The effects of sarcopenia on the complications after esophagectomy with simultaneous plasty of the esophagus
- Authors: Kovalerova N.B.1, Ruchkin D.V.1,2, Strunin O.V.1, Okonskaya D.E.1, Mazurok A.V.1
-
Affiliations:
- A.V. Vishnevsky National Medical Research Center of Surgery
- Russian Medical Academy of Continuous Professional Education
- Issue: Vol 16, No 1 (2025)
- Pages: 16-29
- Section: Original Study Articles
- Submitted: 14.01.2025
- Accepted: 21.03.2025
- Published: 30.04.2025
- URL: https://clinpractice.ru/clinpractice/article/view/646054
- DOI: https://doi.org/10.17816/clinpract646054
- ID: 646054
Cite item
Abstract
BACKGROUND: Large meta-analyses have proven the negative effects of sarcopenia on the rates of postoperative complications and mortality, on the duration of the postoperative stay at the In-Patient Department and on the 1-, 3- and 5-year survival of the patients. However, given that in coloproctology and emergency surgery, the effects of sarcopenia on the outcomes are undoubtful, in the esophageal surgery the results are extremely controversial. AIM: to evaluate the effects of sarcopenia on the complications in patients after esophagectomy with simultaneous esophageal plasty. Methods: At the National Medical Research Center of Surgery named after A.V. Vishnevsky (NMRCS), a retrospective computed-tomographic diagnostics of sarcopenia was carried out among the patients (n=111) before undergoing esophagectomy with simultaneous esophageal plasty due to the presence of benign or malignant diseases of the esophagus. The perioperative management of all the patients was carried out within the framework of the programs of rationally accelerated perioperative rehabilitation. For the purpose of quantitative evaluation of sarcopenia, the musculoskeletal index was measured. Using the logistic regression, we have evaluated the effects of preoperational sarcopenia on the postoperative complications. RESULTS: Sarcopenia of various degree of intensity was diagnosed in 95 (85.6%) patients. The analysis of the adjusted odds ratios did not reveal any statistically significant relation between sarcopenia and postoperative complications. CONCLUSION: The experience gained at the NMRCS has shown that high-quality surgical technique together with competent perioperative management are able to alleviate the negative effects of sarcopenia on the postoperative complications.
Full Text
BACKGROUND
Sarcopenia is a progressive decrease of muscle mass and physical strength. Upon the introduction of the term in 1989, it was associated only with aged patients [1]. Later sarcopenia was acknowledged not only a worldwide problem, but also a separate disease [2]. The age-related muscular atrophy begins from 40 years of age and progressively deteriorates after 60 [3], including the cases of developing secondarily due to inflammatory or oncological diseases, neurological disorders, decreased physical activity and nutritional insufficiency [4]. Sarcopenia is being diagnosed in one out of every two persons after 80 years of age and in one out of every ten worldwide [5]. Currently, active research is carried out on the effects of sarcopenia on the postoperative complications in all the fields of surgery. Large meta-analyses have proven the negative effects of sarcopenia on the rates of postoperative complications and mortality, on the duration of postoperative stay at the In-Patient Department and on the 1-, 3- and 5-year survival of patients [6-9]. Despite the topicality of the problem, the gold standard of sarcopenia diagnostics is still not approved. For the quantitative evaluation of the muscle mass, computed tomography (CT) is often used to measure the musculoskeletal index and the psoas muscle index [10, 11].
Esophagectomy with simultaneous esophageal plasty is a high-risk intervention associated with high rate of complications and hospital mortality. The evaluation of the risk factors of developing complications during esophagectomy and their prevention is a promising direction of scientific search, however, while in coloproctology [9] and emergency surgery [8] the effects of sarcopenia on the outcomes are undoubtful, in the surgery of the esophagus, the results are extremely controversial [12, 13].
Research aim — to evaluate the effects of sarcopenia on the complications in patients after esophagectomy with simultaneous esophageal plasty.
METHODS
Research design
A single-center retrospective research was carried out with 500 primary esophagectomies with simultaneous esophageal plasty. At the first stage after evaluating the complications, the patients were divided into two groups for the purpose of defining the risk factors of developing complications. During the second stage of the research, the same parameters were assessed in patients, in which measurements were undertaken of the musculoskeletal index and sarcopenia was ruled out. The third stage included re-grouping of the patients with the CT-diagnostics of sarcopenia for evaluating its effects on the development of postoperative pneumonia. Additionally, an attempt was made to compile a predictive model indirectly evaluating the musculoskeletal index, based on the basic anthropometric and clinical-laboratory findings.
Conformity criteria
Inclusion criteria. Initially, the research work was including all the patients, in which the primary esophagectomy with simultaneous esophageal plasty was carried out within the framework of the program of rationally accelerated perioperative rehabilitation (the RUPOR program). The inclusion criterion of the sarcopenia research was the presence (at the premises of the research facility) of the pre-operational CT-images, obtained at least 3 months before the intervention, having no artifacts complicating the interpretation.
Non-inclusion criteria: low quality of pre-operational CT-images, absence of past CT-data in the archive
Exclusion criteria: emergency surgical interventions
Research facilities
The research work was conducted at the Federal State Budgetary Institution “National Medical Research Center of Surgery named after A.V. Vishnevsky” under the Ministry of Health of the Russian Federation (NMRCS).
Research Duration
The duration of the retrospection was from 2012 until 2024.
Medical procedure description
The RUPOR program included the obligatory examination of the patient by the interdisciplinary team at the pre-hospital phase. All the patients had their body mass index (BMI) measured along with determining the Charlson Comorbidity Index (CCI), with the degree of anesthetic risk evaluated using the standards of the American Society of Anesthesiologists (ASA), the risk of cardiac complications was assessed using the Lee Criteria, while the risk of nutritional insufficiency was estimated using the Nutrition Risk Screening 2002 (NRS-2002), among other studied parameters were also the clinical-laboratory and instrumental findings. If necessary, the patients were receiving the pre-operative preparation measures. During the intraoperative period, normothermia and normovolemia were maintained along with the protective pulmonary ventilation and prevention of postoperative nausea and vomiting, of thromboembolic and infectious complications.
