Acute macular neuroretinopathy: clinical cases
- Authors: Zhazybaev R.S.1, Sorokin E.L.1,2, Zhirov A.L.1,2, Danilov O.V.1,2
-
Affiliations:
- The Khabarovsk Branch the S. Fyodorov Eye Microsurgery Federal State Institution
- Far-Eastern State Medical University
- Issue: Vol 16, No 1 (2025)
- Pages: 112-120
- Section: Case reports
- Submitted: 16.07.2024
- Accepted: 10.03.2025
- Published: 30.04.2025
- URL: https://clinpractice.ru/clinpractice/article/view/634366
- DOI: https://doi.org/10.17816/clinpract634366
- ID: 634366
Cite item
Abstract
BACKGROUND: Acute macular neuroretinopathy is a rare disease of the central retinal zone. CLINICAL CASES DESCRIPTION: The first clinical case represents a male patient aged 47 years with the complaints of a decreased vision acuity and developing a spot in the vision fields of the left eye. He was treated at the ophthalmology clinic due to acute central serous chorioretinopathy with no effect. At the moment of examination, his vision acuity in the left eye was 1.0, with the anterior segment showing no abnormalities, the ophthalmoscopy has not revealed any changes. According to the data from the optical coherence tomography of the macular zone, the findings included the changes in the reflectivity at the level of the external plexiform and the external nuclear layers. The diagnosis set was «Acute macular neuroretinopathy in the left eye», the recommendations included dynamic follow-up. The second description is a case of female patient aged 39 years, undergoing dynamic checkups due to the operated squamous carcinoma in the lower orbital wall on the right side and in the maxilla, s/p radiation therapy. The patient had no vision-related complaints, but the ophthalmoscopy of the right eye (at the macular zone para- and perifoveally) has revealed three «cotton-wool-like» exudates. According to the data from the optical coherence tomography, in the right eye, there were foci of hyperreflectivity at the level of the neural layer of retinal fibers along with the corresponding «cotton-wool-like» exudates, as well as juxtafoveally at the level of the external nuclear layer, which is characteristic for acute macular neuroretinopathy. CONCLUSION: The first clinical case shows the importance of multimodal diagnostics in cases of complaints of a decreased vision acuity and spots in the vision fields, despite the high acuity of central vision. The second clinical case demonstrates that radiation therapy, conducted in the areas adjacent to the eyeball, is capable of resulting in an impaired circulation in the capillary plexuses of the retina, including the superficial vascular complex and in the deep capillary plexus with the development of ischemic retinal manifestations.
Full Text
BACKGROUND
One of the relatively recently discovered retinal diseases is the acute macular neuroretinopathy, the description of which was provided by P.J. Bos and A.F. Deutman in 1975 [1]. The modern name was proposed by S. Yeh et al. in 2011 [2]. Acute macular neuroretinopathy manifests by the development of single or multiple dark-reddish, wedge-shaped or drop-shaped foci in the macular zone of the retina with a background of complaints of veiling of vision, distortion and deformation of the visual perception of objects along with developing dark spots in the vision fields [3, 4]. The disease more often manifests in younger women, developing in a background of viral diseases of the airways, after episodes of stress, after an intake of oral contraceptive pills and in cases of previous trauma or systemic shock [5, 6]. Beginning from 2020, a growth has been observed in the number of cases of developing acute macular neuroretinopathy, which can be related to the Pandemic of the novel coronaviral infection (COVID-19) [7].
Several theories exist on the pathogenesis of acute macular neuroretinopathy, however, the main one supposes the formation of retinal ischemia at the level of the deep capillary plexus of the retina due to the primary vascular insufficiency or as a result of inflammation, causing the occlusion of small retinal vessels [5, 8].
