Pneumonitis as a complication of Immunotherapy of oncological diseases: difficulties in diagnosis and treatment
- Authors: Chizhova Y.S.1, Fedotov V.D.2, Zakharova E.M.1
-
Affiliations:
- Research Institute of Clinical Oncology «Nizhny Novgorod Regional Clinical Oncological Dispensary»
- Privolzhsky Research Medical University
- Issue: Vol 16, No 2 (2025)
- Pages: 90-96
- Section: Reviews
- Submitted: 12.02.2025
- Accepted: 21.05.2025
- Published: 01.08.2025
- URL: https://clinpractice.ru/clinpractice/article/view/655829
- DOI: https://doi.org/10.17816/clinpract655829
- EDN: https://elibrary.ru/ZIVDMU
- ID: 655829
Cite item
Abstract
Pneumonitis is one of the life-threatening complications of immunotherapy of oncological diseases. Despite the low occurrence rate, pneumonitis significantly affects not only the quality of life in the patients, but also the mortality, forcing to change the treatment scheme of the main disease. Therapy with immune checkpoint blockers is a relatively new, but well established type of oncology therapy. It is expected that, with the extension of the list of indications to immunotherapy, some growth would be observed in the number of complications, due to which it becomes necessary to inform the physicians of various (not only oncological) specialties about it. It is important for them to maintain high index of suspicion to be able to detect this life-threatening complication at the early stages and to prescribe adequate treatment. The currently known research works by national and foreign authors on the detection and treatment of pneumonitis in their majority have a strictly specialized type due to studying a specific immunotherapy medicine or a specific location of the tumor. In the present article, we have summarized and systematized the data from various sources, emphasizing on the diagnostics and therapy of this dangerous complication.
Full Text
INTRODUCTION
Pneumonitis (pulmonitis) is a general term defining the inflammation of the pulmonary tissue, which, in case of bacterial or viral etiology, bears the name of pneumonia, while in the non-infectious origin of the disease (for example, after the exposure to allergic agents, radiation or medicinal products), a term “pneumonitis” is used.
Currently, the therapy with immune checkpoint blockers becomes more and more demanded, with this, the immunotherapy, just like any other treatment, has its side effects. The occurrence rate of such a life-threatening complication as pneumonitis, is small and ranges within 3–5% for cases of monotherapy with an inhibitor of the PD-1 (programmed cell death protein 1) or the PD-L1 (programmed death-ligand 1), reaching up to 10% in cases of combined therapy, however, according to the American Thoracic Society, the mortality rates reach 35% of the total number of fatal outcomes [1].
PATHOGENESIS OF PNEUMONITIS
The tumor cells at their core represent a foreign agent, even considering its development from the proprietary cells [2], which the immune system should recognize and destroy. However, to avoid death, the tumor cells have developed various protection mechanisms. The first way is the expression of cytotoxic CTLA-4 (cytotoxic T-lymphocyte associated protein 4) on their surface, which leads to the inhibition of the immune response [3]. The second is producing the PD-L1 and PD-L2 ligands, which bind to the PD-1 receptors on the Т-cells, by this blocking them and restricting the immune reactions.
The immunotherapy is aimed at turning off the abovementioned mechanisms of inhibiting the immune system. By bonding to the cancer cells or lymphocytes, monoclonal antibodies to the immune control points block the interaction between the receptors, restoring the normal immune reaction. Currently, for clinical use, the PD-1 inhibitors Nivolumab and Pembrolizumab are approved, as well as the PD-L1 inhibitors Atexolizumab, Avelumab and Durvalumab along with the CTLA-4 antibody Ipilimumab.
The pathogenesis of pneumonitis itself is not completely studied. According to one of the versions, the most substantial from our point of view, the immune checkpoints participate not only in the activation of the immune response, but also in the prevention of its excessive activity in terms of proprietary cells. In cases of immunotherapy, this mechanism gets turned off and the autoimmune processes develop.