All the patients from the test group were undergoing a sub-/total esophagectomy with simultaneous esophageal plasty. On the morning of the first postoperative day, the patients were transferred to a specialized department with removing the urinary catheter and the pleural draining tube provided the aerostasis was maintained and less than 400 ml of discharge was produced. In a routine manner, all the patients were instructed to avoid oral intake of water until postoperative day 5 (the day of the first radiology or CT-control); infusion therapy was prescribed along with complete parenteral feeding. In case of the satisfactory quality of the cervical co-junction (positive intraoperative evaluation of the viability of the gastric transplant and of the esophageal stump) and in the absence of aspiration or incompetent (leaking) anastomosis upon the radiology control, the patients were allowed to drink water from day 1 and to sip from postoperative day 2. The intake of strained food was possible from postoperative day 3 after a satisfactory secondary radiology control. Postoperative complications were evaluated using the unified register of the Consensus group on complications during esophagectomy (Esophagectomy Complications Consensus Group, ECCG) [14]. Isolated hydrothorax related to the early removal of the pleural draining tube (on postoperative day 1) was not considered a complication.
Research outcomes
Main research outcomes. An evaluation of postoperative complications after esophagectomy with esophageal plasty; evaluation of the effects of sarcopenia on the post-operative complications in general and postoperative pneumonia in particular.
Additional research outcomes. Compiling a predictive model, indirectly evaluating the musculoskeletal index based on the basic anthropometric (body weight, height, BMI) and clinical-laboratory (blood levels of hemoglobin, iron, albumin, transferrin and total protein) parameters.
Subgroup analysis
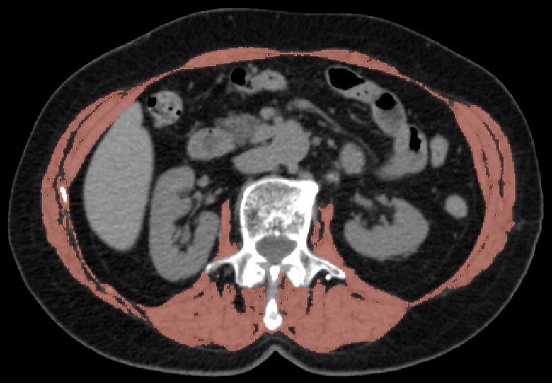
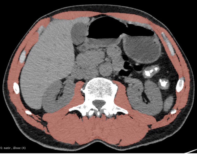
For the purpose of quantitatively evaluating the sarcopenia, we have measured the musculoskeletal index using CT-sarcometry. The measurements were carried out using the axial CT-scans at the level of L3 vertebral bone. The threshold range of the attenuation coefficient varied from -29 to +150 Hounsfield units (HU). A volume of all the skeletal muscles was calculated at the scan zone (paraspinal, major psoas, oblique and rectus abdominal muscles) with excluding other structures. The measurements were carried out by semiautomatic method in the Slicer 5.6.2. software. The segmentation of the image within the pre-set densitometric values was done automatically, while the structures not related to the muscle tissue were removed manually (Fig. 1, 2). The musculoskeletal index was calculated as a ratio of the area of skeletal muscles (cm2) to the square value of the patient height (m2). The threshold values of musculoskeletal index, below which the status of the muscle tissue was considered as sarcopenia, were the classical Prado criteria — 52.4 cm2/m2 for males and 38.5 cm2/м2 for females [15]. For the purpose of simplification of the interpretation of the obtained values, they were presented not as absolute values, but as a ratio of the obtained value to the lower margin of the reference ranges for the given gender (musculoskeletal index). Besides, all the patients at the pre-operative stage had their BMI, body mass and height measured along with the levels of hemoglobin, iron, albumin, transferrin and total protein in blood.
Methods of registration of outcomes
For the diagnostics of postoperative complications (pneumonia, incompetence of anastomosis and necrosis of the transplant), the procedures included a CT examination of the chest cavity organs and of the abdominal cavity with oral contrasting on the first and fifth, or on the third and seventh post-operative days. Besides, the same examination was carried out in cases of sudden worsening of the patient’s status. Other complications were suspected based on the clinical data with further verification with the aid of laboratory and instrumental methods.
Statistical analysis
The sample size was not pre-calculated.
The descriptive statistics for categorical variables was presented by the absolute and the relative rates, and for quantitative variables — by the mean values (standard deviation, SD) and the median ([min; max]); tables 1, 3 and 6 also provide the p values for testing the null hypothesis on the absence of association between the factors and the development of complications. For the categorical factors, the χ2 (chi-square) test was used, while for the quantitative ones — the t-test.
A basic model of logistic regression was compiled for the evaluation of the probability of developing complications, including the main factors of developing complications. The selection of factors for the basic model was undertaken based on the domain terms. The statistical procedures of building the model (for example, stepwise regression) were not used. The age and the gender were added to the model as “universal confounders”. The evaluation of the nutritional status of the patient, the severity of the concomitant diseases and the complexity of the intervention were indirectly presented by the BMI, by the comorbidity index and by the duration of surgery, respectively.
The main analysis of the association for the factors of interest with the development of complications after surgery was carried out using the logistic regression; a factor of interest was added to the basic model. For the odds ratios, calculated by means of logistic regression, p-values and 95% confidence intervals were provided, calculated by the Wald’s method using robust evaluations of the standard errors (HC4 sandwich estimator). The analysis of the correctness of the models was carried out visually using the QQ-plots for residuals, the residuals vs. fitted plots, the scale-location diagrams and the residuals-leverage plots, as well as the partial residuals plots. In all the cases, the quality of the models was satisfactory.
For the evaluation of the predictive power of the statistical association between the variables, the Pearson correlation was used. For building the predictive model, we have used the multifactorial linear regression. The evaluation of the predictive quality of the obtained model was carried out using the adjusted coefficient of determination (adjusted R2).
No adjustments for multiple comparisons were used. The available case analysis was applied with no imputation of data. The tests were conducted at the significance level of α=0.05.
