The case of a patient with acute herpes-associated retinal necrosis
- Authors: Chuprov A.D.1, Firsov A.S.1, Barinov D.A.1
-
Affiliations:
- The S. Fyodorov Eye Microsurgery Federal State Institution
- Issue: Vol 16, No 3 (2025)
- Pages: 120-128
- Section: Case reports
- Submitted: 30.07.2025
- Accepted: 29.08.2025
- Published: 13.09.2025
- URL: https://clinpractice.ru/clinpractice/article/view/688478
- DOI: https://doi.org/10.17816/clinpract688478
- EDN: https://elibrary.ru/GVICNA
- ID: 688478
Cite item
Abstract
BACKGROUND: Acute retinal necrosis is a serious uveal syndrome of viral origin, which manifests with inflammatory reaction in the vitreous body and in the anterior chamber of the eye, along with the rapidly progressing peripheral necrotic retinitis and occlusive vasculitis. This condition is complicated by retinal detachment in 65–75% of the cases, which may lead to the complete loss of vision. The prognosis for the patients with acute retinal necrosis is generally unfavorable: in case of late diagnostics and insufficient treatment, there is a risk of irreversible blindness, while in 60% of the cases, a decrease in the visual functions below 0.1 is observed. CLINICAL CASE DESCRIPTION: The female patient М., aged 57 years, in 2023 was admitted with the complaints of decreased vision acuity and photophobia in her right eye developing 2 months after a previous episode of acute respiratory viral infection. Physical examination data for the right eye (OD): best corrected visual acuity 0.2, intraocular pressure 29 mm.Hg., the anterior-posterior size is 23.06 mm; according to the biomicroscopy data — pericorneal injection of the conjunctiva and variously sized white-colored precipitates along the whole corneal endothelium. 3 weeks after the initial treatment, the patient had retinal detachment with a decrease in visual acuity to light perception with proper light projection. After the conducted conservative and surgical ophthalmological treatment, including the treatment prescribed by the Infectious Disease Physician, from the beginning of 2024 and to the present day, the periodical control examinations reveal the best corrected visual acuity of 0.1–0.2 in the right eye (OD) of the patient. The intraocular pressure is 15–16 mm.Hg, the anterior-posterior size in 2025 became equal to 21.63 mm. The field of vision has changed insignificantly, without any clear negative changes. Ophthalmoscopically and according to the data from the optical coherence tomography, there is a persisting cystous intraretinal edema, tangential-traction syndrome and pre-retinal membrane in the right eye with no negative changes; the retina is attached in all the meridians. CONCLUSION: This case underlines the importance of the combined and multidisciplinary approach to the diagnostics and treatment of ophthalmological diseases caused by viral infections.
Full Text
BACKGROUND
Acute retinal necrosis (ARN) represents a syndrome of acute panuveitis with retinal periarteritis, which progresses into the diffuse necrotic retinitis and retinal detachment. The syndrome was first described in 1971 by A. Urayama et al. [1]. In 1982, a research conducted by the team of W.W. Culbertson using the electronic microscopy, allowed for detecting the herpes virus in all the layers of the affected retina, which has confirmed the participation of viruses in the development of the disease. The main etiological factors of acute retinal necrosis are the Varicella zoster virus, as well as the Herpes simplex virus (HSV-1 and HSV-2), the Cytomegalovirus and the Epstein-Barr virus. Extremely rarely ARN occurs as a result of co-infection with several viruses [2–4]. In the pathogenesis of this disease, a definite role can be played by the carriership of the main histocompatibility complex alleles (human leucocyte antigens, HLA), in particular, DQw7, Bw62 and DR4 [5].
Acute retinal necrosis is a socially significant problem, for it belongs to the group of serious inflammatory diseases of the posterior segment of the eye, accompanied by high rates of incapacitation among the patients. The rate of developing ARN varies from 2% to 7% among all the cases of uveitis [6]. Within the territorial borders of the Russian Federation, among the patients with severe uveitides, receiving therapy within the premises of the ophthalmology in-patient unit, ARN occurs in 8.9% of the cases [7].