RISK FACTORS OF DEVELOPING PNEUMONITIS
Pneumonitis, as a complication of immunotherapy, develops relatively infrequently, thus, there are circumstances increasing this probability. From various literature sources, we have isolated the main risk factors: the most commonly mentioned are the chronic diseases of the lungs in patients before treatment, such as the interstitial lung diseases, the chronic obstructive pulmonary disease, smoking, the combination with immunotherapy agents and other treatment methods [4], elderly age [5], past episodes of radiation therapy [6]. Also, a dependence was also shown on the type of tumor [7]: in particular, in renal cell cancer and non-small cell lung cancer, the occurrence rate of developing pneumonitis is higher than in melanoma (4.4% and 1.4%, respectively). The immunotherapy medication also plays a role: thus, PD-1 inhibitors show higher pneumonitis rates comparing to PD-L1 inhibitors and higher rate of III or IV degree pneumonitis. The rate of developing pneumonitis is not dose-dependent [7], however, its cumulative pattern was reported, i.e. the rate is higher in cases of long-term treatment.
CLINICAL SIGNS OF PNEUMONITIS
During the analysis of literature sources, it was found that pneumonitis does not exhibit characteristic clinical symptoms, with the main complaints being shortness of breath, coughing, fever and chest pain; also, previously existing chronic lung disease add to the complexity, the exacerbations of which show similar manifestations.
Pneumonitis is defined by the following diagnostic parameters based on the criteria proposed by the Idiopathic Pulmonary Fibrosis Clinical Research Network (IPFnet) [5]:
- inexplicable increase in the shortness of breath within the last 30 days;
- data from computed tomography with new bilateral foci of induration of pulmonary tissue showing the consolidation or ground glass patterns;
- absence of signs of pulmonary infection as a result of diagnostic bronchoalveolar lavaging, endotracheal aspiration or sputum bacterial culture combined with negative blood tests for other potentially infectious pathogens;
- absence of signs of malignant cells in the fluid obtained after the bronchoalveolar lavaging performed for the purpose of ruling out the lymphatic pattern of cancer spreading;
- ruling out the left-sided cardiac failure and other possible causes of acute respiratory insufficiency;
- the interval between the last administration of systemic antitumor therapy and developing the clinical and radiology signs being less than 4 weeks.
According to the National Cancer Institute Common Toxicity Criteria for Adverse Events (NCI СТСАЕ, version 5.0) [8], several severity degrees of pneumonitis are known:
- Ist degree — asymptomatic with the absence of clinical signs or complaints in a patient: the changes can be found only based on the results of computed tomography (CT); only clinical or diagnostic follow-up is indicated;
- IInd degree — symptoms, insignificantly affecting the quality of life in a patient, requiring only limited medical intervention (medication therapy);
- IIIrd degree — intensive symptoms, restricting the everyday activities of the patient, requiring medicinal and oxygen therapy;
- IVth degree — life-threatening respiratory insufficiency, emergency medical intervention is indicated (for example, tracheotomy or intubation);
- Vth degree — severe respiratory insufficiency, lethal outcome.
DIAGNOSTICS OF PNEUMONITIS
The functional examination of the lungs is one of the early and sensitive methods for the diagnostic of pneumonitis, which can be revealed by a relative decrease in functional expiratory vital capacity of ≥10% from the baseline value, a decrease in the diffusion capacity of the lungs for carbon monoxide (DLCO) <60% of the reference, by a decrease of the walking distance down to <300 m along with the desaturation by <85% to the end of 6 minute walking test.
Bronchoscopy with bronchoalveolar lavaging shall be arranged at the early stages of examination to rule out the alternative diagnoses, such as pneumonia [3]; the lymphocytes count being >60% can indicate the presence of pneumonitis.
