне L3 позвонка отмечалось резкое сужение просвета аорты до 0,3–0,4 см (70–80%) протяженностью до 0,6 см, дистальнее просвет аорты составил 1,5 см. Почечные артерии отходят от аорты на уровне L2 позвонка. Непосредственно у устья просвета левой почечной артерии определятся сужение ее просвета до 70–80% на протяжении 0,2 см, далее визуализируется раннее ветвление почечной артерии (вариант развития), диаметр двух ее ветвей составляет 0,5 см.
Заключение. Изменения стенки аорты на уровне Th11–L3 позвонков с распространением на левую почечную артерию и сужением их просвета имеют воспалительный характер (рис. 1).
Рис. 1. Пациентка T, 32 года, с неуклонно прогрессирующим течением неспецифического аортоартериита: мультисрезовая компьютерная томография грудного и брюшного отделов аорты (3D-реконструкция)
Примечание. Неравномерное циркулярное утолщение стенки аорты с сужением ее просвета на уровне Th11–L3 позвонков (синяя стрелка). Участок резкого сужения просвета аорты на уровне L3 (красная стрелка).
Учитывая характер изменений брюшного отдела аорты и почечной артерии в сочетании с высокой артериальной гипертензией, признаками воспаления (СОЭ 45 мм/ч), больной был поставлен диагноз: «Неспецифический аортоартериит, болезнь Такаясу с поражением брюшного отдела аорты и левой почечной артерии, относительная недостаточность аортального клапана 2-й степени, вторичная артериальная гипертензия, хроническая сердечная недостаточность I стадии».
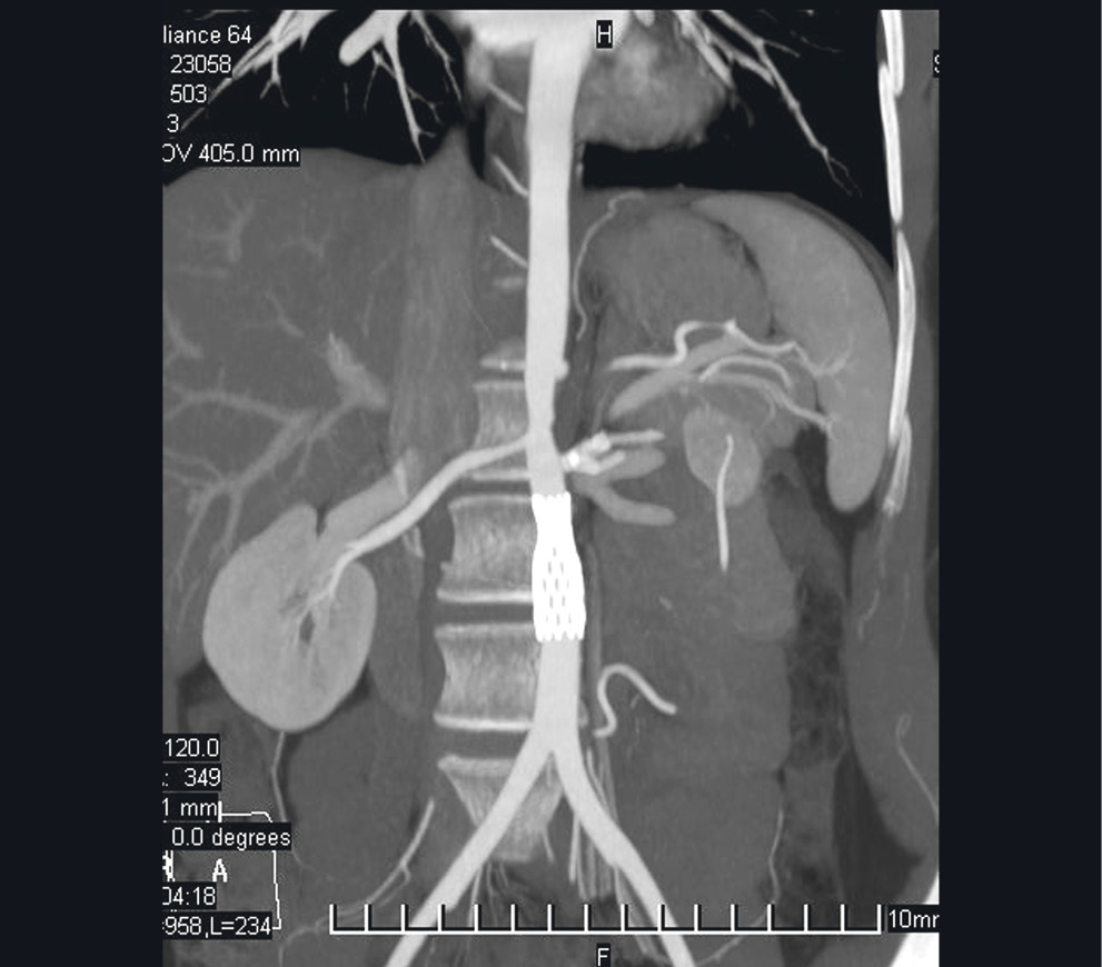
В ноябре 2010 г. в отделении кардиохирургии Донецкого клинического территориального медицинского объединения (ДОКТМО) было проведено оперативное вмешательство в объеме стентирования брюшного отдела аорты, бифуркационного стентирования почечных артерий слева (рис. 2, 3).
Рис. 2. Та же пациентка: мультисрезовая компьютерная томография грудного и брюшного отделов аорты (3D-реконструкция) после оперативного вмешательства
Примечание. Красная стрелка — стент брюшного отдела аорты; синяя стрелка — стент в почечной артерии.
Рис. 3. Та же пациентка: визуализация стентов при проведении компьютерной томографии
В послеоперационном периоде наблюдалось стойкое снижение артериального давления до 110/50 мм рт. ст. Пациентка была консультирована ревматологом и переведена в ревматологическое отделение ДОКТМО для дообследования и уточнения диагноза.