For establishing the diagnosis of acute macular neuroretinopathy, besides standard ophthalmology examination, including visometry, biomicroscopy and ophthalmoscopy, it is necessary to arrange an obligatory optical coherence tomography (OCT) of the macular zone of retina. According to the data from various investigators, there are several OCT-patterns of retinal impairment in case of acute macular neuroretinopathy: the abnormalities can be localized either at the level of photoreceptor segments coupling or within the “external nuclear layer — external plexiform layer” complex, or even at the level of the external limiting membrane, the internal contour of the pigmented retinal epithelium [9–11]. When examining the fields of vision using the computed static perimetry with the threshold detection software, scotomas can be found in the central or paracentral vision fields. Fluorescent angiography usually does not detect any changes, the indocyanine green angiography in a number of cases demonstrates areas of focal parafoveal hypofluorescence [12].
The differential diagnostics of acute macular neuroretinopathy shall include a wide range of retinal impairments: the acute posterior multifocal placoid pigment epitheliopathy, the acute retinal pigment epitheliitis, the central serous chorioretinopathy etc. [13, 14]. In the vast majority of cases, acute macular neuroretinopathy has a favorable prognosis in terms of restoring the vision, for it resolves spontaneously, not requiring special therapy [15].
In the research work, two different clinical cases of acute macular neuroretinopathy were demonstrated, each one being diagnosed by means of multimodal diagnostics methods.
DESCRIPTION OF THE CASES
Clinical observation 1
Patient info. The patient G., 47 years old male, in January 2023 has presented with the complaints of a decreased vision acuity and developing a spot in the vision fields of his left eye. According to oral information provided by the patient, the spot has appeared approximately 2.5 months ago (from November 2022), with the complaints not being related by the patient to anything. Due to this, in November-December 2022 he was receiving an in-patient treatment in one of the ophthalmology clinics of Khabarovsk city, where, besides standard ophthalmology examination, he underwent OCT of the macular zone of the retina in the left eye. In the same clinic, he was diagnosed with «Acute central serous chorioretinopathy of the left eye». However, according to the data from OCT of the macula in the left eye, signs of acute central serous retinopathy at the moment of hospitalization were not found (Fig. 1).
Fig. 1. A photo of the optical coherence tomography protocol of the macular zone of the retina in the left eye: no data confirming the presence of acute central serous chorioretinopathy.
The conducted treatment, namely the parabulbar injections of 12.5% Etamsylate solution (0.5 ml, No. 10), intravenous bolus infusions of 12.5% Etamsylate solution (No. 10), the intravenous push of 5.0% ascorbic acid solution (5.0 ml, No. 10), the intramuscular injections of vitamin В12 (1.0 ml, No. 10) and the orally administered 25 mg of Chloropyramine before going to bed (No. 10) did not provide any effect: the vision did not improve, the spot in the central field of vision did not resolve.
Ophthalmology status. At the moment of examination: the right eye shows no abnormalities, the vision acuity is 1.0; the vision acuity in the left eye is 1.0. Upon external visual examination of the left eye, the appendages of the eye are unremarkable. The palpebral fissure is of usual shape. Biomicroscopic findings: no signs of inflammation or irritation, the cornea is transparent, the anterior chamber is of medium depth, homogeneous, the aqueous humour is transparent, the iris is structurally intact, the pupil has a correct shape (round), active photoreaction is present, other findings include an induration of the eye lens nucleus, the vitreous body is transparent. Upon ophthalmoscopy: the optic nerve disc is pale-pink, contoured, the neuroretinal rim is unremarkable, the macular zone and the peripheral areas show no signs of abnormalities (Fig. 2).
Fig. 2. Photo of the fundus of the left eye (Solix Optovuе device, USA, Fundus Photo): no pathology.