High-resolution computed tomography is the gold standard of detecting pneumonitis, of evaluating its progression or resolving. As can be stated from the abovementioned classification by NCI СТСАЕ (v. 5.0), at the 1st stage of the disease, the radiology abnormalities precede the development of complaints in patients, due to which it is important to figure out what the CT-changes look like. Sadly, but there are no specific radiology signs of pneumonitis. Summarizing the data from the analyzed sources, we have defined the main and the most commonly manifesting patterns, which were classified in accordance with international multidisciplinary classification of interstitial pneumonias from the American Thoracic Society / European Respiratory Society (ATS/ERS) [9]:
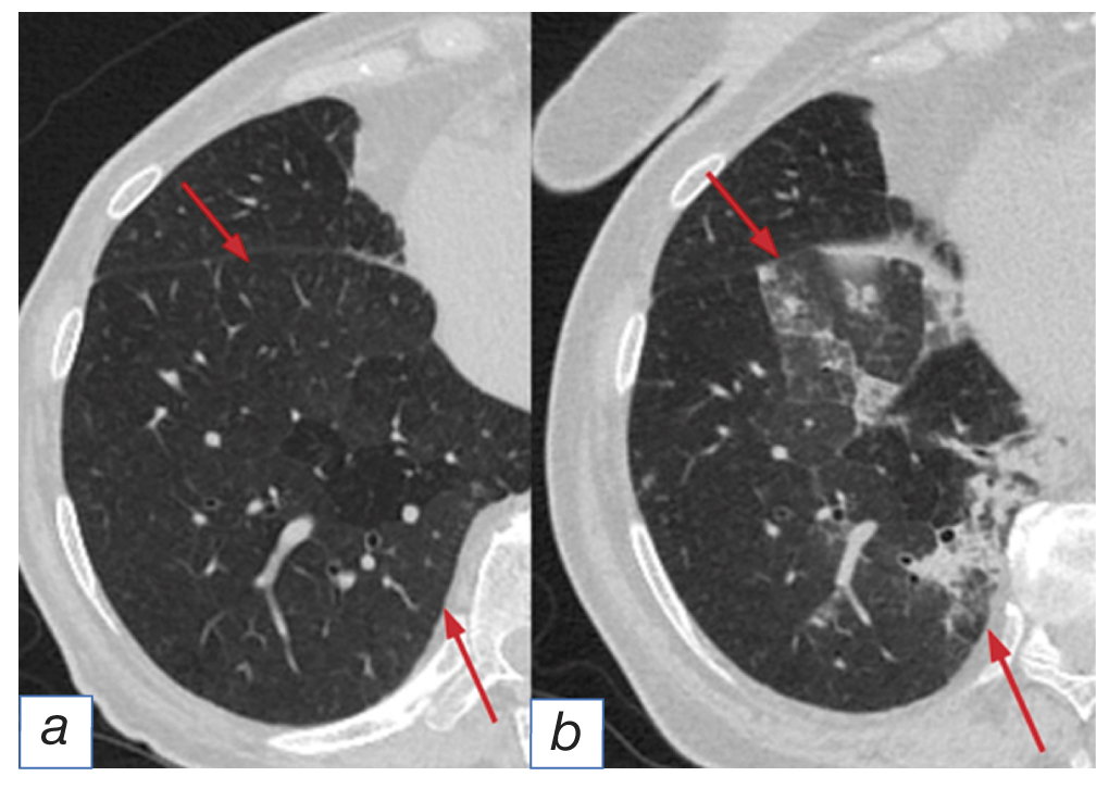
- the pattern of cryptogenic organizing pneumonia [3] visualized as focal consolidation with subpleural and/or peribronchial distribution and air bronchograms. The specific signs considered is the reverse halo (atoll sign) — foci of opacity (ground glass-type) at the center and consolidation along the periphery (Fig. 1);
Fig. 1. The pattern of cryptogenic organizing pneumonia: before (а) and after (b) immunotherapy (arrows).
