FXTAS (Fragile X-Associated Tremor/Ataxia Syndrome)
- Authors: Ostapchuk E.S.1,2, Malakhov M.V.2, Chikviladze S.S.2, Kuznetsov V.V.2, Morozova Y.S.1
-
Affiliations:
- Tyumen State Medical University
- The Regional Clinical Hospital №1, Tyumen
- Issue: Vol 16, No 3 (2025)
- Pages: 98-104
- Section: Case reports
- Submitted: 01.03.2025
- Accepted: 27.08.2025
- Published: 09.09.2025
- URL: https://clinpractice.ru/clinpractice/article/view/676523
- DOI: https://doi.org/10.17816/clinpract676523
- EDN: https://elibrary.ru/TYCUEA
- ID: 676523
Cite item
Abstract
BACKGROUND: FXTAS Syndrome (Fragile X-Associated Tremor/Ataxia Syndrome) is a neurodegenerative disease with late onset, which manifests in men and women carrying the mutation in the FMR1 gene, located in the X-chromosome. The disease manifests with high phenotypic variability (tremor, cerebellar ataxia, parkinsonism, oculomotor disorders, cognitive and mental disorders). Due to the insufficient awareness among the physicians on this disease, FXTAS Syndrome patients often get incorrect diagnosis (essential tremor, Parkinson disease, multisystem atrophy, spinocerebellar ataxia etc.). CLINICAL CASE DESCRIPTION: The case presented is the patient aged 68 years with a severe past medical history (ischemic heart disease, post-infarction cardiosclerosis with the formation of post-infarction aneurism, arterial hypertension, pulmonary tuberculosis, chronic obstructive pulmonary disease, type 2 diabetes), in which the FXTAS Syndrome has first manifested with tremors, impaired coordination of motions, balance problems, cognitive disorders and affective disorders. The disease was confirmed by the genetic test (in the FMR1 gene, 96 CGG repeats were found). The patient’s daughter was examined with detecting the premutation of the FMR1 gene, while the grandson has a Martin-Bell syndrome. CONCLUSION: Neurologists and specialists of adjacent fields should keep in mind the FXTAS Syndrome (Fragile X-Associated Tremor/Ataxia Syndrome) and, in case of the patient having the corresponding symptoms, should rule out this rare neurodegenerative disease by arranging the genetic testing to reveal the mutation in the FMR1 gene.
Full Text
BACKGROUND
FXTAS Syndrome (Fragile X-Associated Tremor/Ataxia Syndrome) is a rare neurodegenerative disease with late onset, which occurs in the carriers of the mutation in the FMR1 gene (Fragile X Mental Retardation 1), located in the X-chromosome, and which is related to the increase in the number of CGG (cytosine-guanine-guanine) repeats in this gene [1].
FXTAS Syndrome is considered a rare disease, probably, due to the insufficient diagnostics of this condition. Normally, the number of CGG repeats varies from 5 to 54. An increase in the number of trinucleotides (>200 CGG repeats) results in the impaired synthesis of the FMR1 protein (complete methylation of the gene and loss of the function associated with the synthesis of the FMR1 protein) along with the abnormalities of developing the nervous system — the Martin-Bell syndrome or mental deficiency syndrome associated with the fragile Х-chromosome [2, 3]. The condition, in which the number of CGG repeats is more than normal values (>55), but it does not exceed the threshold value (>200 CGG repeats), is generally called the premutation. The premutation may manifest as four various disorder profiles:
1) childhood age development disorders (non-rough deviations of the cognitive development, autistic spectrum disorder, attention deficit and hyperactivity syndrome);
2) impaired reproductive functions and other somatic problems in women (primary ovarian insufficiency syndrome, hypothyroidism);
3) neurodegenerative disorders at the old age (tremor and ataxia syndrome, or FXTAS, more often in men);
4) psychoemotional problems (depression, anxiety disorders, obsessive-compulsive disorder) [2].
FXTAS Syndrome starts to 50 years of age and older with an incidence rate in the whole population being 1/1000–2000 males. FXTAS Syndrome is more commonly seen in men comparing to women, which is related to the mechanism of inheritance, for men have only one X-chromosome, due to which they are more prone to this mutation. The presence of the second X-chromosome in women compensates the pathological allele of the FRM1 gene [4]. With the aging, the probability of clinical manifestations of the FXTAS Syndrome increases, which emphasizes the importance of monitoring the health status of the carriers of the pathological allele after the age of 50 years [4].