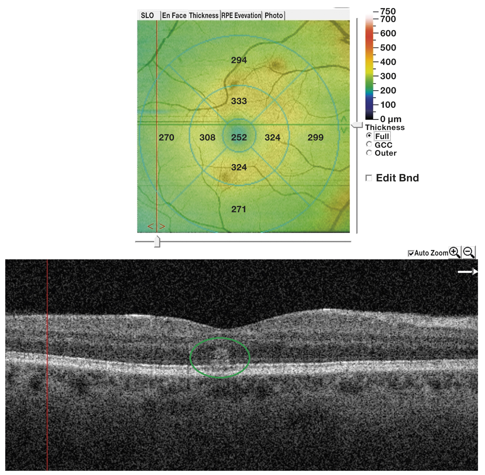
Fig. 3. Optical coherence tomography of the retina (Solix Optovuе device, USA, Macula Cube protocol): top — En Face image, bottom — transverse scan. Para- and perifoveally, mainly on the nasal side, changes at the level of the outer plexiform and outer nuclear layers (green oval). IPL — inner plexiform layer.
Instrumental diagnostics. Taking into consideration the absence of clear and ophthalmoscopically detectable abnormalities in left eye, which could deteriorate the vision, OCT of the macular zone of the left eye was carried out (equipment: Solix Optovuе, USA, Macula Cube protocol): the findings included pathological changes expressed as the para- and perifoveally located reflectivity abnormalities at the level of the external plexiform and external nuclear layers, predominantly on the nasal side (Fig. 3). According to the data from fundus-microperimetry of the left eye, a diffuse decrease of light-sensitivity was found — up to 22.5 dB (fundus-microperimetry equipment — MAIA, iCare, Finland, strategy 4-2). The right eye shows no abnormalities — 28.2 dB (Fig. 4, 5).
Fig. 4. Fundus microperimetry of the left eye (MAIA fundus microperimeter, iCare, Finland, threshold strategy 4-2): reduction of the average threshold of light sensitivity.
Fig. 5. Fundus microperimetry of the right eye (MAIA fundus microperimeter, iCare, Finland, threshold strategy 4-2): the average threshold of light sensitivity is within normal limits.
Diagnosis. Based on the disease history data (developing a spot in the field of vision 2.5 months ago), the data from the OCT of the macular zone of retina, the decreased microperimetry values in the left eye, the diagnosis set was the «Acute macular neuroretinopathy in the left eye».
Prognosis and recommendations. Taking into consideration the favorable prognosis of the disease, the patient has received recommendations on undergoing dynamic checkups with controlling the status of the macula by means of OCT control every 6 months. No further follow-up was arranged for the patient, for he did not visit us to undergo the control examinations.
Clinical example 2
Patient info. Female patient К., aged 39 years, has presented in May 2023 for the purpose of undergoing a scheduled medical checkup due to being previously operated for the reason of having a squamous carcinoma in the lower orbital wall on the right side and in the maxilla with a status post radiation therapy. She had no active complaints. In 2020 (within the premises of our clinic), she underwent a resection of the malignant tumor located in the lower-medial wall of the right orbit with the destruction of the lacrimal bone and partially — of the frontal process of maxilla (squamous carcinoma). In 2021, within the premises of the National Medical Research Center of Oncology named after N.N. Blokhin (Moscow), a medial resection of maxilla was carried out with the exenteration of the ethmoid labyrinth cells, with a defect plastics using the dermal-muscle flap. In the same year, at the Regional Clinical Oncology Center (Khabarovsk), the patient was receiving external beam radiotherapy applied to the area of the right orbit. According to the data from discharge epicrises, in 2021 in her right eye she had a vision acuity of 0.3, when corrected — sph-0.50 cyl-0.75 ax102 = 1.0.
Fig. 6. Photo of the fundus of the right eye (Solix Optovuе device, USA, Fundus Photo): “cotton wool” exudates are visualized para- and perifoveally (green arrows).