According to the data from scientific literature, ARN is often observed in the individuals without serious somatic diseases, less frequently it can be found among the ones suffering from the immunodepressive diseases or undergoing the immunosuppressive therapy. This disease can develop at any age and it is more commonly seen among men [8].
The diagnosis of ARN is set based on the examination results in accordance with the criteria developed by the American Uveitis Society in 1994. The standard criteria include the following: the presence of retinal necrosis foci in the peripheral areas of the retina, the rapid progression of the disease in the absence of antiviral therapy with concentric spreading along the circumference of the retina to the central area, as well as the development of the occlusive vasculopathy and significant inflammatory reaction in the vitreous body [9, 10]. ARN is characterized by an acute unilateral course, while the bilateral variation is observed in 8.7–33% of the cases [11, 12]. With this, both eyes are not always affected simultaneously: generally, signs of the disease in the second eyeball were developing within 12–14 weeks from the moment of detecting the disease, however, in 3.4% and 13.6% of the cases, this occurred after 2 and 4 years of follow-up, respectively [11, 13].
The prognosis for ARN is generally unfavorable: in cases of late diagnostics and insufficient treatment, blindness develops in 64% of the cases, with the vision acuity decreasing down to less than 0.1 in 60% of the cases. ARN can be complicated by retinal detachment in 65–75% of the cases, by the ischemic neuropathy of the optic nerve, by the occlusion of the central retinal vein and by the haemophthalmos. Ultimately, the disease leads to retinal atrophy, partial optic nerve atrophy and proliferative vitreoretinopathy [14–16].
The treatment of acute retinal necrosis includes the intensive therapy directed at fighting the viruses, the inflammation and at strengthening the immune system, accompanied by the use of antiaggregants and anticoagulants [6, 17]. In case of occurring peripheral ruptures in the retina, laser coagulation is conducted [6]. Surgical treatment methods for ARN complications, such as retinal detachment and fibrosis of the vitreous body, include the vitrectomy [10, 18, 19].
After an episode of ARN, the patient requires dynamic follow-up, allowing for timely detection of the pathological changes that need urgent treatment.
The article provides an evaluation of the efficiency of the conducted treatment in a patient with acute retinal necrosis, developing after a previous episode of acute respiratory viral infection and after an exacerbation of herpetic infection.
CLINICAL CASE DESCRIPTION
Patient information
Female patient М., aged 57 years, in 2023 has visited the Orenburg affiliated branch of the Federal State Autonomous Institution “National Medical Research Center “The Interdisciplinary Scientific-Technical Complex “S. Fyodorov Eye Microsurgery Federal State Institution” under the Ministry of Health of the Russian Federation (FSAI NMRC ISTC S. Fyodorov Eye Microsurgery Federal State Institution under the Ministry of Health of the Russian Federation) with the complaints of decreased vision acuity, photophobia in her right eye developing 2 months after a previous episode of acute respiratory viral infection (ARVI).
Case history. The female patient had an ARVI within a week, after which she was noting the exacerbation of herpetic infection, as well as the development of iridocyclitis in her right eye. No specific treatment for ARVI or herpetic infection was provided to her. Due to the iridocyclitis in the right eye, she was receiving instillations of antibiotics, antiviral medicines, non-steroid anti-inflammatory medications and subconjunctival injections of dexamethasone. With a background of therapy, no clear positive changes were reported and in 2 months after an ARVI, the female patient has noted a rapid deterioration of the vision in her right eye. For the verification of diagnosis, the patient was referred to the Orenburg affiliated branch of the FSAI NMRC ISTC S. Fyodorov Eye Microsurgery Federal State Institution under the Ministry of Health of the Russian Federation.
Of all the concomitant diseases, the patient reports chronic viral hepatitis С and chronic herpesviral infection.
Ophthalmology history — not compromised.
Laboratory and instrumental diagnosis
After an examination, the best corrected visual acuity (BCVA) in the right eye (oculus dexter, OD) was 0.2, while in the left one (oculus sinister, OS) — 0.9–1.0; the pneumotonometry values were 29 and 23 mm.Hg.; the anterior-posterior dimensions of the eyes according to the data from optic biometry were 23.06 mm and 22.9 mm, respectively. The data from the kinetic spheroperimetry are provided in Fig. 1.