The pathogenesis of FXTAS Syndrome is multifactorial. First of all, the basis of the FXTAS pathogenesis has the neurotoxicity aspect due to the forming non-coding ribosomal RNA with elongated CGG sequences, which affect the functions of various proteins, which, in turn, causes the impairment in the functions and the apoptosis of neurons [5]. Secondly, the mitochondrial dysfunction due to the expansion of CGG results in the impaired energy metabolism in the cells and the generation of free radicals. These metabolic disorders may contribute to neurodegeneration. Third off, the, inflammatory processes with high level of inflammatory markers in FXTAS patients negatively affect the neurovascular interaction and the neuroplasticity. In addition to that, the activity of certain genes and proteins, participating in the protection of neurons from stress, can be altered in FXTAS Syndrome patients, which promotes to the increase in the sensitivity of neurons to damaging factors [5–10].
In adults, the clinical manifestations of FXTAS usually begin after 50 years of age, more often with kinetic tremors, and later on, the elements of cerebellar ataxia join [3]. The disease manifests with high phenotypic variability, for among the clinical signs, besides tremors and cerebellar ataxia, there could be the parkinsonism syndrome, the oculomotor and cognitive disorders, as well as the affective changes, such as depression and agitation [8]. Some patients can have complaints of sleep disorders and changes in the emotional aspects [9].
The carriers of the mutations in the FMR1 gene, located at the X-chromosome, can have concomitant cerebrovascular abnormalities and other neurological diseases, such as Parkinson’s disease and other disorders, which complicates the diagnostics [11]. The diagnostics of FXTAS Syndrome includes several key stages. Thus, the important aspect is the collection of the anamnestic data, which allows for detecting the presence of tremors and impaired coordination, including similar symptoms among the close relatives. Within the family, where previously there were cases of the fragile Х-chromosome syndrome, the probability of the presence of FXTAS in older age men is especially high. The confirmation of the diagnosis requires the fragmental analysis of the FMR1 gene for the purpose of detecting the elongated CGG sequences.
In FXTAS Syndrome patients, the obligatory procedure is performing the magnetic resonance imaging (MRI) examination for the evaluation of the neurodegenerative process in the brain. The main diagnostic signs in the brain MRI images are the impairment of the white matter in the middle crus of cerebellum and the decrease in the volume of the cerebellum, leading to the impaired coordination of motions; changes within the white matter expressed as the hyperintensive areas revealed using the mode of Т2-weighted images, especially in the area of the frontal and the occipital lobes; atrophic changes in other areas of the central nervous system, in particular, the subcortical structures and the brain stem. Besides, specific is the presence of microstructural changes, detectable by using the special MRI sequences [12].
At the present moment, there is no therapy specific for the FXTAS Syndrome. Symptomatic therapy is used, aimed at minimizing the clinical manifestations. The important aspect of treatment is the personified rehabilitation therapy for improving the motor skills and the cognitive functions [13].
The prognosis in FXTAS Syndrome patients depends on many factors, including the age, in which the correct diagnosis was set, the degree of severity of symptoms, as well as the individual specific features of developing diseases and the treatment response. Though FXTAS Syndrome is a progressive disorder, the rate of progression is individual, and many patients can maintain the acceptable quality of life for many years. Eventually, however, the majority of patients develop an aggravation in their motor functions and cognitive capabilities. The diagnosis of FXTAS Syndrome is confirmed by the genetic counseling of the family members and by the detection of mutation in the FMR1 gene.
CLINICAL CASE DESCRIPTION
Patient information
Patient B., aged 68 years, Russian, higher education, admitted for in-patient treatment at the State Budgetary Healthcare Institution of the Tyumen Oblast “Regional Clinical Hospital No. 1” in February 2025 with the complaints of tremors in the left palm, anxiety, agitation and fatigability.