RESULTS
Research sample (participants)
At the NMRCS, the analysis included 500 medical records of the patients, in which primary esophagectomy was done with simultaneous esophageal plasty due to its benign (54%) or malignant (46%) diseases within the framework of the RUPOR program during the period from 2012 until 2024. The pre-operative preparation was done in 27.8% of the patients, of which, the correction of the nutritional status was required in 21.8% of the cases, and of the concomitant diseases — in 7%.
Fig. 1. Preoperative CT scan of a patient without sarcopenia (muscle area 215.5 cm², musculoskeletal index 63 cm²/m²). Muscle tissue is highlighted in red. Axial projection, soft tissue window.
All the patients from the test group underwent sub-/ total esophagectomy, 2.6% — combined with gastrectomy or subtotal proximal resection of the stomach. All the surgeries were done using the open transthoracic (44.6%) or transhiatal (55.4%) access with the formation of manual cervical anastomosis. In 92.6% of the patients, the gastric tube was used for esophagoplasty. During the combined esophagogastrectomy and in cases of the stomach not being suitable for esophagoplasty, the reconstruction was undertaken using the colon (6.2%). In case of a significant deficit in the length of the gastric tube (1.2%), a combined transplant was used, for which the gastric tube was dissected from the duodenum, and the diastasis formed was replaced with a pedunculated jejunal segment. The median of the surgery duration was 390 minutes.
From the year 2017, 97.4% of the patients were extubated in the surgery room and transferred to the intensive care unit (ICU) for further follow-up. The median of patients stay at the Intensive Care Unit was 0.67 days.
Fig. 2. Preoperative CT scan of a patient with sarcopenia (muscle area 44.5 cm², musculoskeletal index 17 cm²/m²). Muscle tissue is highlighted in red. Axial projection, soft tissue window.
The program of early oral nutrition was applied to 96 (19.2%) patients. Postoperative complications were found in 146 (29.2%) patients. In 50 (10%) patients, postoperative pneumonia has developed. The incompetence of esophageal anastomosis (leakage) was diagnosed in 11 (2.2%) cases, also, in 11 (2.2%) patients, apical necrosis of the conduit was verified, while the additional 11 (2.2%) having a subtotal necrosis of the transplant. The median of stay at the In-Patient Department was 9 postoperative days, while the hospital mortality was 1.4%.
In the subgroup of patients with conducted CT-diagnostics of sarcopenia, 33 (30%) were receiving the pre-operative preparation, of which 19 (17%) included the correction of nutritional status (tube/parenteral/combined feeding), 13 (11.7%) underwent diagnostic coronarography, after which 3 (3%) underwent the transcutaneous coronary intervention, 2 (2%) — coronary artery bypass grafting. Before the scheduled esophagectomia, 2 (2%) patients underwent carotid endarterectomy, in 1 (1%) patient, a constant electronic cardiac pacemaker was installed. After surgery, all the patients were extubated at the surgery room and transferred to the Intensive Care Unit. The median of stay at the Intensive Care Unit was 0.7 days, the median of postoperative stay at the In-Patient Department was 9 days. Complications after surgery were reported in 34% of the cases. The postoperative pneumonia was diagnosed in 14 (13%) patients. Incompetence of esophageal anastomosis was found in 3 (3%) patients, while the apical necrosis of the gastric tube was found in 2 (2%). The hospital mortality in the test subgroup was 0%.
Primary findings
At the first stage of the research, after an evaluation of the complications, 500 patients were divided into two groups with or without complications (table 1).
Table 1
Basic descriptive statistics of the patients included into the research
Parameter | Patients | Total (n=500) | p | |
no complications (n=354) | with complications (n=146) | |||
Age, years | ||||
Mean (SD) | 55.0 (13.7) | 59.4 (13.3) | 56.3 (13.7) | 0.0011 |
Median [min; max] | 57.0 [18.0; 89.0] | 61.0 [19.0; 89.0] | 59.0 [18.0; 89.0] | |
Gender: | ||||
• male | 202 (57.1%) | 97 (66.4%) | 299 (59.8%) | 0.065 |
• female | 152 (42.9%) | 49 (33.6%) | 201 (40.2%) | |
Weight, kg | ||||
Mean (SD) | 69.7 (16.3) | 70.2 (15.5) | 69.8 (16.1) | 0.71 |
Median [min; max] | 68.0 [34.0; 125] | 69.0 [37.0; 105] | 69.0 [34.0; 125] | |
Body mass index: | ||||
Mean (SD) | 24.1 (5.19) | 24.0 (4.84) | 24.0 (5.09) | 0.89 |
Median [min; max] | 23.7 [14.4; 40.0] | 22.8 [15.1; 37.2] | 23.5 [14.4; 40.0] | |
Classification of body mass index: | ||||
<18.5 kg/m2 | 54 (15.3%) | 20 (13.7%) | 74 (14.8%) | 0.57 |
18.5–24.9 kg/m2 | 161 (45.5%) | 74 (50.7%) | 235 (47.0%) | |
>25 kg/m2 | 139 (39.3%) | 52 (35.6%) | 191 (38.2%) | |
Smoking: | ||||
• no | 268 (75.7%) | 98 (67.1%) | 366 (73.2%) | 0.063 |
• yes | 86 (24.3%) | 48 (32.9%) | 134 (26.8%) | |
NRS-2002: | ||||