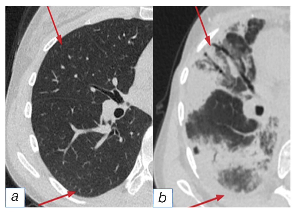
- the pattern of non-specific interstitial pneumonia [10] visualized as confluent bilateral opacity (ground glass-type) and reticular changes predominantly in the peripheral and lower areas of the lungs in the lower lobes with pronounced traction bronchiectasеs and loss of the lower lobe volume. Other findings may include peribronchovascular distribution with preserved normal pulmonary tissue subpleurally (Fig. 2);
Fig. 2. The pattern of non-specific interstitial pneumonia: before (а) and after (b) immunotherapy (arrows).
- the pattern of hypersensitivity pneumonitis [11] visualized as diffusely distributed induration of the pulmonary tissue (ground glass-type) with centrilobular nodules and “air trapping” upon exhaling (Fig. 3);
Fig. 3. The pattern of hypersensitivity pneumonitis: before (а) and after (b) immunotherapy (arrows).
- the pattern of acute respiratory distress-syndrome [10] visualized as diffuse or multifocal increase in the density of pulmonary tissue (ground glass-type) and consolidation, predominantly with anterior-posterior gradient distribution, as well as decreased lung capacity, dilation of bronchi and traction bronchiectases (Fig. 4).
Fig. 4. The pattern of acute respiratory distress-syndrome: before (а) and after (b) immunotherapy (arrows).
Particularly complex is the diagnostics of pneumonitis in patients with past episodes of radiation therapy applied to the chest cavity organs, for they develop another type of pneumonitis — the radiation one. The X-ray signs of radiation pneumonitis are the following: focal consolidation of pulmonary tissue located approximately in the area of the high-dose irradiation, more commonly unilateral, affecting lesser number of the lung lobes and having a sharp margin, not corresponding to the normal anatomy of the lobe, while the drug-induced pneumonitis has a tendency towards being bilateral, affecting more lobes and rarely having a sharp margin [6].
Taking into consideration the complexity of diagnostics and evaluation of pneumonitis associated with immunotherapy, a necessity occurs for searching new approaches to the analysis of CT-images. We have found the data on their processing by means of using the artificial intelligence software. During the pandemic of pneumonia associated with coronaviral infection (COVID-19), the developers were teaching the artificial intelligence software to recognize and to evaluate the characteristic changes in the pulmonary tissue. Taking into consideration the fact that the basis of the radiology pattern of COVID-19 includes the interstitial changes, it also becomes possible to recognize pneumonitis [12]. The extrinsic value in using the artificial intelligence is represented by the quantitative evaluation of the extent of impaired pulmonary tissue, which allows for tracking the dynamic changes of the disease. From our point of view, the research works in this field are of significant interest.
TREATMENT OF PNEUMONITIS
The treatment tactics for pneumonitis in many sources is quite general by its nature. We have summarized the data from the national and foreign sources with systematizing them depending on the severity.
In case of grade I, no treatment is indicated, while the immunotherapy can be continued without interruption. The recommendations include regular check-ups with repeated chest CT scans and with testing the respiratory functions in 3–4 weeks. If clinical symptoms or radiology changes develop, which precede the progression of the disease, the treatment tactics shall be changed and shall correspond to higher grade pneumonitis.
In case of grade II, it is recommended to avoid continuing immunotherapy and to initiate oral glucocorticoids. Currently, there are no randomized clinical studies, which could show unambiguous approaches in terms of the dosages of systemic glucocorticoids and to the duration of their administration. Thus, in a small number of published articles [13], the dosages 1–2 mg/kg of the body weight for glucocorticoids were reported, the duration of therapy was 6–8 weeks (with maximum of up to 12 weeks). The national guidelines recommended Prednisolone at a dosage of 1–2 mg/kg daily or Methylprednisolone at a dosage of 0.5–1 mg/kg daily orally [14]. The treatment continues for 4–6 weeks. Generally, the patients are supervised in the out-patient settings with an evaluation of dynamic changes in the clinical signs within 48 hours from the initiation of steroid therapy and once or twice a week afterwards. The intake of glucocorticoids shall be continued at the initial dosage, until the symptoms do not regress to grade I or to the initial level, after which the dosage should be slowly decreased within a 6-weeks period.