Case history. Approximately two years ago, the first signs of mild transient tremor in the left arm have appeared. According to oral information provided by the patient, the worsening of the conditions started several months ago (18.10.2024), when he fell and hit his head (the reason of falling cannot be explained by the patient). No encounter for medical aid followed. The patient’s wife notes that recently he became “retarded and suspicious”, stopped walking outside, explaining it by the absence of any will to do so.
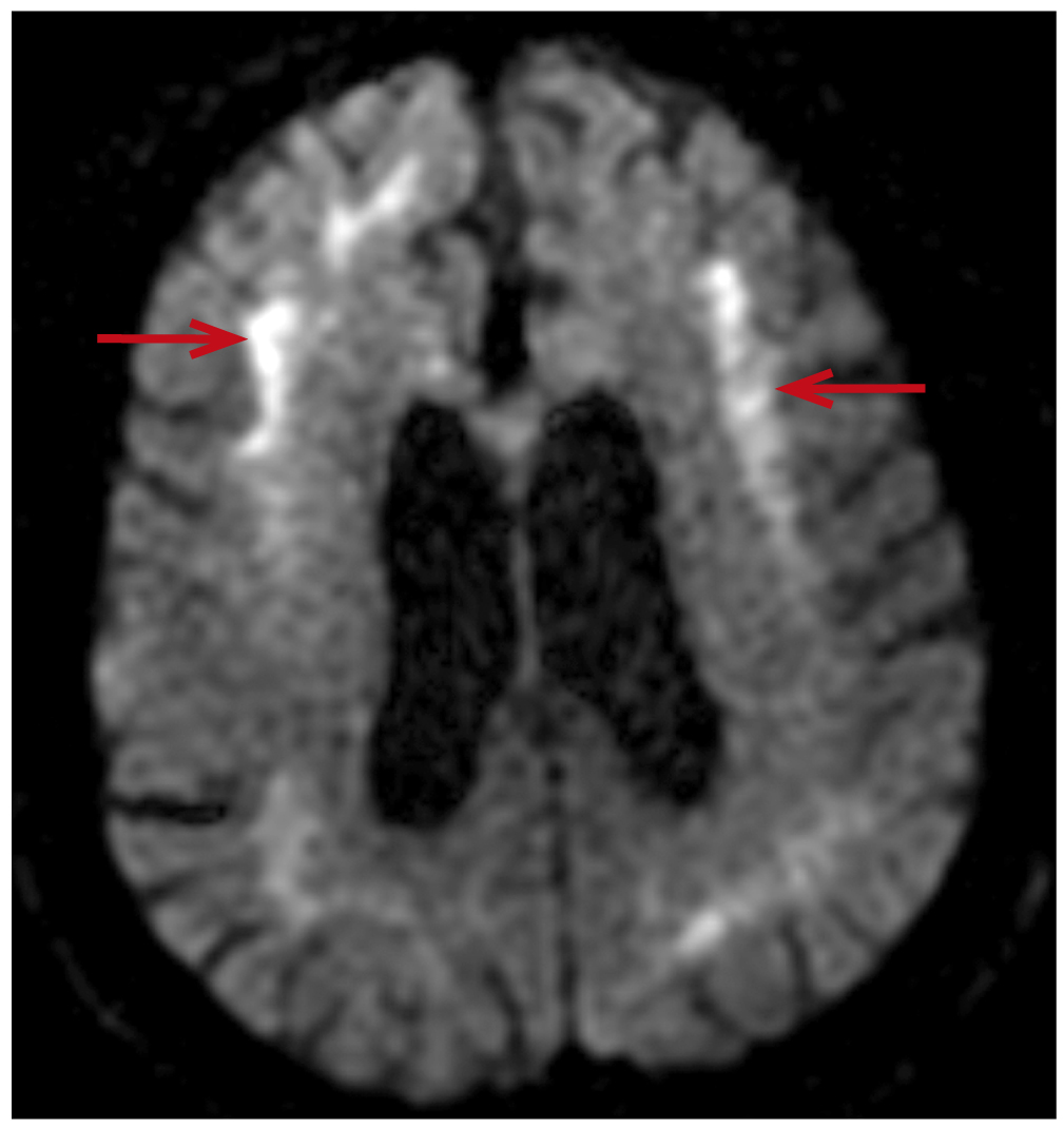
On 01.11.2024, in the morning he could not get up from his bed, had an episode of dizziness with developing weakness in the whole body, especially in the lower limbs, after which he fell. At the In-Patient Department, Brain MRI was conducted using the diffusion-weighted mode (Diffusion Weight Imaging, DWI): symmetrical signal increase from the corticomedullary junction of the brain hemispheres, from the fibers of the corpus callosum and from the substance of the middle peduncles of the cerebellum (Fig. 1).