Fig. 1. The kinetic spheroperimetry upon the initial examination: the detected findings include a narrowing of the vision field margins in the right eye (OD), more in the temporal and the nasal meridians, the left eye (OS) is unremarkable.
According to the biomicroscopy data, the anterior and posterior segments of the left eye were unremarkable. The right eye was showing pericorneal injection of the conjunctiva, variously sized white-colored precipitates all along the retinal endothelium.
Fundoscopy (ophthalmoscopy): the vitreous body of the right eye contains a suspension of fibrin and coagulated blood; the retina is not accessible for examination.
Ultrasound examination using the Quantel Medical Aviso V:5.0.0 (France) ophthalmology diagnostics scanner: the vitreous body of the right eye contains multiple inclusions visualized as bodies, flakes, chords and adhesions, with the retrovitreal areas of turbidity with various echogenicity, non-fixated posterior detachment of the vitreous body (Fig. 2).
Fig. 2. Ultrasound examination of the right eye: multiple inclusions were found, visualized as bodies, flakes (yellow arrow), strands and adhesions of various echogenicity (green arrow), non-fixated posterior detachment of the vitreous body (blue arrow).
Provisional diagnosis
Vitreous opacity, vitreitis, consequences of past iridocyclitis in the right eye.
The recommendations included conducting the endovitreal intervention.
Upon performing the microinvasive vitrectomy with endo-laser coagulation of the retina, the findings include the desolation in the blood vessels of the lower-temporal arcade, hemorrhages and microaneurisms in the nasal meridians at the close and middle peripheral areas of the ocular fundus, where the surgical intervention was actually conducted (Fig. 3).
Fig. 3. Intraoperative photography image of the ocular fundus of the right eye: desolation of the vessels in the lower-temporal arcade (blue arrow), hemorrhages (yellow arrow) and microaneurisms (green arrow) in the nasal meridians in the close and the middle periphery of the ocular fundus.
On the next day after surgery, the female patient was discharged with positive changes for further out-patient treatment with the recommendation to undergo an examination at the infectiologist’s office. On discharge, the BCVA of her right eye was 0.75; pneumotonometry — 11 mm.Hg.; the vision field, according to the data from kinetic spheroperimetry, has increased (Fig. 4).
Fig. 4. Kinetic spheroperimetry of the right eye during the first 24 hours after surgery: the observations include significant enlargement of the vision field margins in the right eye.
Two weeks after surgery, the female patient has again presented to the Orenburg affiliated branch of the FSAI NMRC ISTC S. Fyodorov Eye Microsurgery Federal State Institution under the Ministry of Health of the Russian Federation with the complaints of rapid deterioration of vision in the right eye, with developing the “curtain” in front of it. During this period, the female patient was examined at place of residence by the infectiologist and was tested for the presence of infections, caused by the Herpesviridae family of viruses: an increased titer of antibodies to HSV-1 was found, due to which, by the prescription from the physician, she was receiving glucocorticoids (Prednisolone) at high dosages.
Upon the examination, the BCVA in the right eye is 1/∞ pr.l.certae (light perception with correct light projection), in the left one — 1.0. The pneumotonometry parameters were 16 and 19 mm.Hg., respectively. Due to the absence of spatial vision on the right eye, the field of vision in it was not examined, in the left eye it was normal.