In cases of grade III and IV pneumonitis, hospitalization is required with immediate cessation of immunotherapy. Before the initiation of therapy, bronchoscopy should be done with analyzing the bronchoalveolar lavaging sample for ruling out the infectious origin of the lesion. The majority of thoracic societies recommend intravenous injection of Methylprednisolone or its equivalent at high dosages (Methylprednisolone 1–2–4 mg/kg daily) [15]. The indication for oxygen therapy is the decrease of saturation to 88%.
Special attention should be paid to the fact that achieving clinical improvement in cases of glucocorticoid therapy is the signal to initiate the slow (lasting 6 weeks at least) decreasing the dosages of the medicinal product. In case of a rapid dosage decrease, ricochet pneumonitis develops, the course of which can be more severe than the one of the initial cases.
Particularly complex in terms of treatment is the steroid-refractory pneumonitis, which, according to the publication data, develops in 20–40% of the patients [13]. In case of developing the refractory pneumonitis, the options for consideration include additional immunosuppressive therapy with Mycophenolate Mofetil, Cyclophosphamide or Infliximab (5 mg/kg, single administration) [14, 15]. The intravenous therapy with immunoglobulins is proposed as the safer and more effective therapy than treatment with Infliximab or its combination with Immunoglobulin [13].
Another therapy option is the inhibitor of interleukin 6 receptors Tocilizumab, which has shown good efficiency in a single research. Other immunosuppressants, such as Mycophenolate Mofetil or Cyclophosphamide, are considered slow-acting, due to which their efficiency is doubtful.
According to the data from another research [4], the improvement/resolving of pneumonitis during the treatment can be achieved in 88–90% of the cases: for grade I — approximately in 100%, for grade II — in 93%, for grade III and higher — in 64%. This statistics shows the importance of detecting pneumonitis at early stages. However, even in cases of complete recovery, the overall survival of the patients having an episode of pneumonitis is lower comparing to the patients without such a complication [5].
In some research works, it was found that patients, in which adverse reactions develop, show better treatment response than in patients with no complications. Thus, the patients with pneumonitis have achieved higher rates of total treatment response comparing to the ones without it (37% versus 18%, respectively) [16]. Thus, re-initiation of immunotherapy can be desirable, though the total rates of side effects in cases of re-initiation are higher. According to the opinion from the Society for Immunotherapy of Cancer (SITC) [17], repeated intake of the medicine is possible in patients with completely treated pneumonitis grade II, as well as in separate patients with completely resolved grade III pneumonitis, in which the benefits of immunotherapy overwhelm the risk of recurrence-related complications. Patients with grade IV pneumonitis should not undergo repeated immunotherapy. In the national recommendations [14], it is permitted to re-initiate therapy for grades I and II, while grades III and IV mean permanent cessation of therapy.
CONCLUSION
When selecting the articles and recommendations, we have grouped the data on the treatment of pneumonitis depending on the stage and we have reviewed the rarely used medicinal products. The analysis of a large number of literature sources helped us revealing the difficulties of this potentially fatal disease. One of the new and, from our point of view, promising methods is using the artificial intelligence for analyzing the CT-scans. The extrinsic value is shown for the possibility of quantitative evaluation of the impaired pulmonary tissue for more precise tracking of dynamic changes of the disease course.
Therapy with immune checkpoint blockers is a relatively new, but well-proven type of treatment for oncological diseases. Due to the fact that immunotherapy becomes more sought-after, currently even the list of indications used for this purpose becomes expanded, which, undoubtedly, shall lead to the growth in the number of complications and, due to the fact that such patients are admitted not only to the oncology-specialized institutions, a necessity grows in informing the physicians of various specialties in this threat. It is important to have the physicians maintaining a high index of suspicion, for pneumonitis is a life-threatening complication, nevertheless, when detected at early stages and with proper therapy prescribed, it is can be very successfully treated, which increases the survival rate among the oncology patients.