Fig. 1. Symmetrical DWI-hyperintensity at the level of the corticomedullary junction on both sides at the frontal (arrows) and parietal lobes.
On 28.01.2025 the patient was consulted by the Geneticist (with testing for the presence of the expansion of CGG-repeats in the FMR1 gene): pre-expression of CGG-repeats was found — 96/0. Increased risk of developing the tremors-ataxia syndrome.
Past medical history. Ischemic heart disease. Post-infarction cardiosclerosis with the formation of post-infarction aneurism (ejection fraction — 40%). In 2022 the patient underwent stenting of the heart vessels.
The blood pressure had a long period of maximal values of 150/90 mm.Hg. (he is taking Uperio, Torasemide, Bisoprolol, Atorvastatin and Cardiomagnyl).
In 2023 the patient had an episode of pulmonary tuberculosis. Long-term history of medical supervision with chronic obstructive pulmonary disease and with type 2 diabetes (taking Empagliflozin).
Laboratory and instrumental diagnosis
Neurological status. The general status is satisfactory. Active body position. Clear consciousness. The general cerebral symptoms are uncertain. The oculomotor nerves are unremarkable. Hypomimia. The face is symmetrical. Primitive oral reflexes detected: snout reflex, palm-chin reflex (Marinescu sign) on both sides. The muscle strength in the limbs is sufficient, except for decreased strength in the arm on the left side down to 4 points. The muscle tone in the proximal and the distal areas is increased following the extrapyramidal pattern, more on the left side. The reflexes in the limbs (D=S) are increased. Pathological plantar reflexes — negative. Tremors in the head (the “no-no” type), in the tongue, mild postural tremor in the trunk. Periodical myoclonic twitching in the left palm, right-sided body deviation when standing and walking (the Pisa syndrome). The Romberg stance test shows a deviation to the right. Finger-to-nose test — hesitant due to kinetic tremors, more on the left side. The gait has signs of mild ataxia. Retropulsion. The superficial and the deep sensorial functions are intact.
General (clinical) hematology panel (04.02.2025): leucocytes (WBC) 8.81×109/l; Red blood cells (RBC) 4.52×1012/l; hemoglobin (HGB) 134 g/l; platelets (PLT) 237×109/l.
The blood biochemistry panel and the ion profile show no abnormalities, except for creatinine level elevated up to 115 μmol/l.
Electroencephalography (05.02.2025) — no signs of paroxysmal activity.
Fundoscopy (04.02.2025): retinal angiopathy in both eyes.
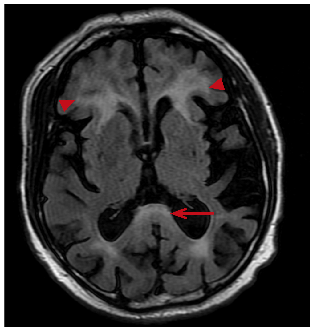
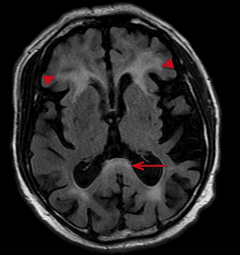
Brain MRI (05.02.2025): the observations include a diffuse inhomogeneous increase of the MRI-signal from white matter of the brain for Т2- and Т2-FLAIR (Fluid-Attenuated Inversion Recovery) images with spreading to the middle cerebellar peduncles and the cerebellum hemispheres, with linear-stellar increase of the MRI-signal for the DWI mode, with no signs of diffusion restriction. Conclusion: “MRI signs corresponding to the manifestations of the neurodegenerative diseases (FXTAS). Diffuse cerebral atrophy grade I” (Fig. 2, 3).
Fig. 2. Symmetrical foci of high signal in the T2-weighted images at the level of the middle cerebellar peduncles.