В ревматологическом отделении проведено допплерографическое исследование сосудов шеи (январь 2011 г.): выявлены эхопризнаки структурных изменений брахиоцефальных артерий по типу васкулита, стеноз общих сонных артерий справа (до 75%) и слева (85%), стеноз устья правой внутренней сонной артерии (до 50%), стеноз плечеголовного ствола (до 55%) и правой подключичной артерии. Диаметр правой подключичной артерии в месте отхождения от плечеголовного ствола — 0,5 см, скорость — 200 см/сек, в проксимальном отделе — 0,5–0,8 см и ~250 см/сек соответственно. Параметры позвоночных артерий в пределах нормальных значений.
В клиническом анализе крови наблюдались признаки умеренной анемии (гемоглобин 90 г/л, эритроциты 3,2 × 1012/л), повышение СОЭ до 45 мм/ч.
При повторной эхокардиографии, сохранялось расширение корня аорты за счет некоронарного и левого коронарного синуса; появились участки краевого уплотнения створок аортального клапана, неоднородность и минимальный фрагментарный прогиб сегмента передней створки митрального клапана с развитием умеренной недостаточности митрального клапана. Давление в легочной артерии 17 мм рт. ст.
Предварительный диагноз
Неспецифический аортоартериит, III тип, активность 3-й степени, хроническое течение с поражением сосудов крупного и среднего калибра (стеноз брюшного отдела аорты и почечных артерий, состояние после стентирования брюшного отдела аорты, почечных артерий слева в 2010 г.; стеноз сонных артерий справа и слева, стеноз плечеголовного ствола и правой подключичной артерии); недостаточность аортального клапана 2-й степени, вторичная артериальная гипертензия, хроническая сердечная недостаточность I стадии, функциональный класс II.
В отделении проводилась следующая терапия: метилпреднизолон в дозе 16 мг/сут, пентоксифиллин 600 мг/сут, периндоприл 5 мг/сут, амлодипин 5 мг/сут, бисопролол 5 мг, Кардиомагнил 75 мг/ сут, клопидогрел 75 мг/сут. Артериальное давление удерживалось на уровне 130/90 мм рт. ст. Пациентке было предложено оперативное вмешательство по поводу стенотического поражения сосудов шеи, от которого больная временно отказалась.