Mean (SD) | 2.70 (0.826) | 2.80 (0.902) | 2.73 (0.849) | 0.25 |
Median [min; max] | 3.00 [1.00; 5.00] | 3.00 [1.00; 5.00] | 3.00 [1.00; 5.00] | |
No data | 1 (0.3%) | 1 (0.7%) | 2 (0.4%) | |
Comorbidity index: | ||||
Mean (SD) | 3.12 (2.42) | 4.22 (2.49) | 3.44 (2.49) | <0.001 |
Median [min; max] | 3.00 [0; 10.0] | 4.00 [0; 10.0] | 3.00 [0; 10.0] | |
Lee scale: | ||||
Mean (SD) | 1.20 (0.490) | 1.32 (0.610) | 1.24 (0.530) | 0.034 |
Median [min; max] | 1.00 [0; 3.00] | 1.00 [0; 3.00] | 1.00 [0; 3.00] | |
ASA: | ||||
Mean (SD) | 2.57 (0.666) | 2.80 (0.650) | 2.64 (0.669) | <0.001 |
Median [min; max] | 3.00 [1.00; 4.00] | 3.00 [2.00; 4.00] | 3.00 [1.00; 4.00] | |
Loss of body weight >10% per 6 months: | ||||
• no | 256 (72.3%) | 102 (69.9%) | 358 (71.6%) | 0.66 |
• yes | 98 (27.7%) | 44 (30.1%) | 142 (28.4%) | |
The total volume of intraoperative infusion therapy taking into consideration fulfilling the losses, ml/kg per hour | ||||
Mean (SD) | 4.45 (1.67) | 4.36 (1.69) | 4.42 (1.68) | 0.61 |
Median [min; max] | 4.30 [-0.751; 14.0] | 4.28 [0; 9.93] | 4.29 [-0.751; 14.0] | |
The duration of surgery, min | ||||
Mean (SD) | 391 (99.9) | 437 (111) | 404 (105) | <0.001 |
Median [min; max] | 370 [230; 755] | 438 [240; 780] | 390 [230; 780] | |
The duration of anesthesia, min | ||||
Mean (SD) | 484 (109) | 529 (125) | 497 (116) | <0.001 |
Median [min; max] | 463 [300; 850] | 520 [300; 880] | 480 [300; 880] | |
Access: | ||||
• transthoracic | 132 (37.3%) | 90 (61.6%) | 222 (44.4%) | <0.001 |
• transhiatal | 222 (62.7%) | 56 (38.4%) | 278 (55.6%) | |
Transplant type: | ||||
• gastric tube | 329 (92.9%) | 134 (91.8%) | 463 (92.6%) | 0.9 |
• intestinal tube | 21 (5.9%) | 10 (6.8%) | 31 (6.2%) | |
• combined | 4 (1.1%) | 2 (1.4%) | 6 (1.2%) | |
Incompetence of anastomosis or sub-/total necrosis of the conduit: | ||||
• yes | 0 (0%) | 33 (22.6%) | 33 (6.6%) | <0.001 |
• no | 354 (100%) | 113 (77.4%) | 467 (93.4%) | |
Musculoskeletal index before surgery (adjusted for gender): | ||||
Mean (SD) | 0.704 (0.317) | 0.633 (0.250) | 0.680 (0.297) | 0.2 |
Median [min; max] | 0.592 [0.193; 2.24] | 0.551 [0.321; 1.20] | 0.589 [0.193; 2.24] | |
No data on MSI | 281 (79.4%) | 108 (74.0%) | 389 (77.8%) | |
Musculoskeletal index before surgery: | ||||
Mean (SD) | 32.3 (14.6) | 29.7 (13.1) | 31.4 (14.1) | 0.36 |
Median [min; max] | 28.8 [10.1; 86.4] | 24.6 [14.5; 63.0] | 27.4 [10.1; 86.4] | |
No data on MSI | 281 (79.4%) | 108 (74.0%) | 389 (77.8%) | |
Note. Here and in the table 3: CO is the standard deviation; min; max are the minimum and maximum values, respectively.
Postoperative complications were statistically significantly more often diagnosed in older patients (р=0.0011). The duration of the intervention and anesthesia, the type of access, the ASA and the comorbidity index also significantly differed in a group of patients with postoperative complications (р <0.001).
Table 2
Risk factors of developing complications (500 patients)
Parameter | Adjusted odds ratio (OR) | |||
Odds ratios | p | 95% CI | ||
L | U | |||
Constant | 0.0794 | 0.003 | 0.0151 | 0.417 |
Age, years | 1.01 | 0.489 | 0.984 | 1.03 |
Females | 0.809 | 0.333 | 0.526 | 1.24 |
Body mass index | 0.975 | 0.209 | 0.937 | 1.01 |
Comorbidity index | 1.13 | 0.062 | 0.994 | 1.28 |
Surgery time, min | 1.00 | 0.001 | 1.00 | 1.01 |
Note. p value for the «model-submodel» test type — the likelyhood ratio is 0.44; the values were rounded to the third significant figure, the p-values were rounded to the third decimal place. Here and in the table 4, 5: CI — Confidence interval; L — lower; U — upper.
The results obtained based on the basic regression model, are provided in table 2. The model included the age and gender as the “universal confounders”, the BMI (as the evaluation of the nutritional status of the patient), the comorbidity indexes (the evaluation of the severity of the concomitant diseases) and the duration of surgery (an evaluation of the complexity of surgery). The analysis of the adjusted odds ratios did not show any statistically significant association between the probability of developing complications and the age, the gender, the BMI and the comorbidity index, despite the fact, that the mean age statistically significantly differed between groups during the one-way (unifactorial) analysis. It is important to note that the confidence intervals for the effect of the age, for the female gender and for the comorbidity index are sufficiently wide and include clinically significant values. Despite the absence of statistical significance, it cannot be claimed that there is no practically significant association of the probability of developing complications with the gender, the age or the comorbidity index.
During the second stage, the same descriptive statistics parameters were evaluated in a subgroup of patients, which had their muscle mass volume measured (table 3), with that the sarcopenia of various degree was diagnosed in 95 (85.6%) patients.