Fig. 3. Hyperintensity in the area of the splenium of corpus callosum in a series of FLAIR (long arrow), additional finding — foci of symmetrical periventricular leukoaraiosis near the anterior horns (short arrows).
Consultation by the psychologist (05.02.2025). Using the method by А.R. Lauria, 3 words out of 10 were learned, after a period 40 minutes, the test subject has reproduced one world (ref. range: 5–7 words). The data indicate the intensive impairment both in the short-term and in the long-term memory. The motivational component of the memory is decreased. The speed of mental activity is slowed. The rate and the tempo of the associative process corresponds to the lower reference range; deviations were detected in the dynamic mental activity, expressed as the slower association rate, decreased mobility and passivity of thinking.
Moderate cognitive disorders were determined using the Mini-Mental State Examination score (MMSE, 24 points) with moderate sleep disorders according to the Spiegel scale (15 points), with extremely severe asthenia according to the subjective scale for asthenia (Multidimensional Fatigue Inventory, MFI, 20–84%), clinical anxiety according to the Hospital Anxiety and Depression Scale (HADS, 15 points).
Diagnosis
Based on the disease history data, on the data from neurological and neuropsychological examination, from the genetic and the instrumental diagnostics, the following clinical diagnosis was set: “Neurodegenerative disease of the nervous system, tremors/ataxia syndrome, associated with the fragile Х-chromosome syndrome (FXTAS). Mild paresis in the left upper limb. Parkinsonism syndrome. Mixed (postural, kinetic) resting tremor, more on the left side, myoclonus in the left palm. Mild ataxic syndrome. Syndrome of cognitive disorders. Pronounced asthenic and anxiety syndromes”.
Treatment
At the in-patient stage, the patient was receiving neurometabolic therapy: choline alfoscerate, ethylmethylhydroxypyridine succinate, group B vitamins.
Follow-up and outcome
The patient was discharged from the In-patient Department on Day 7 for out-patient follow-up by the Neurologist at place of residence. The neurology status was showing no significant changes. The recommendations included the cognitive training sessions, the metabolic therapy cycle along with arranging the genetic testing of blood relatives for the presence of fragile Х-chromosome and FXTAS Syndrome. Repeated hospitalization was scheduled in 6–9 months for the purpose of an appraisal of clinical signs and for the correction of therapy.
DISCUSSION
The differential diagnostics of the FXTAS Syndrome is a complex process. The disease manifests with high phenotypic variability (tremor, cerebellar ataxia, parkinsonism, oculomotor disorders, mental disorders). Taking into consideration the insufficient awareness among the physicians regarding this disorder, the patients are often managed with other diagnoses (Essential tremor, Parkinson disease, multisystem atrophy, spinocerebellar ataxia etc.). The treatment of the FXTAS Syndrome is mainly symptomatic, aimed at the improvement of coordination, and cognitive functions with decreasing the affective manifestations.
The main diseases to be differentiated with the FXTAS Syndrome are the Parkinson disease and the parkinsonism syndrome. Though both these conditions can include tremors and motor disorders, in Parkinson’s disease, the patients usually have the characteristic symmetrical rigidity of muscles, as well as tremors at rest, which is absent in FXTAS Syndrome patients, additionally, the MRI scans in Parkinson’s disease patients can show other changes, such as the loss of dopaminergic neurons in the black substance [8, 14, 15]. The national literature contains a single clinical case of the FXTAS Syndrome in a male aged 58 years manifesting as the combination of asymmetrical disabling postural-kinetic tremors in the upper limbs, insignificant resting tremors, moderate cerebellar ataxia, asymmetrical moderate DOPA-sensitive parkinsonism syndrome, mild cognitive impairment and psychotic disorders. In the daughter of the patient presented, a premutation was found in the FMR1 gene, in the grandson — the Martin-Bell syndrome was detected. The specific feature of the clinical case was the long-term erroneous following-up the patient with the diagnosis of Parkinson disease, including the treatment with high dosages of Levodopa/Carbodopa (250+25 mg, up to 6 tablets daily) [3].
When conducting the differential diagnostics with the demyelinating diseases of the brain, in particular, with multiple sclerosis, which also may cause ataxia and tremors, our patient had no detected changes in the visual perception and paresthesias, while the Brain MRI does not show demyelination foci within the white matter [16].