Однако через три года после оперативного вмешательства больная вновь почувствовала значительное ухудшение общего самочувствия: наросла общая слабость; появились боли в левой половине шеи, левой руке, межлопаточном пространстве. Кроме того, пациентка стала отмечать перебои в работе сердца, головокружение. Появилась тенденция к повышению артериального давления до 170/90 мм рт.ст.
В марте 2014 г. больная обратилась к ангиохирургу: в условиях отделения сосудистой хирургии была проведена аортография, по результатам которой выявлены окклюзия общей сонной артерии справа и слева, стеноз брахиоцефального ствола до 50–60%; стенты в инфраренальной аорте и левой почечной артерии проходимы удовлетворительно. Выполнено подключично-сонное шунтирование слева. Больная выписана из отделения в удовлетворительном состоянии с соответствующими рекомендациями. При контрольной ангиографии в декабре того же года выявлена окклюзия подключично-каротидного шунта. В декабре 2014 г. выполнено подключично-сонное протезирование справа синтетическим протезом.
В дальнейшем больная постоянно принимала рекомендованную терапию. Ежегодно проходила лечение в ревматологическом отделении. Ухудшение состояния отмечает последние 3 мес: усилилась одышка при физической нагрузке, которая сопровождается болью за грудиной с иррадиацией в левую руку.
Диагностические процедуры
Физикальная диагностика
Общее состояние больной удовлетворительное. Пациентка нормостенического телосложения, удовлетворительного питания (индекс массы тела 20,3). Лунообразное лицо. Кожные покровы и видимые слизистые оболочки умеренно бледные, чистые. Послеоперационные рубцы на шее, в области ключиц и на животе. Периферические лимфоузлы не увеличены. Щитовидная железа не пальпируется. Частота дыхательных движений 18/ мин. Над легкими перкуторно ясный легочный звук; аускультативно дыхание везикулярное ослабленное; дополнительные дыхательные хрипы и шумы не выслушиваются. Границы относительной тупости сердца: правая — по правому краю грудины, верхняя — III ребро, левая — на 1 см кнаружи от левой срединно-ключичной линии. Деятельность сердца ритмичная, частота сердечных сокращений 88 уд./ мин, на верхушке тоны сохранены. Определяется ослабление II тона над аортой и выслушивается протодиастолический шум в точке Боткина–Эрба. Также выслушивается шум над сонными артериями, брюшным отделом аорты и в проекции почечной артерии слева. Показатели артериального давления на правой руке 120/75 мм рт. ст., на левой — 140/80 мм рт. ст. Несколько ослаблена пульсация на правой лучевой артерии. Живот мягкий безболезненный, печень у края реберной дуги, почки и селезенка не пальпируются. Периферических отеков нет. Суставы внешне не изменены, движения в полном объеме.
Инструментальная и лабораторная диагностика
Данные дополнительных методов исследования. В анализе крови сохраняется легкая анемия (гемоглобин 95 г/л, эритроциты 3,3 × 1012/л), лейкоцитоз (10,9 × 109/л), СОЭ 11 мм/ч, лейкоцитарная формула без особенностей, гипохромия, умеренно выраженный анизоцитоз.
Почечные и печеночные пробы не изменены, С-реактивный белок положительный.
Электрокардиограмма (при поступлении): ритм синусовый, регулярный, частота сердечных сокращений 80 уд./мин, вертикальное положение электрической оси сердца. Сегмент ST-T на изолинии.
Эхокардиограмма: сохраняется аортальная недостаточность 2-й степени и локальная дилатация левого коронарного синуса; полости сердца не расширены, миокард не утолщен, сократимость удовлетворительная. Небольшая функциональная митральная и трикуспидальная регургитация.