Table 3
Basic descriptive statistics (111 patients): evaluation of sarcopenia in groups with or without complications
Parameter | Patients | Total (n=111) | p | |
no complications (n=73) | with complications (n=38) | |||
Age, years | ||||
Mean (SD) | 56.5 (14.5) | 59.1 (14.5) | 57.4 (14.5) | 0.37 |
Median [min; max] | 58.0 [25.0; 84.0] | 62.0 [19.0; 82.0] | 61.0 [19.0; 84.0] | |
Gender: | ||||
• male | 40 (54.8%) | 23 (60.5%) | 63 (56.8%) | 0.71 |
• female | 33 (45.2%) | 15 (39.5%) | 48 (43.2%) | |
Weight, kg | ||||
Mean (SD) | 70.8 (16.7) | 66.5 (16.3) | 69.3 (16.6) | 0.19 |
Median [min; max] | 70.0 [42.0; 110] | 64.0 [37.0; 105] | 69.0 [37.0; 110] | |
Body mass index: | ||||
Mean (SD) | 24.5 (5.50) | 23.3 (4.81) | 24.1 (5.28) | 0.23 |
Median [min; max] | 24.6 [14.8; 37.9] | 22.2 [15.6; 36.3] | 23.9 [14.8; 37.9] | |
Classification of body mass index: | ||||
<18.5 kg/m2 | 11 (15.1%) | 5 (13.2%) | 16 (14.4%) | 0.049 |
18.5–24.9 kg/m2 | 27 (37.0%) | 23 (60.5%) | 50 (45.1%) | |
>25 kg/m2 | 35 (47.9%) | 10 (26.3%) | 45 (40.5%) | |
Smoking: | ||||
• no | 55 (75.3%) | 26 (68.4%) | 81 (73.0%) | 0.58 |
• yes | 18 (24.7%) | 12 (31.6%) | 30 (27.0%) | |
NRS-2002: | ||||
Mean (SD) | 2.67 (0.728) | 2.84 (0.718) | 2.73 (0.725) | 0.24 |
Median [min; max] | 3.00 [1.00; 4.00] | 3.00 [2.00; 5.00] | 3.00 [1.00; 5.00] | |
Comorbidity index: | ||||
Mean (SD) | 3.82 (2.67) | 4.29 (2.40) | 3.98 (2.58) | 0.35 |
Median [min; max] | 4.00 [0; 10.0] | 4.00 [0; 10.0] | 4.00 [0; 10.0] | |
Lee scale: | ||||
Mean (SD) | 1.33 (0.554) | 1.42 (0.599) | 1.36 (0.569) | 0.43 |
Median [min; max] | 1.00 [1.00; 3.00] | 1.00 [1.00; 3.00] | 1.00 [1.00; 3.00] | |
ASA: | ||||
Mean (SD) | 2.64 (0.609) | 2.95 (0.462) | 2.75 (0.579) | 0.0042 |
Median [min; max] | 3.00 [1.00; 4.00] | 3.00 [2.00; 4.00] | 3.00 [1.00; 4.00] | |
Loss of body weight >10% per 6 months: | ||||
• no | 55 (75.3%) | 25 (65.8%) | 80 (72.1%) | 0.4 |
• yes | 18 (24.7%) | 13 (34.2%) | 31 (27.9%) | |
The total volume of intraoperative infusion therapy taking into consideration fulfilling the losses, ml/kg per hour | ||||
Mean (SD) | 4.44 (1.82) | 4.30 (1.24) | 4.39 (1.64) | 0.63 |
Median [min; max] | 4.29 [1.55; 14.0] | 4.21 [2.17; 7.24] | 4.22 [1.55; 14.0] | |
The duration of surgery, min | ||||
Mean (SD) | 399 (93.1) | 442 (113) | 414 (102) | 0.046 |
Median [min; max] | 390 [240; 625] | 438 [260; 780] | 405 [240; 780] | |
The duration of anesthesia, min | ||||
Mean (SD) | 491 (101) | 539 (127) | 507 (112) | 0.044 |
Median [min; max] | 480 [300; 730] | 533 [330; 880] | 495 [300; 880] | |
Access: | ||||
• transthoracic | 33 (45.2%) | 27 (71.1%) | 60 (54.1%) | 0.017 |
• transhiatal | 40 (54.8%) | 11 (28.9%) | 51 (45.9%) | |
Transplant type: | ||||
• gastric tube | 65 (89.0%) | 34 (89.5%) | 99 (89.2%) | 1 |
• intestinal tube | 6 (8.2%) | 3 (7.9%) | 9 (8.1%) | |
• combined | 2 (2.7%) | 1 (2.6%) | 3 (2.7%) | |
Incompetence of anastomosis or sub-/total necrosis of the conduit: | ||||
• yes | 0 (0%) | 5 (13.2%) | 5 (4.5%) | 0.0072 |
• no | 73 (100%) | 33 (86.8%) | 106 (95.5%) | |
Musculoskeletal index before surgery (adjusted for gender): | ||||
Mean (SD) | 0.704 (0.317) | 0.633 (0.250) | 0.680 (0.297) | 0.2 |
Median [min; max] | 0.592 [0.193; 2.24] | 0.551 [0.321; 1.20] | 0.589 [0.193; 2.24] | |
Musculoskeletal index before surgery: | ||||
Mean (SD) | 32.3 (14.6) | 29.7 (13.1) | 31.4 (14.1) | 0.36 |
Median [min; max] | 28.8 [10.1; 86.4] | 24.6 [14.5; 63.0] | 27.4 [10.1; 86.4] | |
Postoperative complications statistically significantly more often were diagnosed in patients with higher degree of anesthetic risk (р=0.0042) in case of long-term (р=0.046) transthoracic interventions (p=0.017), while the age and the comorbidity index did not statistically significantly differ in the groups. Despite the fact that mean BMI value in both groups was comparable, the distribution of patients with the body weight deficit and excess statistically significantly differed (p=0.049). The mean value of the musculoskeletal index before surgery was also comparable between the groups and did not statistically significantly differ.
Table 4
Unifactorial (one-way) regression model: the evaluation of the effects of sarcopenia on the probability of developing postoperative complication
Parameter | Unadjusted odds ratio (OR) | |||
OR | p-value | 95% CI | ||
L | U | |||
Constant | 0.954 | 0.929 | 0.339 | 2.69 |
The musculoskeletal index before surgery | 0.402 | 0.227 | 0.0918 | 1.76 |
For a more detailed analysis of the effects of the musculoskeletal index on the risk of developing complications, unifactorial (table 4) and multifactorial (table 5) regression models were built with the inclusion of the basic parameters, tested in a large sample of patients. Both models did not demonstrate a statistically significant association of the musculoskeletal index with the probability of developing postoperative complications, nevertheless, taking into consideration the wide confidence intervals for OR (both adjusted and non-adjusted), there is insufficient data to rule out the presence of clinically significant association of the musculoskeletal index with the development of complications. Based on the obtained data, within the frameworks of the RUPOR program, the musculoskeletal index and sarcopenia were not associated with the development of postoperative complications in a statistically significant manner.