No less than important is ruling out the variant of the Huntington’s disease, which often leads to motor dysfunction and cognitive disorders. The Huntington’s disease, unlike the FXTAS Syndrome, has its clear intensive genetic markers and includes the psychiatric symptoms [17].
CONCLUSION
Exploring the FXTAS Syndrome is extremely important and topical for modern scientific and medical communities. The diagnostics of FXTAS Syndrome requires the thorough reviewing of the family history, the analysis of clinical symptoms with the neurovisualization results and arranging the genetic testing. Timely genetic testing for detecting the mutation in the FMR1 gene allows for providing the symptomatic therapy and rehabilitation, which is an important factor in maintaining the quality of life for the FXTAS Syndrome patients.
ADDITIONAL INFORMATION
Author contributions: E.S. Ostapchuk, review of publications on the topic of the article, scientific editing of the article; M.V. Malakhov, performance and description of radiation diagnostics, review of publications on the topic of the article; Yu.S. Morozova, description of a clinical case, review of publications on the topic of the article; V.V. Kuznetsov, S.S. Chikviladze, treatment of the patient, correction of the manuscript part of the text. Thereby, all authors provided approval of the version to be published and agree to be accountable for all aspects of the work in ensuring that questions related to the accuracy or integrity of any part of the work are appropriately investigated and resolved.
Consent for publication: The authors received written informed voluntary consent from the patient to publish personal data, including photographs (with the face covered), in a scientific journal, including its electronic version (signed on 2025 Feb 14). The volume of published data was agreed upon with the patient.
Funding sources: The study was carried out without attracting external funding.
Disclosure of interests: The authors declare no conflict of interests.
Statement of originality: The authors did not utilize previously published information (text, illustrations, data) in conducting the research and creating this paper.
Data availability statement: The editorial policy regarding data sharing does not apply to this work.
Generative AI: Generative AI technologies were not used for this article creation.
About the authors
Ekaterina S. Ostapchuk
Tyumen State Medical University; The Regional Clinical Hospital №1, Tyumen
Author for correspondence.
Email: ostapchukes2008@mail.ru
ORCID iD: 0000-0003-1176-4113
SPIN-code: 6877-6140
MD, PhD, Assistant Professor
Russian Federation, Tyumen; 55 Kotovskogo st, unit 3, Tyumen, 625023Maksim V. Malakhov
The Regional Clinical Hospital №1, Tyumen
Email: october27@mail.ru
ORCID iD: 0009-0000-4277-5857
Russian Federation, Tyumen
Sona S. Chikviladze
The Regional Clinical Hospital №1, Tyumen
Email: gvozdikaao@mail.ru
ORCID iD: 0009-0000-7328-0080
Russian Federation, Tyumen
Vitaly V. Kuznetsov
The Regional Clinical Hospital №1, Tyumen
Email: Vitalij.kuzneczov.1996@mail.ru
ORCID iD: 0009-0003-7721-1682
Russian Federation, Tyumen
Yuliya S. Morozova
Tyumen State Medical University
Email: dr.slavina@bk.ru
ORCID iD: 0009-0002-4422-4535
Russian Federation, Tyumen
References
- Cabal-Herrera AM, Tassanakijpanich N, Salcedo-Arellano MJ, Hagerman RJ. Fragile X-associated tremor/ataxia syndrome (FXTAS): pathophysiology and clinical implications. Int J Mol Sci. 2020;21(12):4391. doi: 10.3390/ijms21124391 EDN: TRLRPD