Результаты ультразвуковой допплерографии брахиоцефальных артерий без отрицательной динамики: окклюзия подключично-сонного шунта слева от устья, справа — подключично-сонный протез, удовлетворительный кровоток. Подключичные артерии утолщены, уплотнены, стенки с признаками утраты дифференцировки на слои, сужение просвета на всем протяжении.
При допплерографии артерий верхних и нижних конечностей отмечается умеренное утолщение стенок артерий без нарушения кровотока.
Допплерография сосудов почек: выявлены значимые нарушения кровотока в бассейнах почечных артерий. Значительное повышение индекса резистентности на всех уровнях, повышение систолической скорости кровотока, преимущественно в основных стволах. Отмечается выраженная неравномерность, местами сужение диаметра основных стволов почечных артерий, брюшного отдела аорты.
Пациентка консультирована неврологом: диагностирована дисциркуляторная энцефалопатия с двусторонней рефлекторной пирамидной недостаточностью в конечностях, вестибулопатией.
Консультирована эндокринологом: гипоплазия щитовидной железы с узлообразованием, явлениями гипотиреоза, легкая форма (назначен Эутирокс по 25 мг/сут).
Окончательный диагноз
Неспецифический аортоартериит, III тип, активность 1-й степени, хроническое течение, с поражением сосудов крупного и среднего калибра (стеноз брюшного отдела аорты почечных артерий, состояние после стентирования брюшного отдела аорты, почечных артерий слева в 2010 г.; стеноз сонных артерий справа и слева, стеноз плечеголовного ствола и правой подключичной артерии, состояние после подключично-сонного шунтирования слева в марте 2014 г., подключично-сонного протезирования справа синтетическим протезом в декабре 2014 г.); недостаточность аортального клапана 2-й степени. Вторичная артериальная гипертензия, хроническая сердечная недостаточность I стадии, фракция выброса 60%, функциональный класс II.
Лечение и исходы
В отделении получала метилпреднизолон 6 мг/ сут, омепразол 20 мг/сут, небиволол 5 мг/ сут, амлодипин 5 мг/сут, клопидогрел 75 мг/сут, левотироксин натрия 25 мкг/сут, пентоксифиллин 600 мг/ сут, Вазапростан 1 амп. (20 мкг) внутривенно капельно № 10.
На фоне проведенной терапии уменьшились перемежающаяся хромота, слабость, головокружение, артериальное давление стабилизировалось — 130/80 мм рт. ст.
ОБСУЖДЕНИЕ
Различают четыре анатомических варианта (типа) поздних стадий неспецифического аортоартериита: I тип — изолированное поражение дуги аорты и отходящих от нее артерий; II тип — изолированное поражение грудного или брюшного отделов аорты и ее ветвей; III тип — сочетанное поражение дуги аорты и ее ветвей с изменениями в грудном или брюшном отделах аорты; IV тип — поражение легочной артерии и любого отдела аорты [3, 4].
Следует помнить, что диагностическая концепция неспецифического артериита базируется на комплексе основных и дополнительных методов исследования, анамнестических данных, а также результатах инструментальных и лабораторных методов исследования — данных ангиографии, компьютерной и магнитно-резонансной томографии. Наличие соответствующих ангиографических поражений, включающих дилатацию и/или окклюзию аорты и ее основных ветвей у лиц молодого возраста, даже при отсутствии каких-либо признаков воспалительного процесса, позволяет предположить у пациента неспецифический аортоартериит. Однако любой диагностический поиск требует проведения тщательной дифференциальной диагностики. В первую очередь следует исключать наличие других системных заболеваний соединительной ткани. Поражение магистральных сосудов аорты и сосудов конечностей требует исключения облитерирующего тромбангиита, болезни Бехчета, бактериальных аневризм, врожденных аномалий и сифилитического мезаортита. Вовлечение почечных артерий требует исключения атеросклеротического поражения и их фибромускулярной гиперплазии [3, 5].
Лечебная тактика в отношении таких больных включает базисную терапию стероидными препаратами с использованием персонализированного подхода. Консервативная терапия не исключает применение хирургических методов коррекции гемодинамически значимых стенозов пораженных артерий.