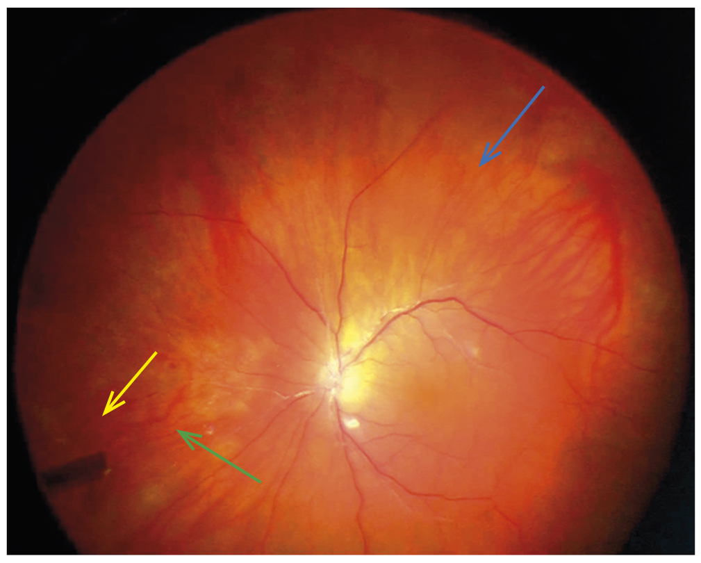
According to the data from biomicroscopy, the anterior and the posterior segments of her left eye were unremarkable. The right eye was showing superficial conjunctival injection, initial turbidity in the eye lens. Fundoscopy (ophthalmoscopy): mobile dome with total retinal detachment and with the rupture from the ora serrata at 5–9 o’clock (Fig. 5, a); in the lower- and upper-inner quadrants, as well as in the upper-external quadrant, there is a peripheral necrosis of retina along the ora serrata (Fig. 5, b–d).
Fig. 5. Intraoperative (2 weeks after surgical intervention) photography images of the posterior segment of the right eye: a — total retinal detachment with a tear at 5–9 o’clock from the ora serrata (blue arrow); peripheral necrosis of the retina along the ora serrata (green arrow): b — lower-internal quadrant; c — upper-internal quadrant; d — upper-external quadrant.
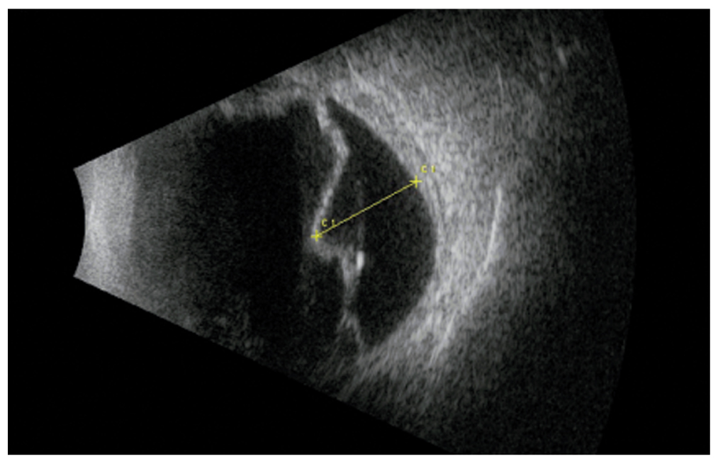
Ultrasound examination of the right eye: the scanned findings in the vitreal cavity were showing multiple inclusions visualized as bodies and strands; the total retinal detachment was observed in all the meridians at the close, the middle and the marginal periphery with retinal dialysis from the ora serrata at the 5–9 o’clock meridian, the detachment height is up to 8 mm, the retina is mobile (Fig. 6).
Fig. 6. Ultrasound examination of the right eye 2 weeks after surgery: total retinal detachment is observed in all the meridians at the close, the middle and the marginal periphery with a retinal tear from the ora serrata at the 5–9 o’clock meridian, with a height of up to 8 mm, the retina is mobile.
Definitive diagnosis
Retinal detachment with retinal tear, acute retinal necrosis (presumably, herpes-associated), avitria, operated haemophthalmos, primary complicated cataract in the right eye.
Treatment
An endovitreal intervention was conducted (retinotomy, membrane peel and tamponade with perfluoroorganic compounds) with simultaneous phacoemulsification of the cataract and an implantation of the intraocular lens into the right eye with further (in 5 days) replacement of the perfluoroorganic compound with silicone oil (Densiron) and retinal endo-laser coagulation.
follow-up and outcomes
On discharge, the BCVA in the right eye was 0.3; the pneumotonometry result was 16 mm.Hg.; the field of vision, according to the data from kinetic spheroperimetry, has increased (Fig. 7).
Fig. 7. Kinetic spheroperimetry of the right eye after a repeated surgical intervention: the observations include significant enlargement of the vision field comparing to preoperative (not defined).
Fundoscopy (ophthalmoscopy): the vitreal cavity contains silicone oil; the optic nerve disc is slightly pale, monotonous; the retina is attached, the retinotomy margins are adapted, pronounced coagulates were found.