Ophthalmology status. At the moment of examination, the vision acuity in the right eye is 0.3, sph-0.5 cyl-0.75 ax105 = 0.5. Upon the external visual examination, there are deformations in the skin of the internal third of the lower eyelid with the formation of fistula (connected to the maxillary sinus), with a retraction of the lower eyelid, predominantly in its internal third, the eyelid closure is complete. Upon biomicroscopy: the right eye has no signs of irritation or inflammation, the cornea is transparent, the anterior chamber is of medium depth, the aqueous humour is transparent, the iris is structurally unremarkable, the pupil has a correct shape, active photoreaction is present, the eye lens is transparent, moderate destruction was found in the vitreous body. Upon ophthalmoscopy: the optic nerve disc is pale-pink, contoured, the neuroretinal rim is unremarkable, the retinal arteries and veins show no abnormalities, in the macular zone, the para- and perifoveal findings include three “cotton-wool-like” exudates (Fig. 6). The left eye shows no abnormalities: the vision acuity is 0.4, when corrected — cyl-1.5 ax11 = 1.0.
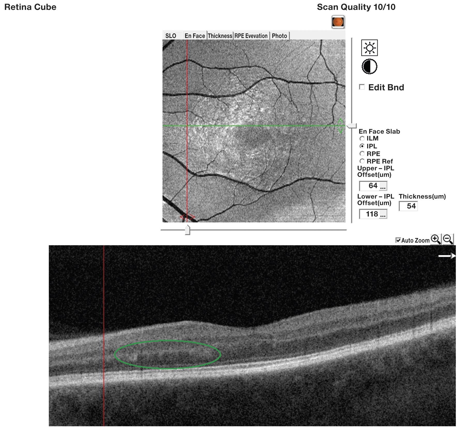
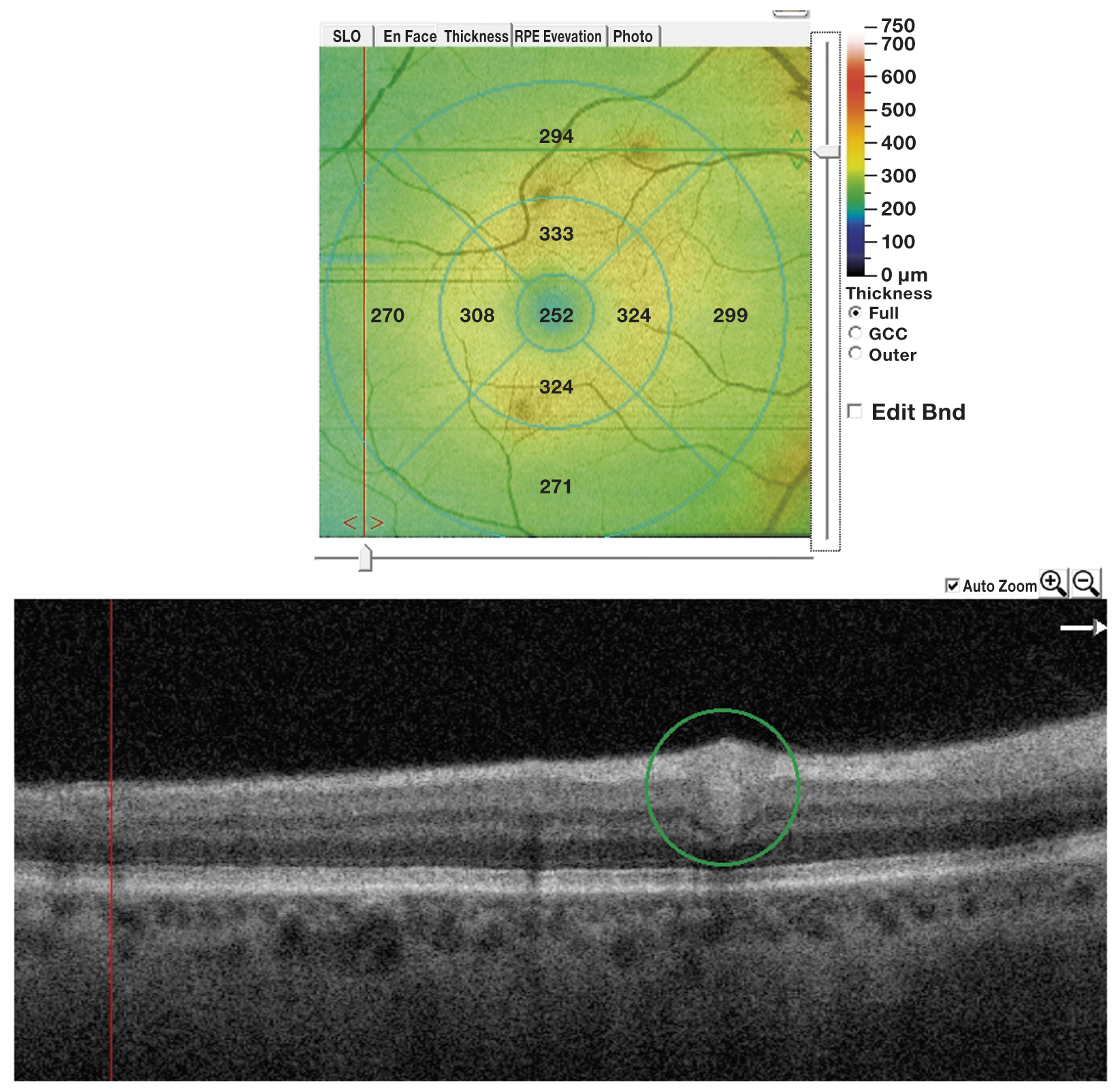
Instrumental diagnostics. Taking into consideration the decreased vision acuity in the right eye, the presence of signs of retinal ischemia in the superficial vascular plexus, expressed as the developing “cotton-wool-like” exudates, the OCT procedure of the macular zone of the right eye was carried out (equipment: Solix Optovuе, USA, Macula Cube protocol): the detected findings included foci of hyperreflectivity with the location at the level of the retinal nerve fiber layer, located para- and perifoveally, the corresponding “cotton-wool-like” exudates, as well as juxtafoveally at the level of the external nuclear layer (Fig. 7, 8).
