Primary pulmonary meningioma — a rare lung tumor
- Authors: Baksiyan G.A.1, Zavialov A.A.1, Lishchuk S.V.1
-
Affiliations:
- State Research Center — Burnasyan Federal Medical Biophysical Center of Federal Medical Biological Agency
- Issue: Vol 15, No 4 (2024)
- Pages: 110-114
- Section: Case reports
- Submitted: 08.05.2024
- Accepted: 31.10.2024
- Published: 15.12.2024
- URL: https://clinpractice.ru/clinpractice/article/view/631794
- DOI: https://doi.org/10.17816/clinpract631794
- ID: 631794
Cite item
Abstract
BACKGROUND: Primary pulmonary meningioma is a rare and clinically non-diagnosable tumor. Foreign literature describes not more than 70 cases of this disease. The tumor represents a single solid node, not having any specific features, which does not allow for setting the clinical diagnosis before the pathologic examination. The disease has various occurrence rates both among women and men. The diagnosis is to be set based on the morphological examination of the surgical material with small dimensions of the tumor (or biopsy samples for cases of large tumor). CLINICAL CASE DESCRIPTION: The patient А. (54 years of age) with a history of combined treatment 9 years ago due to being diagnosed with рТ2аN1М0, stage IIIB cervical cancer. According to the results from the computed tomography of the chest cavity organs, in segments S8/9 of the lower lobe of the right lung, the findings included a subpleural solid mass lesion with the size of 14×11 mm. According to data from further examinations (computed tomography of the chest cavity organs, of the abdominal cavity and of the minor pelvis; magnetic resonance tomography of the brain; esophagogastroduodenoscopy; colonoscopy), no other abnormalities were detected. Surgical treatment was arranged at the extent of thoracoscopic atypical resection of the lower lobe of the right lung. Anatomic pathology examination report on the resected tumor indicates the presence of “Pulmonary meningioma”. CONCLUSION: This clinical case represents the first documented experience of surgical resection of primary pulmonary meningioma in Russia.
Full Text
BACKGROUND
The first case of pulmonary meningioma was described by P.Kemnitz et al. in 1982 [1]. Meningiomas are the most commonly occurring primary tumors of the central nervous system (more than 1/3) [2]. In extremely rare cases (not more than 2%), primary meningioma can be found in the extracranial and extraspinal organs [3]. Malignant forms of primary pulmonary meningioma can also develop, with the exception of pulmonary metastases in cases of atypical meningiomas of the brain [4]. The numbers of primary malignant pulmonary cases do not exceed 10% of all the pulmonary locations for this tumor [5].
The English-speaking literature sources reviewed for the period of the last forty years reveal 70 cases of primary pulmonary meningioma [6], while the Russian literature sources do not contain a single clinical case of this rare tumor until the present moment [7]. Our article reflects the first experience of surgical treatment of primary pulmonary meningioma in Russia.
The majority of primary pulmonary meningioma cases show an asymptomatical course, being detected accidentally during radiology examination as an isolated solid node with relatively small dimensions (the mean diameter is 2 cm). Very rare are the cases when the tumor dimensions exceed 5 cm [8]. The largest ever described primary pulmonary meningioma was measuring 9.5×8.4×5.3 cm — presented in the research work by Chinese surgeons [9].
CLINICAL CASE DESCRIPTION
Patient’s info
Patient А., (F) aged 54 years. Past medical history (9 years ago) of combined treatment of cervical cancer (рТ2аN1М0, stage IIIB). During the process of dynamic follow-up (during scheduled examination), according to data from computed tomography of the chest cavity organs, a solid mass lesion was found in the lower lobe of the right lung. On admission to the in-patient department, the patient had no complaints.
Physical, laboratory and instrumental diagnosis
Upon scheduled out-patient radiology examination, in the lower lobe of the right lung, the findings included a single hyperdense focal mass, due to which, the patient was referred to the in-patient department for comprehensive examination and further surgical treatment.