Table 5
Multifactorial regression model: the evaluation of the effects of sarcopenia on the postoperative complication
Parameter | Adjusted odds ratio (OR) | |||
OR | p-value | 95% CI | ||
L | U | |||
Constant | 0.239 | 0.421 | 0.00734 | 7.80 |
Age, years | 1.02 | 0.591 | 0.961 | 1.07 |
Females | 0.803 | 0.628 | 0.331 | 1.95 |
Body mass index | 0.932 | 0.145 | 0.848 | 1.02 |
Comorbidity index | 0.990 | 0.947 | 0.730 | 1.34 |
Surgery time, min | 1.01 | 0.032 | 1.00 | 1.01 |
Musculoskeletal index before surgery | 0.506 | 0.467 | 0.0809 | 3.17 |
Additional findings
We have tried to compile a predictive model, indirectly estimating the musculoskeletal index based on the basic anthropometric and clinical-laboratory findings. For this compilation, we have examined the inter-relation of the musculoskeletal index with the BMI, the body mass, the height, the levels of hemoglobin, iron, albumin, transferrin and total protein in blood. The most close relation was found for the musculoskeletal index and the BMI (r=0.37), the body mass (r=0.35) and the albumin levels (r=0.3), where “r” is the Pearson correlation coefficient. As for the other factors, the correlation coefficient of the module did not exceed 0.18.
Fig. 3. Pairwise scatterplots and Pearson correlation coefficients for risk factors for complications in general. sm index before — musculoskeletal index; sex — gender; bmi — body mass index; weight — body weight; height — height; haemoglobin — hemoglobin; iron — iron; albumin — albumin; total protein — total protein; transferrin — transferrin.
After building a multifactorial linear model, none of the factors (gender, BMI, body weight, height, levels of hemoglobin, iron, albumin, transferrin and total protein in blood), included into the model, was statistically significantly associated with the musculoskeletal index (Fig. 3). The total р-value for the whole model was 0.07, the adjusted coefficient of determination (R2) was 0.12. Hence, the potential of studied factors for predicting the musculoskeletal index is weak. These factors poorly describe the variability of the index. The basic anthropometrical and clinical-laboratory parameters do not predict sarcopenia in patients with the diseases of the esophagus.
Undesirable phenomena
Postoperative complications were reported in 146 (29.2%) patients. The most frequent complication was the postoperative pneumonia — 50 (10%) patients. Cardiac rhythm disorders (expressed as atrial fibrillations) were diagnosed in 30 (6%) cases, incompetence of the esophageal co-junction — in 11 (2.2%), necrosis of the transplant — in 22 (4.4%), of which 11 (2.2%) patients had an apical necrosis of the conduit, requiring conservative therapy, while another 11 (2.2%) had a sub-/total necrosis of the transplant, which was accompanied by its extirpation and by the elimination of the esophago- and gastro-/jejunostomas.
DISCUSSION
This article presents a single-center experience of perioperative managing of esophagectomy with simultaneous esophageal plasty within the framework of the RUPOR program. Retrospectively, using the radial diagnostics methods, sarcopenia was diagnosed in 85.6% of the patients. Despite such a high occurrence rate, it did not affect the complications after esophagectomy within the premises of the NMRCS.
In the scientific literature worldwide, the data on the effects of sarcopenia on the postoperative complications is controversial. In 2019, the first meta-analysis was published, describing the effects of sarcopenia on the treatment outcomes in esophageal cancer patients [16]. The authors came to the conclusion that sarcopenia worsens the long-term prognosis for the patients (3- and 5-year survival). After 4 years, the other meta-analyses based on the updated worldwide data have concluded that sarcopenia is an independent risk factor for postoperative complications in general, for the incompetence of anastomosis and respiratory complications in particular, and it significantly decreases the total and the relapse-free survival in patients with esophageal cancer [17, 18].
Upon the detailed review of the articles included into the meta-analysis, the inhomogeneity of the studied patients stands out. The occurrence rate of sarcopenia in groups varies from 15–16.5% [19, 20] to 70–75% [13, 21], which is partially related to the absence of a unified standard of CT-diagnostics of sarcopenia. The investigators have evaluated various muscle groups and quantitative parameters, more often determining the musculoskeletal index, but some articles included the measurements of the psoas muscle index [21–23] and even the volume of the masticatory muscles [24]. When evaluating the musculoskeletal index, various reference ranges were used. Some investigators were applying the classical Prado criteria (52.4 cm2/m2 for males and 38.5 cm2/m2 for females) [15], others were decreasing the lower reference range for males down to 43 cm2/m2 in cases of the BMI <25 kg/m2 [25, 26] and were insignificantly changing the values for females. However, more interesting are the research results themselves, used for proving the effects of sarcopenia on the postoperative complications. Thus, in a research by В. Soma et al. [26], including 109 patients, sarcopenia was diagnosed in 44% of them. In sarcopenia patients, the duration of stay at the Intensive Care Unit was increasing from 5 to 6 days, the hospitalization — from 33 to 46 postoperative days, the rate of anastomosis incompetence — from 17.5% to 20%, while the rates of postoperative pneumonia — from 11% to 33%. The research was finalized with a conclusion that sarcopenia significantly increases the rate of respiratory complications. In other research, sarcopenia was increasing the rate of complications from 36% to 63% [27], with all of these data, all the patients were intraoperationally receiving a nutritional jejunostoma with an installation of the decompression nasogastral tube and the pleural draining tube was removed on the eighth postoperative day. U. Fehrenbach et al. [12] have analyzed the treatment results in 85 patients with diagnosing complications in 72% of the cases and the incompetence of anastomosis — in 12.8%. The research has shown that sarcopenia patients had a significantly longer hospitalization period — from 19 to 32, while in cases of sarcopenic obesity — from 24 to 71 postoperative days, but S.R. Siegal et al. [28] did not find a relation between sarcopenia and increased morbidity, mortality or relapse-free survival rate in a large sample of patients (n=173) and the occurrence rate of sarcopenia (73.4%).
Due to the high-quality surgical technique employed by the operating surgeon, to the adequate perioperative management and preoperational preparation of the patients, even in cases of sarcopenia (85.6%), it can be possible to maintain a relatively low rate of postoperative complications (34%) in general, of pneumonia (13%) and of the incompetence of the anastomosis (3%) in particular, with the duration of postoperative period being up to 9 postoperative days.