ADDITIONAL INFORMATION
Author contributions. Yu.S. Chizhova: review of publications on the topic of the article, writing the text of the manuscript; V.D. Fedotov: review of publications on the topic of the article, editing the manuscript; E.M. Zakharova: review of publications on the topic of the article. The authors confirm that their authorship complies with the international ICMJE criteria (all authors have approved the manuscript and also agreed to be accountable for all aspects of the work, ensuring that questions related to the accuracy and integrity of any part of it are appropriately reviewed and resolved).
Ethics approval. All patients whose images were included in the study signed an informed voluntary consent upon admission to the hospital to use the results of the examination and treatment for scientific purposes.
Funding sources. No funding.
Disclosure of interests. The authors declare that they have no relationships, activities or interests over the past three years related to third parties (commercial and non-commercial) whose interests may be affected by the content of the article.
Statement of originality. The authors did not utilize previously published information (text, illustrations, data) in conducting the research and creating this paper.
Data availability statement. The editorial policy regarding data sharing does not apply to this work, data can be published as open access.
Generative AI. Generative AI technologies were not used for this article creation.
Provenance and peer-review. This paper was submitted to the journal on an initiative basis and reviewed according to the usual procedure. Two external reviewers and the scientific editor of the publication participated in the review.
About the authors
Yuliia S. Chizhova
Research Institute of Clinical Oncology «Nizhny Novgorod Regional Clinical Oncological Dispensary»
Author for correspondence.
Email: julia.raymond.88@mail.ru
ORCID iD: 0009-0002-0488-6454
Russian Federation, 11 Delovaya st, bldg 1, Nizhny Novgorod, 603126
Vasily D. Fedotov
Privolzhsky Research Medical University
Email: basil11@yandex.ru
ORCID iD: 0000-0003-4307-9321
SPIN-code: 6335-6935
MD, PhD
Russian Federation, Nizhny NovgorodElena M. Zakharova
Research Institute of Clinical Oncology «Nizhny Novgorod Regional Clinical Oncological Dispensary»
Email: zelmich74@mail.ru
ORCID iD: 0009-0009-7032-9382
MD, PhD
Russian Federation, 11 Delovaya st, bldg 1, Nizhny Novgorod, 603126References
- Rapoport BL, Shannon VR, Cooksley T, et al. Pulmonary toxicities associated with the use of immune checkpoint inhibitors: An update from the Immuno-Oncology Subgroup of the Neutropenia, Infection & Myelosuppression Study Group of the Multinational Association for Supportive Care in Cancer. Front Pharmacol. 2021;12:743582. doi: 10.3389/fphar.2021.743582
- Шубникова Е.В., Букатина Т.М., Вельц Н.Ю., и др. Ингибиторы контрольных точек иммунного ответа: новые риски нового класса противоопухолевых средств // Безопасность и риск фармакотерапии. 2020. Т. 8, № 1. С. 9–22. [Shubnikova EV, Bukatina TM, Velts NYu, et al. Immune response checkpoint inhibitors: New risks of a new class of antitumor agents. Safety and risk of pharmacotherapy. 2020;8(1):9–22]. doi: 10.30895/2312-7821-2020-8-1-9-22 EDN: EEVXRX
- Zhong L, Altan M, Shannon VR, Sheshadri A. Immune-related adverse events: Pneumonitis. Immunotherapy. 2020;1244:255–269. doi: 10.1007/978-3-030-41008-7_13
- Naidoo J, WangX, Woo KM, et al. Pneumonitis in patients treated with anti-programmed death-1 / programmed death ligand 1 therapy. J Clin Oncol. 2017;35(7):709–717. doi: 10.1200/JCO.2016.68.2005