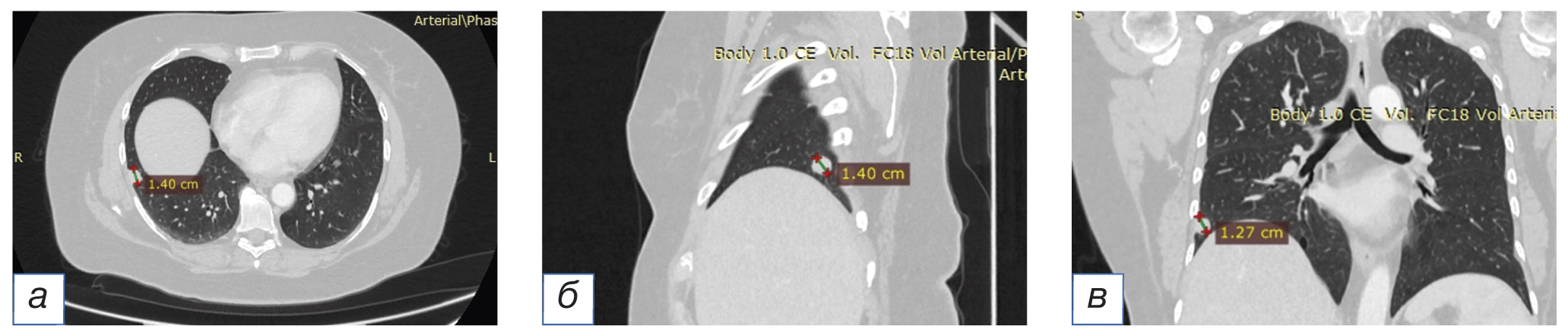
Computed tomography of the chest cavity organs with contrasting (Fig. 1): in segments S8/9 of lower lobe of the right lung, there is a subpleural solid mass (in the lower lobe of the right lung) with the dimensions of 14×11 mm.
Fig. 1. Computed tomography of the chest cavity organs: solid solitary focus in the lower lobe of the right lung for axial (а), sagittal (b) and frontal (c) projections.
According to data from pre-operational examinations (computed tomography of the abdominal cavity and of the minor pelvis with intravenous contrasting; magnetic resonance tomography of the brain; esophagogastroscopy; colonoscopy; consultation by an oncologist-gynecologist), no other abnormalities were detected.
Diagnosis
Based on the findings from the pre-operational examination and on the data from computed tomography of the chest cavity organs, the diagnosis set was the following: “Peripheral mass of unknown etiology in the lower lobe of the right lung”.
Treatment
Taking into consideration the solitary type of tumor, as well as the absence of other tumor-related diseases, including the absence of data confirming the progression of cervical cancer, a thoracoscopic atypical resection of the lower lobe of the right lung was carried out.
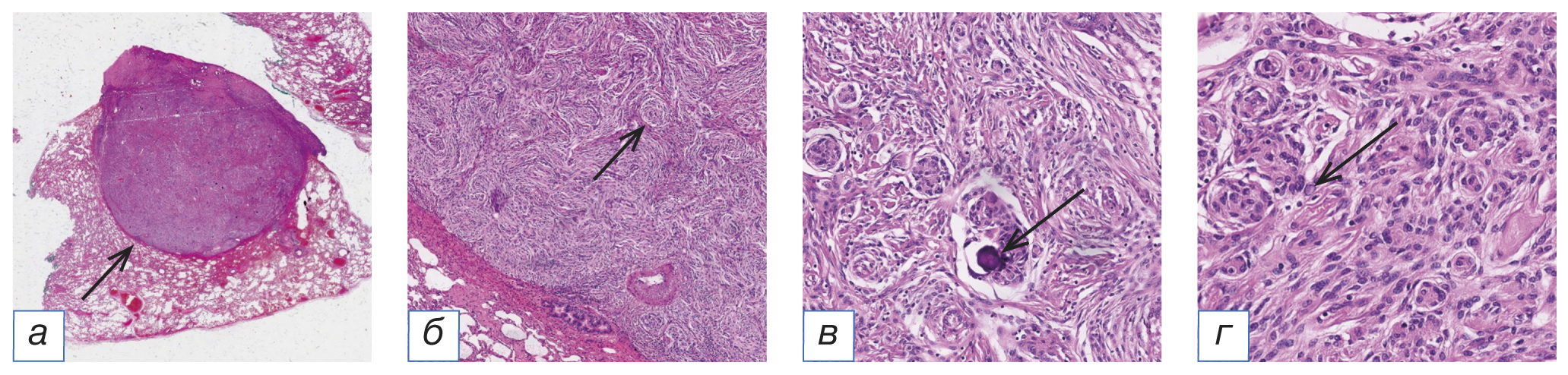
Pathohistological examination of the surgical material: a fragment of the lung (Fig. 2): subpleurally, but with the involvement of the visceral pleura, there are signs of growth of unclearly contoured tumor with lobular locular and concentric structures, with circular growth patterns, containing cells of polygonal shape, weakly eosinophilic dust-like cytoplasm and oval moderately polymorphous nuclei with lumpy chromatin and small nucleoli, with nuclear inclusions and with no visible mitotic activity. Other findings include calcification foci and psammoma bodies (see Fig. 2,в). The tumor structures contain trackable intact (flattened) small bronchioles. No perineural or lymphovascular invasion was detected. The visceral resection margin is intact. Maximal tumor size — 1.3 cm.