Research limitations
It is worth noting that all the research works were evaluating only the patients with esophageal cancer. At the NMRCS, only 54% of surgeries were undertaken due to the presence of the oncology disease. In the other patients, the interventions were carried out due to the presence of benign diseases of the esophagus (esophageal stricture, cardial achalasia grade IV, grade II short esophagus, fistula). It is the possible reason of such a high occurrence of sarcopenia, for in cases of benign diseases, the mean body weight loss is higher and the disease history is longer. For the statistical processing of the information, we have employed the logistical regression, but not the standard dichotomization of the continuous variable used in other articles. The logistical regression provides a higher probability of detecting the relation between the data and ruling out the effects of sarcopenia on the outcomes of treatment in the patients [29, 30].
CONCLUSION
Esophagectomy with simultaneous esophageal plasty is a surgery associated with high risk of complications and mortality. Due to the implementation of the RUPOR program developed at the NMRCS, the rates of life-threatening complications (pneumonia, incompetence of anastomosis, necrosis of the transplant) and mortality after reconstructive interventions were significantly lower comparing to the worldwide data. Sarcopenia was diagnosed in 85.6% of the NMRCS patients — and this is a significant and proven factor, worsening the treatment results for the patients, however, based on the analysis of our data, sarcopenia does not affect the development of postoperative complications. The experience from the NMRCS has shown that the high-quality surgical technique together with proper perioperative management can alleviate the negative effects of sarcopenia.
ADDITIONAL INFORMATION
Author contribution. N.B. Kovalerova — treatment of patients, data collection, writing the text of the article; D.V. Ruchkin — the operator of all surgical interventions, management of patient treatment and discussion of the results of the study; O.V. Strunin — search and analytical work, discussion of the results of the study; D.E. Okonskaya — radiological diagnostics, writing the text of the article; A.V. Mazurok — radiological diagnostics. The authors made a substantial contribution to the conception of the work, acquisition, analysis, interpretation of data for the work, drafting and revising the work, final approval of the version to be published and agree to be accountable for all aspects of the work.
Ethics approval. The organization of the study was approved by the local Ethics Committee of the The National Medical Research Center of Surgery named after A. Vishnevsky of the Ministry of Health of the Russian Federation (Protocol No. 008-2024 dated 11/29/2024).
Funding source. This study was not supported by any external sources of funding.
Competing interests. The authors declare that they have no competing interests.
About the authors
Natalia B. Kovalerova
A.V. Vishnevsky National Medical Research Center of Surgery
Email: kovalerova.nat@gmail.com
ORCID iD: 0000-0002-6951-1816
SPIN-code: 2525-9338
MD, PhD
Russian Federation, 27 Bolshaya Serpukhovskaya st, Moscow, 117997Dmitry V. Ruchkin
A.V. Vishnevsky National Medical Research Center of Surgery; Russian Medical Academy of Continuous Professional Education
Email: ruchkindmitry@gmail.com
ORCID iD: 0000-0001-9068-3922
SPIN-code: 2587-8568
MD, PhD
Russian Federation, 27 Bolshaya Serpukhovskaya st, Moscow, 117997; Moscow, 125993Oleg V. Strunin
A.V. Vishnevsky National Medical Research Center of Surgery
Email: struninov@mail.ru
ORCID iD: 0000-0003-2537-954X
SPIN-code: 4734-0837
MD, PhD
Russian Federation, 27 Bolshaya Serpukhovskaya st, Moscow, 117997Diana E. Okonskaya
A.V. Vishnevsky National Medical Research Center of Surgery
Email: cool_green_alien@mail.ru
ORCID iD: 0000-0001-7460-4884
SPIN-code: 2176-2813
MD, PhD
Russian Federation, 27 Bolshaya Serpukhovskaya st, Moscow, 117997Alina V. Mazurok
A.V. Vishnevsky National Medical Research Center of Surgery
Author for correspondence.
Email: alvmazurok@mail.ru
ORCID iD: 0000-0001-6032-2130
SPIN-code: 4446-2220
Russian Federation, 27 Bolshaya Serpukhovskaya st, Moscow, 117997
References
- Rosenberg IH. Sarcopenia: Origins and clinical relevance. J Nutr. 1997;127(5 Suppl):990S–991S. doi: 10.1093/jn/127.5.990s
- Cruz-Jentoft AJ, Baeyens JP, Bauer JM, et al. Sarcopenia: European consensus on definition and diagnosis: Report of the European Working Group on Sarcopenia in Older People. Age Ageing. 2010;39(4):412–423. doi: 10.1093/ageing/afq034
- Volpi E, Nazemi R, Fujita S. Muscle tissue changes with aging. Curr Opin Clin Nutr Metab Care. 2004;7(4):405–410. doi: 10.1097/01.mco.0000134362.76653.b2
- Cruz-Jentoft AJ, Bahat G, Bauer J, et al. Sarcopenia: Revised European consensus on definition and diagnosis. Age Ageing. 2019;48(1):16–31. doi: 10.1093/ageing/afy169
- Shafiee G, Keshtkar A, Soltani A, et al. Prevalence of sarcopenia in the world: A systematic review and meta-analysis of general population studies. J Diabetes Metab Disord. 2017;16(1):21. doi: 10.1186/s40200-017-0302-x
- Knoedler S, Schliermann R, Knoedler L, et al. Impact of sarcopenia on outcomes in surgical patients: A systematic review and meta-analysis. Int J Surg. 2023;109(12):4238–4262. doi: 10.1097/JS9.0000000000000688
- Weerink LB, van der Hoorn A, van Leeuwen BL, de Bock GH. Low skeletal muscle mass and postoperative morbidity in surgical oncology: a systematic review and meta-analysis. J Cachexia Sarcopenia Muscle. 2020;11(3):636–649. doi: 10.1002/jcsm.12529