- Fujimoto D, Kato R, Morimoto T, et al. Characteristics and prognostic impact of pneumonitis during systemic anti-cancer therapy in patients with advanced non-small-cell lung cancer. PLoS One. 2016;11(12):e0168465. doi: 10.1371/journal.pone.0168465
- Shaverdian N, Lisberg AE, Bornazyan K, et al. Previous radiotherapy and the clinical activity and toxicity of pembrolizumab in the treatment of non-small-cell lung cancer: A secondary analysis of the KEYNOTE-001 phase 1 trial. Lancet Oncol. 2017;18(7):e371. doi: 10.1016/S1470-2045(17)30409-6
- Wu J, Hong D, Zhang X, et al. PD-1 inhibitors increase the incidence and risk of pneumonitis in cancer patients in a dose-independent manner: A meta-analysis. Sci Rep. 2017;7:44173. doi: 10.1038/srep44173
- Common Terminology Criteria for Adverse Events (CTCAE) Version 5.0. Cancer Therapy Evaluation Program. November 27, 2017. Available from: https://ctep.cancer.gov/protocoldevelopment/electronic_applications/ctc.htm#ctc_50
- Travis WD, Costabel U, Hansell DM, et al. An official American Thoracic Society / European Respiratory Society statement: Update of the international multidisciplinary classification of the idiopathic interstitial pneumonias. Am J Res Crit Care Med. 2013;188(6):733–748. doi: 10.1164/rccm.201308-1483st
- Lee J. Overview of Idiopathic Interstitial Pneumonias. MSD Manual. Professional Edition. Available from: https://www.msdmanuals.com/ru-ru/professional
- Nishino M, Ramaiya NH, Awad MM, et al. PD-1 inhibitor-related pneumonitis in advanced cancer patients: Radiographic patterns and clinical course. Clin Canc Res. 2016;22(24):6051–6060. doi: 10.1158/1078-0432.CCR-16-1320
- Mallio CA, Napolitano A, Castiello G, et al. Deep learning algorithm trained with COVID-19 pneumonia also identifies immune checkpoint inhibitor therapy-related pneumonitis. Cancers (Basel). 2021;13(4):652. doi: 10.3390/cancers13040652
- Li Y, Jia X, Zhang Y, et al. Risk factors and immunomodulators use in steroid-refractory checkpoint inhibitor pneumonitis. J Immunother Canc. 2023;11(6):e006982. doi: 10.1136/jitc-2023-006982
- Проценко С.А., Антимоник Н.Ю., Берштейн Л.М., и др. Практические рекомендации по управлению иммуноопосредованными нежелательными явлениями // Злокачественные опухоли. 2020. Т. 10, № 3S2-2. С. 168–199. [Protsenko SA, Antimonik NYu, Bershtein LM, et al. Practical recommendations for the management of immune-mediated adverse events. Malignant tumours. 2020;10(3s2-2):168–199. (In Russ.)]. doi: 10.18027/2224-5057-2020-10-3s2-50 EDN: VESMSZ
- Остроумова О.Д., Листратов А.И., Кочетков А.И., Сычев Д.А. Лекарственные средства, прием которых ассоциирован с развитием лекарственно-индуцированных интерстициальных заболеваний легких // Качественная клиническая практика. 2021. № 2. С. 39–51. [Ostroumova OD, Listratov AI, Kochetkov AI, Sychev DA. Drugs associated with drug-induced interstitial lung diseases. Good Clinical Practice. 2021;(2):39–51]. doi: 10.37489/2588-0519-2021-2-39-51 EDN: TDNBTE
- Fujimoto D, Yoshioka H, Kataoka Y, et al. Efficacy and safety of nivolumab in previously treated patients with non-small cell lung cancer: A multicenter retrospective cohort study. Lung Cancer. 2018;119:14–20. doi: 10.1016/j.lungcan.2018.02.017
- Brahmer JR, Abu-Sbeih H, Ascierto PA, et al. Society for Immunotherapy of Cancer (SITC) clinical practice guideline on immune checkpoint inhibitor-related adverse events. J Imm Ther Cancer. 2021;9:e002435. doi: 10.1136/jitc-2021-002435
Supplementary files