Fig. 7. Optical coherence tomography of the retina, scanned through a cotton wool exudate (Solix Optovuе device, USA, Macula Cube protocol): thickness map at the top, transverse scan at the bottom. The hyperreflectivity area at the level of the retinal nerve fiber layer is visualized (green oval).
Fig. 8. Optical coherence tomography of the retina (Solix Optovuе device, USA, Macula Cube protocol): juxtafoveally at 12 o'clock on a conventional clock face, an area of hyperreflectivity is visualized at the level of the outer nuclear layer of the retina (green oval).
Diagnosis. Based on the obtained data, a conclusion was drawn that the reason of decreased vision in the right eye was the impaired blood perfusion at the level of the deep capillary retinal plexus, which indicates the presence of acute macular neuroretinopathy.
Prognosis and recommendations. The female patient has received the recommendations of undergoing periodic checkups by the ophthalmologist with dynamic OCT control of the macula in the right eye every 6 months. The female patient did not come to undergo the control examination.
DISCUSSION
Acute macular neuroretinopathy is one of the four macular ischemic syndromes (infarction of the nerve fiber layer, the disorganization of the inner retinal layers, the paracentral acute middle maculopathy and, particularly, the acute macular neuroretinopathy). This disease is characterized by impaired circulation at the level of the deep capillary retinal plexus. Despite the presence of modern examination methods, such as OCT, including the angiography function, allowing for a detailed evaluation of the retinal structure at the micron level, the manifestations of acute macular neuroretinopathy often remain undetected. The potential reasons for this can be the relatively expressionless manifestation of retinal ischemia, especially in its outcome stage, as well as the low awareness of the ophthalmologists in terms of the possible presence of this disease, due to which we decided to share our own experience in the diagnostics of acute macular neuroretinopathy.