- Yang T, Luo K, Deng X, et al. Effect of sarcopenia in predicting postoperative mortality in emergency laparotomy: A systematic review and meta-analysis. World J Emergency Surg. 2022;17(1):36. doi: 10.1186/s13017-022-00440-0
- Trejo-Avila M, Bozada-Gutiérrez K, Valenzuela-Salazar C, et al. Sarcopenia predicts worse postoperative outcomes and decreased survival rates in patients with colorectal cancer: a systematic review and meta-analysis. Int J Colorectal Dis. 2021;36(6):1077–1096. doi: 10.1007/s00384-021-03839-4
- Oba H, Matsui Y, Arai H, et al. Evaluation of muscle quality and quantity for the assessment of sarcopenia using mid-thigh computed tomography: A cohort study. BMC Geriatr. 2021;21(1):239. doi: 10.1186/s12877-021-02187-w
- Ackermans LL, Rabou J, Basrai M, et al. Screening, diagnosis and monitoring of sarcopenia: When to use which tool? Clin Nutr ESPEN. 2022;48:36–44. doi: 10.1016/j.clnesp.2022.01.027
- Fehrenbach U, Wuensch T, Gabriel P, et al. CT body composition of sarcopenia and sarcopenic obesity: Predictors of postoperative complications and survival in patients with locally advanced esophageal adenocarcinoma. Canc (Basel). 2021;13(12):2921. doi: 10.3390/cancers13122921
- Wakefield CJ, Hamati F, Karush JM, et al. Sarcopenia after induction therapy is associated with reduced survival in patients undergoing esophagectomy for locally-advanced esophageal cancer. J Thorac Dis. 2021;13(2):861–869. doi: 10.21037/JTD-20-2608
- Low DE, Alderson D, Cecconello I, et al. International consensus on standardization of data collection for complications associated with esophagectomy: Esophagectomy Complications Consensus Group (ECCG). Ann Surg. 2015;262(2):286–294. doi: 10.1097/SLA.0000000000001098
- Prado CM, Lieffers JR, McCargar LJ, et al. Prevalence and clinical implications of sarcopenic obesity in patients with solid tumours of the respiratory and gastrointestinal tracts: A population-based study. Lancet Oncol. 2008;9(7):629–635. doi: 10.1016/S1470-2045(08)70153-0
- Deng HY, Zha P, Peng L, et al. Preoperative sarcopenia is a predictor of poor prognosis of esophageal cancer after esophagectomy: A comprehensive systematic review and meta-analysis. Dis Esophagus. 2019;32(3):doy115. doi: 10.1093/dote/doy115
- Jogiat UM, Sasewich H, Turner SR, et al. Sarcopenia determined by skeletal muscle index predicts overall survival, disease-free survival, and postoperative complications in resectable esophageal cancer a systematic review and meta-analysis. Ann Surg. 2022;276(5):e311–e318. doi: 10.1097/SLA.0000000000005452
- Fang P, Zhou J, Xiao X, et al. The prognostic value of sarcopenia in oesophageal cancer: A systematic review and meta-analysis. J Cachexia Sarcopenia Muscle. 2023;14(1):3–16. doi: 10.1002/jcsm.13126
- Oguma J, Ozawa S, Kazuno A, et al. Prognostic significance of sarcopenia in patients undergoing esophagectomy for superficial esophageal squamous cell carcinoma. Dis Esophagus. 2019;32(7):doy104. doi: 10.1093/dote/doy104
- Srpcic M, Jordan T, Popuri K, Sok M. Sarcopenia and myosteatosis at presentation adversely affect survival after esophagectomy for esophageal cancer. Radiol Oncol. 2020;54(2):237–246. doi: 10.2478/raon-2020-0016
- Nakayama T, Furuya S, Kawaguchi Y, et al. Prognostic value of preoperative psoas muscle index as a measure of nutritional status in patients with esophageal cancer receiving neoadjuvant therapy. Nutrition. 2021;90:111232. doi: 10.1016/j.nut.2021.111232
- Uemura S, Shichinohe T, Kurashima Y, et al. Effects of preoperative psoas muscle index and body mass index on postoperative outcomes after video-assisted esophagectomy for esophageal cancer. Asian J Endosc Surg. 2021;14(4):739–747. doi: 10.1111/ases.12933
- Ishida T, Makino T, Yamasaki M, et al. Quantity and quality of skeletal muscle as an important predictor of clinical outcomes in patients with esophageal cancer undergoing esophagectomy after neoadjuvant chemotherapy. Ann Surg Oncol. 2021;28(12):7185–7195. doi: 10.1245/s10434-021-10025-x
- Kamada T, Ohdaira H, Ito E, et al. Preoperative masseter muscle sarcopenia predicts mortality in patients with oesophageal cancer. Anticancer Res. 2022;42(1):301–310. doi: 10.21873/anticanres.15486
- Menezes TM, Dias MO, dos Reis R, et al. Prognostic value of muscle depletion assessed by computed tomography for surgical outcomes of cancer patients undergoing total esophagectomy and gastrectomy. J Surg Oncol. 2020;121(5):814–822. doi: 10.1002/jso.25822
- Soma D, Kawamura YI, Yamashita S, et al. Sarcopenia, the depletion of muscle mass, an independent predictor of respiratory complications after oncological esophagectomy. Dis Esophagus. 2019;32(3):doy092. doi: 10.1093/dote/doy092
- Xu J, Zheng B, Zhang S, et al. Effects of preoperative sarcopenia on postoperative complications of minimally invasive oesophagectomy for oesophageal squamous cell carcinoma. J Thorac Dis. 2019;11(6):2535–2545. doi: 10.21037/jtd.2019.05.55
- Siegal SR, Dolan JP, Dewey EN, et al. Sarcopenia is not associated with morbidity, mortality, or recurrence after esophagectomy for cancer. Am J Surg. 2018;215(5):813–817. doi: 10.1016/j.amjsurg.2017.12.017
- Royston P, Altman DG, Sauerbrei W. Dichotomizing continuous predictors in multiple regression: A bad idea. Stat Med. 2006;25(1):127–141. doi: 10.1002/sim.2331
- Dawson NV, Weiss R. Dichotomizing continuous variables in statistical analysis: A practice to avoid. Med Decis Making. 2012;32(2):225–226. doi: 10.1177/0272989X12437605
Supplementary files