During the control examination in 2.5 month after surgery: BCVA in the right eye — 0.35; pneumotonometry — 24 mm.Hg.; the field of vision has practically not changed comparing to the previous examination; the left eye has no changes.
Biomicroscopy of the right eye: superficial injection of the conjunctiva; the intraocular lens is centered. Ophthalmoscopy of the right eye: tamponade with silicone oil, the silicone oil is emulsified; the optic nerve disc is slightly pale, monotonous; the retina is attached in all the meridians; the retinotomy margins are adapted, the coagulated areas are pronounced.
Biomicroscopy and ophthalmoscopy of the left eye — no abnormalities.
A decision was drawn on changing the silicone oil due to its emulsification.
On discharge, the BCVA in the right eye was 0.02; pneumotonometry was showing 10 mm.Hg.; the field of vision, according to the data from kinetic spheroperimetry, has not changed.
Fundoscopy (ophthalmoscopy): the vitreal cavity contains silicone oil; the optic nerve disc is slightly pale, monotonous; the retina is attached, the retinotomy margins are adapted, the coagulates are pronounced.
At the control visit in 4 months after the repeated endovitreal intervention: the BCVA in the right eye is 0.05, in the left eye one — 0.9; tonometry (Maklakov, 10 g weight) — 15 and 20 mm.Hg. respectively. According to the data from kinetic spheroperimetry, a concentric narrowing was found in the margins of the vision fields of the right eye; the left eye shows no changes (Fig. 8).
Fig. 8. Kinetic spheroperimetry during the control visual examination in 4 months: concentric narrowing of the vision field margins in the right eye (OD); left eye (OS) — no changes.
Biomicroscopy of the right eye: superficial conjunctival injection; the intraocular lens is centered. Ophthalmoscopy of the right eye using the Mirante (Japan) scanning laser ophthalmoscope: tamponade with silicone oil; the optic nerve disc is slightly pale, monotonous; the fovea has signs of cystoid macular edema; the retina is attached in all the meridians, the retinotomy margins are adapted, the coagulates are pronounced (Fig. 9).
Fig. 9. Photography image of the ocular fundus in the right eye in 4 months: tamponade with silicone oil, the optic nerve disk is slightly pale, monotonous, the fovea has signs of cystoid macular edema, the retina is attached at all the meridians, the retinotomy margins are adapted, pronounced coagulates were found.
The biomicroscopy and ophthalmoscopy findings in the left eye were showing no signs of abnormalities.
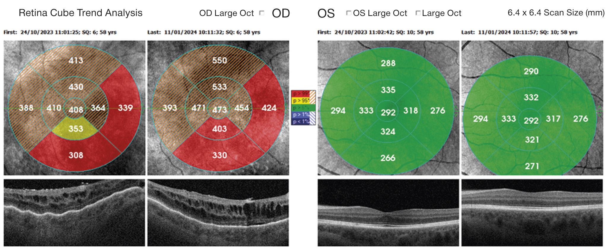
According to the data from the optical coherence tomography (RTVue-100, Optovue, USA) a rough impairment of the retinal architectonics was found, along with cystoid intraretinal edema, tangential traction syndrome and a pre-retinal membrane (Fig. 10).
Fig. 10. Optical coherence tomography: rough impairment of the retinal architectonics, cystoid intraretinal edema, tangential traction syndrome, pre-retinal membrane in the right eye (OD); left eye (OS) — unremarkable.
After the conducted conservative and operative ophthalmology treatment, as well as after the treatment prescribed by the Infectious Disease Physician, the patient, from the beginning of 2024 and to the present day, during the periodical control check-ups, has her BCVA values in the right eye varying within the range of 0.1–0.2, the intraocular pressure measured using the Maklakov’s method (10 g weight) was 15–16 mm.Hg.; the anterior-posterior dimension of the right eye, according to the data from optic biometry, in 2025 was 21.63 mm. The field of vision in the right eye has changed insignificantly with no clear negative changes. Ophthalmoscopically and according to the data from the optical coherence tomography, there is a persisting cystoid intraretinal edema, tangential traction syndrome; the pre-retinal membrane in the right eye has no negative changes; the retina is attached in all the meridians. The left eye shows no signs of abnormalities.