Fig. 2. Pathohistological examination of the lung fragment, staining with hematoxylin-eosin: а (×40) — subpleural clearly contoured node (arrow); b (×100) — circular growth pattern and concentric structures (arrow); c (×400) — psammoma bodies (arrow); d (×400) — characteristic nuclear inclusions (arrow).
Differential diagnosis
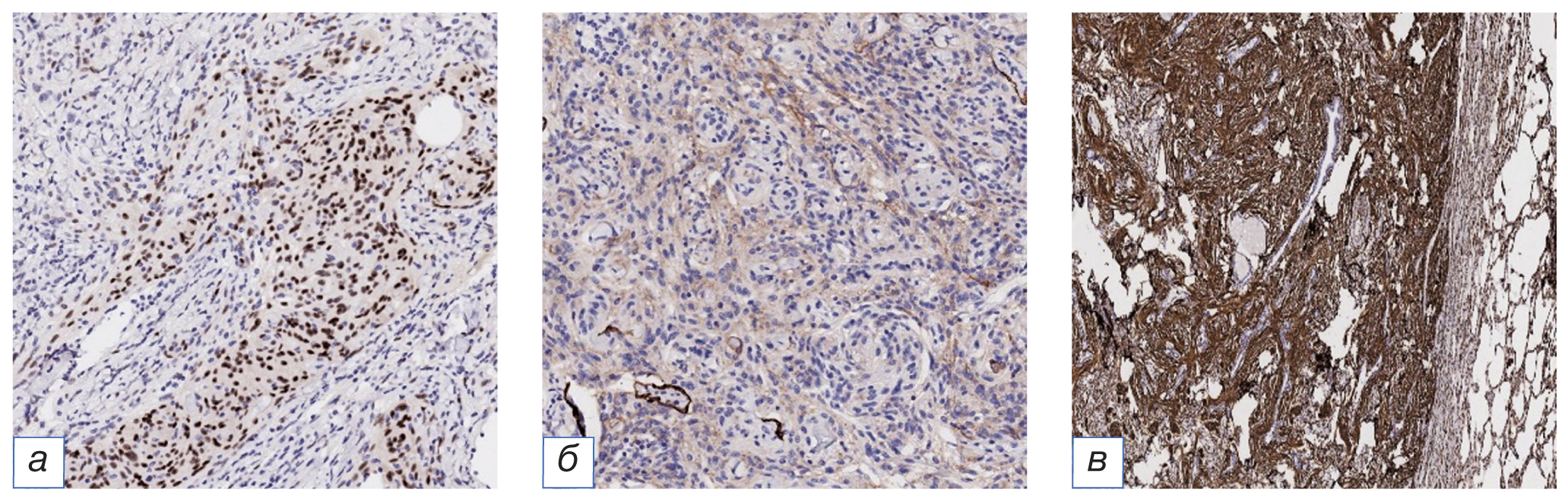
For the purpose of differential diagnosis with squamous cell cancer and solitary fibrous tumor of the pleura, further immunohistochemical examination was performed (Fig. 3): the tumor cells express the following markers: focal significant nuclear expression of progesterone receptors (PR), focal membranous expression of epithelial membrane antigen (EMA), significant expression of vimentin with complete absence of keratin expression (data not provided). No expression was detected for р63 and STAT6 (data not provided).
Fig. 3. Immunohistochemical examination using the antibodies: а (×200) — to progesterone (PR), nuclear expression; b (×200) — to epithelial membrane antigen (ЕМА), membrane expression; c (×200) — to vimentin.
Thus, the morphological pattern and the immunophenotype confirm the diagnosis of primary pulmonary meningioma (WHO Grade1, similar to meningotheliomatious meningioma).
Outcome and prognosis
The postoperative period was smooth. The female patient was discharged on day 4 after surgery. The control examinations after 3 months did not reveal any abnormalities. The prognosis is favorable.
DISCUSSION
From the moment of the first publication in 1982, only 70 cases of primary pulmonary meningioma were described. All the articles on this rare tumor were published by foreign authors in the international journals. The article brought to your attention and describing the clinical case of operated primary pulmonary meningioma in a female patient aged 54, is the 71st documented clinical example in the world practice and the first ever described in the Russian scientific medical literature.
The extremely low occurrence rate of primary pulmonary meningioma, the relatively small dimensions of the disease focus in the lung, as well as the absence of any specific features allowing for differentiating this neoplasm from other pulmonary neoplasms — all of these preclude the possibility of precise diagnosing this disease (in case the biopsy was not performed). In all the clinical cases, the tumor itself is occasionally identified upon the anatomic pathology examination of the surgical or biopsy material.