The first clinical case has shown that, in a patient with high acuity of central vision (1.0), in case of complaints of sudden and painless decreased vision acuity in the absence of clear ophthalmological abnormalities, the multimodal diagnostics methods can be efficient, in particular, the OCT of the macular zone of retina and the microperimetry, which helped to reveal the zones of retinal ischemia in the deep capillary plexus of the retina, which is characteristic for the clinical signs of acute macular neuroretinopathy. The second clinical case is an indication of the fact that radiation therapy, applied to the zone closely adjacent to the eyeball, is capable of resulting in an impairment of retinal circulation in the capillary plexuses of the retina, including the superficial vascular complex and the deep capillary plexus (a part of the deep vascular complex), with the development of ischemic retinal manifestations expressed as the acute macular neuroretinopathy. Due to this, in case the patient has complaints of decreased vision acuity, despite the absence of clear intraocular abnormalities, it is necessary to use the multimodal diagnostics methods for defining the haemodynamic parameters in the capillary plexuses of the retina. Due to the fact that in the literature sources we did not find similar cases of developing acute macular neuroretinopathy after radiation therapy, the issue of the cause-and-effect relation between them remains discussible.
CONCLUSION
We have demonstrated two different clinical cases of acute macular neuroretinopathy. Despite the rareness of this disease, the ophthalmologist must keep it in mind, for the acute macular neuroretinopathy in the majority of cases is a self-resolving disease with a favorable prognosis in terms of restoring the visual functions, while the incorrectly defined diagnosis may lead to the prescribing incorrect or excessive treatment.
ADDITIONAL INFORMATION
Author contribution. R.S. Zhazybaev — analysis of literature and data, manuscript writing; E.L. Sorokin — concept development, editing, approval of the final version of the article; A.L. Zhirov, O.V. Danilov — data collection and processing. The authors made a substantial contribution to the conception of the work, acquisition, analysis, interpretation of data for the work, drafting and revising the work, final approval of the version to be published and agree to be accountable for all aspects of the work.
Funding source. This study was not supported by any external sources of funding.
Competing interests. The authors declare that they have no competing interests.
Consent for publication. The authors received the written informed voluntary consent of the patient to publish personal data, including photographs (with face covering), in a scientific journal, including its electronic version (signed on 06/03/2024). The amount of published data is agreed with the patient.
About the authors
Ruslan S. Zhazybaev
The Khabarovsk Branch the S. Fyodorov Eye Microsurgery Federal State Institution
Author for correspondence.
Email: rzhazybaev@gmail.com
ORCID iD: 0000-0002-6201-5051
SPIN-code: 9194-4972
Russian Federation, 211 Tikhookeanskaya st, Khabarovsk, 680033
Evgenii L. Sorokin
The Khabarovsk Branch the S. Fyodorov Eye Microsurgery Federal State Institution; Far-Eastern State Medical University
Email: nauka2khvmntk@mail.ru
ORCID iD: 0000-0002-2028-1140
SPIN-code: 4516-1429
MD, PhD, Professor