- Переверзева Д.С., Тюшкевич С.А., Горбачевская Н.Л., и др. Гетерогенность клинической картины при синдромах, ассоциированных с динамическими мутациями гена FMR1 // Журнал неврологии и психиатрии им. С.С. Корсакова. 2019. Т. 119, № 7. С. 103–111. [Pereverzeva DS, Tyushkevich SA, Gorbachevskaya NL, et al. Heterogeneity of clinical characteristics of FMR1-related disorders. S.S. Korsakov J Neurology Psychiatry. 2019;119(7):103–111]. doi: 10.17116/jnevro2019119071103 EDN: CHAHKE
- Красаков И.В., Литвиненко И.В., Дыскин Д.Е. Сложности диагностики синдрома тремора и атаксии, ассоциированного с ломкой Х-хромосомой // Известия Российской военно-медицинской академии. 2024. Т. 43, № 4. С. 481–487. [Krasakov IV, Litvinenko IV, Dyskin DE. Challenges in diagnosis of fragile X-associated tremor/ataxia syndrome. Russ Military Med Acad Rep. 2024;43(4):481–487]. doi: 10.17816/rmmar636637 EDN: OOKQUC
- Di Lazzaro G, Magrinelli F, Estevez-Fraga C, et al. X-linked parkinsonism: phenotypic and genetic heterogeneity. Mov Disord. 2021;36(7):1511–1525. doi: 10.1002/mds.28565 EDN: VSRBPT
- Pagano J, Lyakhovich A, Pallardo FV. Mitochondrial dysfunction in fragile X syndrome and fragile X-associated tremor/ataxia syndrome: prospect use of antioxidants and mitochondrial nutrients. Mol Biol Rep. 2024;51(1):480. doi: 10.1007/s11033-024-09415-7 EDN: ICCFVM
- Tassanakijpanich N, Hagerman RJ, Worachotekamjorn J. Fragile X premutation and associated health conditions: a review. Clin Genet. 2021;99(6):751–760. doi: 10.1111/cge.13924 EDN: ZVGSMO
- Adams JS, Adams PE, Nguyen D, et al. Volumetric brain changes in females with fragile X-associated tremor/ataxia syndrome (FXTAS). Neurology. 2007;69(9):851–859. doi: 10.1212/01.wnl.0000269781.10417.7b
- Dufour BD, Amina S, Martinez-Cerdeno V. FXTAS presents with upregulation of the cytokines IL12 and TNFα. Parkinsonism Relat Disord. 2021;82:117–120. doi: 10.1016/j.parkreldis.2020.11.026 EDN: IKUFBB
- Famula J, Ferrer E, Hagerman RJ, et al. Neuropsychological changes in FMR1 premutation carriers and onset of fragile X-associated tremor/ataxia syndrome. J Neurodev Discord. 2022;14(1):23. doi: 10.1186/s11689-022-09436-y EDN: ZFKBWH
- Salcedo-Arellano MJ, Johnson MD, McLennan YA, et al. Brain metabolomics in fragile X-associated tremor/ataxia syndrome (FXTAS). Cells. 2023;12(17):2132. doi: 10.3390/cells12172132 EDN: KEAZRG
- Tassone F, Protic D, Allen EG, et al. Insight and recommendations for fragile X-premutation-associated conditions from the fifth international conference on FMR1 premutation. Cells. 2023;12(18):2330. doi: 10.3390/cells12182330 EDN: GQTARI
- Cao Y, Peng Y, Kong HE, et al. Metabolic alterations in FMR1 premutation carriers. Front Mol Biosci. 2020;7:571092. doi: 10.3389/fmolb.2020.571092 EDN: OZFWTB
- Hagerman RJ, Hagerman P. Fragile X-associated tremor/ataxia syndrome: features, mechanisms and management. Nat Rev Neurol. 2016;12(7):403–412. doi: 10.1038/nrneurol.2016.82
- Tolosa E, Garrido A, Scholz SV, Poeve V. Challenges in the diagnosis of Parkinson’s disease. Lancet Neurol. 2021;20(5):385–397. doi: 10.1016/S1474-4422(21)00030-2
- McGinley MP, Goldschmidt CH, Ray-Grant AD. Diagnosis and treatment of multiple sclerosis: a review. JAMA. 2021;325(8): 765–779. doi: 10.1001/jama.2020.26858 EDN: ZAYQGZ
- Grigsby J. The fragile X mental retardation 1 gene (FMR1): historical perspective, phenotypes, mechanism, pathology, and epidemiology. Clin Neuropsychol. 2016;30(6):815–833. doi: 10.1080/13854046.2016.1184652
- Stoker TB, Mason SL, Greenland JK, et al. Huntington‘s disease: diagnosis and management. Pract Neurol. 2022;22(1):32–41. doi: 10.1136/practneurol-2021-003074 EDN: GHPMKG
Supplementary files