CONCLUSION
The presented clinical case is the first ever documented experience of surgical resection of rare and clinically non-diagnosable tumor (primary pulmonary meningioma) in Russia. The differential diagnosis of primary pulmonary meningioma shall include with a number of other solid lesions located in the pulmonary tissues, including both the malignant (initial lung cancer or secondary foci) tumors and the foci of benign origin.
ADDITIONAL INFORMATION
Funding source. This study was not supported by any external sources of funding.
Competing interests. The authors declare that they have no competing interests.
Authors’ contribution. G.A. Baksiyan— patient treatment, manuscript writing; A.A. Zavialov— patient treatment, approval of the concept and design of the study, editing; S.V. Lishchuk — performing morphological and immunohistochemical studies with preparation of relevant photographic material. All authors made a substantial contribution to the conception of the work, acquisition, analysis, interpretation of data for the work, drafting and revising the work, final approval of the version to be published and agree to be accountable for all aspects of the work.
Consent for publication. Voluntary written informed consent was obtained from the patient for publication of his images for scientific purpose in the medical journal “Journal of Clinical Practice”, including its electronic version (date of signing 10.04.2024).
About the authors
Galust A. Baksiyan
State Research Center — Burnasyan Federal Medical Biophysical Center of Federal Medical Biological Agency
Author for correspondence.
Email: galust_1983@mail.ru
ORCID iD: 0000-0002-1367-4878
SPIN-code: 3134-9256
Russian Federation, Moscow
Alexander A. Zavialov
State Research Center — Burnasyan Federal Medical Biophysical Center of Federal Medical Biological Agency
Email: azav06@mail.ru
ORCID iD: 0000-0002-9918-0851
SPIN-code: 5087-2394
MD, PhD
Russian Federation, MoscowSergey V. Lishchuk
State Research Center — Burnasyan Federal Medical Biophysical Center of Federal Medical Biological Agency
Email: slishuk@fmbcfmba.ru
ORCID iD: 0000-0003-0372-5886
SPIN-code: 7171-5402
MD, PhD
Russian Federation, MoscowReferences
- Kemnitz P, Spormann H, Heinrich P. Meningioma of lung: First report with light and electron microscopic findings. Ultrastruct Pathol. 1982;3(4):359–365. doi: 10.3109/01913128209018558
- Buerki RA, Horbinski CM, Kruser T, et al. An overview of meningiomas. Future Oncol (London, England). 2018;14(21): 2161–2177. doi: 10.2217/fon-2018-0006
- Rushing EJ, Bouffard JP, McCall S, et al. Primary extracranial meningiomas: An analysis of 146 cases. Head Neck Pathol. 2009;3(2):116–130. doi: 10.1007/s12105-009-0118-1
- Carillio G, Lavecchia AM, Misuraca D. Extracerebral anaplastic meningioma. Clin Case Rep. 2023;11(8):e7763. doi: 10.1002/ccr3.7763
- Cimini A, Ricci F, Pugliese L, et al. A patient with a benign and a malignant primary pulmonary meningioma: An evaluation with 18f fluorodeoxyglucose positron emission tomography/computed tomography and computed tomography with iodinated contrast. Indian J Nucl Med. 2019;34(1):45–47. doi: 10.4103/ijnm.IJNM_101_18
- Hsu CC, Tsai YM, Yang SF, Hsu JS. Primary pulmonary meningioma. Kaohsiung J Med Sci. 2023;39(11):1155–1156. doi: 10.1002/kjm2.12754
- Деркач А.Ю., Барлыбаева С.Р., Гринберг Л.М. Первичная менингиома легких: обзор литературы // Актуальные вопросы современной медицинской науки и здравоохранения: материалы VI Международной научно-практической конференции молодых ученых и студентов, посвященной Году науки и технологий, Екатеринбург, 8–9 апреля. В 3 томах. Т. 1. Екатеринбург, 2021. С. 1236–1242. [Derkach AYu, Barlybaeva SR, Grinberg LM. Primary pulmonary meningioma: Review of the literature. In: Current issues of modern medical science and healthcare: Materials of the VI International Scientific and Practical Conference of Young Scientists and Students, dedicated to the Year of science and technology, Ekaterinburg, April 8–9. Vol. 1. Ekaterinburg; 2021. P. 1236–1242]. EDN: BWLAFW
- Zhang DB, Chen T. Primary pulmonary meningioma: A case report and review of the literature. World J Clin Case. 2022;10(13):4196–4206. doi: 10.12998/wjcc.v10.i13.4196
- Feng Y, Wang P, Liu Y, Dai W. PET/CT imaging of giant primary pulmonary meningioma: A case report and literature review. J Cardiothorac Surg. 2023;18(1):171. doi: 10.1186/s13019-023-02276-4
Supplementary files