ЗАКЛЮЧЕНИЕ
Сложность диагностики неспецифического артериита заключается в отсутствии патогномоничных признаков и специфических методов исследования, позволяющих своевременно и правильно диагностировать патологический процесс. Зачастую симптомы такого заболевания выступают под «масками» других заболеваний, что требует проведения тщательного дифференциального поиска. В представленном нами клиническом случае описана болезнь Такаясу у женщины молодого возраста с множественным поражением артериальных сосудов и быстропрогрессирующим течением заболевания. Особенность заболевания у пациентки заключается в том, что в течение первого года от начала появления артериальной гипертензии были выявлены основные окклюзионные поражения аорты и артериальных сосудов, при этом сужение сонных артерий (75–85%) не сопровождалось признаками ишемии головного мозга. Правильная постановка диагноза и своевременно проведенное лечение помогло предотвратить развитие осложнений и замедлить прогрессирование заболевания.
Таким образом, каждый выявленный случай болезни Такаясу представляет собой большой клинический и практический интерес, а учитывая особенности самой нозологии, о неспецифическом аортоартериите следует говорить как о большой мультидисциплинарной проблеме, затрагивающей многие медико-социальные аспекты.
About the authors
Marina V. Grushina
M. Gorky Donetsk National Medical University
														Email: grushinamarina@inbox.ru
				                	ORCID iD: 0000-0003-3670-3376
				                																			                								
MD, PhD, Associate professor
Ukraine, DonetskIlya Sergeevich Grekov
M. Gorky Donetsk National Medical University
							Author for correspondence.
							Email: ilya.grekov.1998@gmail.com
				                	ORCID iD: 0000-0002-6140-5760
				                																			                								
6th year student
Ukraine, DonetskKseniya D. Arkhypova
M. Gorky Donetsk National Medical University
														Email: Ksena.LE@mail.ru
				                	ORCID iD: 0000-0002-5344-2561
				                																			                								
5th year student
Ukraine, DonetskReferences
- Мельник М.В., Шилов А.М., Уваровская Б.В., и др. К вопросу ранней диагностики болезни Такаясу (описание клинического случая) // Анестезиология и реаниматология. — 2014. — Т. 59. — № 6. — С. 52–56.[Mel’nik MV, Shilov AM, Uvarovskaya BV, et al. Early diagnosis of takayasu’s disease (clinical case report). Russian journal of anaesthesiology and reanimatology. 2014;59(6):52–56. (In Russ).]
 - Скворцова Э.Н., ЗлобинаТ.И., КалягинА.Н., идр. Многолетнее наблюдение больной с неспецифическим аортоартериитом // Сибирский медицинский журнал. — 2006. — Т. 62. — № 4. — С. 83–86. [Skvortsova ЕN, Zlobina TI, Kalyagin AN, et al. Long-term supervision of the patient with nonspecific aortoarteriitis. Siberian Medical Journal (Irkutsk). 2006; 62(4):83–86. (In Russ).]
 - Системные васкулиты в современной клинической практике /Под ред. А.И. Дядыка. — Донецк, 2013. — 248 с. [Sistemnye vaskulity v sovremennoi klinicheskoi praktike. Ed. by A.I. Dyadyka. Donetsk; 2013.248 р. (In Russ).]
 - Гончарова Н.С., Самохвалова М.В., Пахомов А.В., и др. Артериит Такаясу. Обзор литературы // Артериальная гипертензия. — 2013. — Т. 19. — № 6. — С. 478–486. [Goncharova NS, Samohvalova MV, Pahomov AV, et al. Takayasu arteritis: a review. Arterial Hypertension. 2013;19(6):478–486. (In Russ).] doi: 10.18705/1607-419X-2013-19-6-478-476.
 - Miller DV. The pathology of large-vessel vasculitides. Clin Exp Rheumatol. 2011;29:92–98.
 - Weyand CM. Medium- and large-vessel vasculitis. N Engl J Med. 2013;349:161–165.
 
Supplementary files
				
			
					
						
									