Russian Federation, 211 Tikhookeanskaya st, Khabarovsk, 680033; Khabarovsk, 680000Arkadiy L. Zhirov
The Khabarovsk Branch the S. Fyodorov Eye Microsurgery Federal State Institution; Far-Eastern State Medical University
Email: zhirovark@bk.ru
ORCID iD: 0000-0003-0226-9014
SPIN-code: 4674-1687
Russian Federation, 211 Tikhookeanskaya st, Khabarovsk, 680033; Khabarovsk, 680000
Oleg V. Danilov
The Khabarovsk Branch the S. Fyodorov Eye Microsurgery Federal State Institution; Far-Eastern State Medical University
Email: hard-n-haevy@mail.ru
ORCID iD: 0000-0002-6610-2419
SPIN-code: 9068-5429
Russian Federation, 211 Tikhookeanskaya st, Khabarovsk, 680033; Khabarovsk, 680000
References
- Bos PJ, Deutman AF. Acute macular neuroretinopathy. Am J Ophthalmol. 1975;80(4):573–584. doi: 10.1016/0002-9394(75)90387-6
- Yeh S, Hwang TS, Weleber RG, et al. Acute Macular Outer Retinopathy (AMOR): A reappraisal of acute macular neuroretinopathy using multimodality diagnostic testing. Arch Ophthalmol. 2011;129(3):360–371. doi: 10.1001/archophthalmol.2011.22
- Turbeville SD, Cowan LD, Gass JD. Acute macular neuroretinopathy: A review of the literature. Surv Ophthalmol. 2003;48(1):1–11. doi: 10.1016/s0039-6257(02)00398-3
- Teng Y, Teng YF. [The clinical characteristics and pathologic mechanisms of acute macular neuroretinopathy. (In Chinese)]. Zhonghua Yan Ke Za Zhi. 2019;55(4):311–315. doi: 10.3760/cma.j.issn.0412-4081.2019.04.016
- Bhavsar KV, Lin S, Rahimy E, et al. Acute macular neuroretinopathy: A comprehensive review of the literature. Surv Ophthalmol. 2016;61(5):538–565. doi: 10.1016/j.survophthal.2016.03.003
- Şekeryapan Gediz B. Acute macular neuroretinopathy in purtscher retinopathy. Turk J Ophthalmol. 2020;50(2):123–126. doi: 10.4274/tjo.galenos.2019.02488
- Fekri S, Khorshidifar M, Dehghani MS, et al. Acute macular neuroretinopathy and COVID-19 vaccination: Case report and literature review. J Fr Ophtalmol. 2023;46(1):72–82. doi: 10.1016/j.jfo.2022.09.008 EDN: RCWEPR
- Rahimy E, Sarraf D. Paracentral acute middle maculopathy spectral-domain optical coherence tomography feature of deep capillary ischemia. Curr Opin Ophthalmol. 2014;25(3):207–212. doi: 10.1097/ICU.0000000000000045
- Casalino G, Arrigo A, et al. Acute macular neuroretinopathy: Pathogenetic insights from optical coherence tomography angiography. Br J Ophthalmol. 2019;103(3):410–414. doi: 10.1136/bjophthalmol-2018-312197
- Garg A, Shah AN, Richardson T, et al. Early features in acute macular neuroretinopathy. Int Ophthalmol. 2014;34(3):685–688. doi: 10.1007/s10792-013-9850-3 EDN: IPKQFV
- Azar G, Wolff B, Cornut PL, et al. Spectral domain optical coherence tomography evolutive features in acute macular neuroretinopathy. Eur J Ophthalmol. 2012;22(5):850–852. doi: 10.5301/ejo.5000172
- Botsford BW, Kukkar P, Bonhomme G. Multimodal imaging in acute macular neuroretinopathy. J Neuroophthalmol. 2021;41(3):e357–e359. doi: 10.1097/WNO.0000000000001128
- Fawzi AA, Pappuru RR, Sarraf D, et al. Acute macular neuroretinopathy: Long-term insights revealed by multimodal imaging. Retina. 2012;32(8):1500–1513. doi: 10.1097/IAE.0b013e318263d0c3
- Gass JD, Agarwal A, Scott IU. Acute zonal occult outer retinopathy: A long-term follow-up study. Am J Ophthalmol. 2002;134(3):329–339. doi: 10.1016/s0002-9394(02)01640-9
- Rodman JA, Shechtman DL, Haines K. Acute macular neuroretinopathy: The evolution of the disease through the use of newer diagnostic modalities. Clin Exp Optom. 2014;97(5):463–467. doi: 10.1111/cxo.12161
Supplementary files