Prognosis
Taking into consideration the pattern of retinal damage, the prognosis regarding the vision is unfavorable. The female patient is still under dynamic medical supervision and continues receiving therapy prescribed by the infectiologist and by the immunologist.
DISCUSSION
This case illustrates the complexity of clinical signs and of managing the patients with ARN caused by the herpesviral infections, with an accent at the necessity for combined approach in the diagnostics and treatment of this disease. It should be noted that the viruses of the Herpesviridae family can cause serious eye diseases, including the vitreitis and the acute retinal necrosis, which may lead to the retinal detachment. In the investigated clinical case, despite the adequate treatment, the disease continued progressing, which emphasizes the necessity for a more active approach to the treatment and the importance of thorough monitoring the eye status in patients with such complications.
The examination results indicate that, even after a surgical intervention, the restoration of vision could be insufficient, which requires further research and, probably, implementing new treatment methods. Also required is the development of procedures for timely diagnostics of ARN in patients with herpesviral infections, as well as arranging additional research for the purpose identifying the optimal strategies for therapy and prevention of ophthalmology complications in such patients for improving the disease prognosis and the quality of life.
CONCLUSION
The presented case of the patient with acute retinal necrosis, developing after an ARVI and after an exacerbation of the herpesviral infection, underlines the importance of early diagnostics and combined treatment of viral infections, as well as the necessity of multidisciplinary approach in the treatment of such diseases. Despite the conducted therapeutic and surgical procedures, the complete restoration of the visual functions in our patient did not occur, due to which, further research is required on the issues of improving the methods of early diagnostics, therapy and prevention of the recurrences of this incapacitating disease, the methods capable of resulting in positive clinical outcomes in patients with ophthalmological complications caused by viral infections.
ADDITIONAL INFORMATION
Author contributions: A.D. Chuprov, concept and design of the study; A.S. Firsov, surgical treatment and examination of the patient; D.A. Barinov, processing of the study results, writing the text of the article. Thereby, all authors provided approval of the version to be published and agree to be accountable for all aspects of the work in ensuring that questions related to the accuracy or integrity of any part of the work are appropriately investigated and resolved.
Consent for publication: The authors received written informed voluntary consent from the patient to publish personal data, including photographs (with the face covered), in a scientific journal, including its electronic version (signed on 2023 Mar 09). The volume of published data was agreed upon with the patient.
Funding sources: The article was prepared without attracting external funding.
Disclosure of interests: The authors declare no conflict of interests.
Statement of originality: The authors did not utilize previously published information (text, illustrations, data) in creating this article.
Data availability statement: The editorial policy regarding data sharing does not apply to this work.
Generative AI: Generative AI technologies were not used for this article creation.
About the authors
Aleksandr D. Chuprov
The S. Fyodorov Eye Microsurgery Federal State Institution
Email: nauka@ofmntk.ru
ORCID iD: 0000-0001-7011-4220
MD, PhD, Professor
Russian Federation, Orenburg branch, OrenburgAleksandr S. Firsov
The S. Fyodorov Eye Microsurgery Federal State Institution
Email: a.s.firsov93@yandex.ru
ORCID iD: 0000-0001-5523-7927
SPIN-code: 9278-3867
Russian Federation, Orenburg branch, Orenburg
Dmitriy A. Barinov
The S. Fyodorov Eye Microsurgery Federal State Institution
Author for correspondence.
Email: barinov-dmitriyy@lenta.ru
ORCID iD: 0009-0000-2385-834X
Russian Federation, 17 Salmyshskaya st, Orenburg, 460047
References
- Urayama A, Yamada N, Sasaki T, et al. Unilateral acute uveitis with retinal periarteritis and detachment. Jpn J Clin Ophthalmol. 1971;25:607–619. In: Google Scholar.
- Schoenberger SD, Kim SJ, Thorne JE, et al. Diagnosis and treatment of acute retinal necrosis: a report by the American Academy of Ophthalmology. Ophthalmology. 2017;124(3):382–392. doi: 10.1016/j.ophtha.2016.11.007
- Shantha JG, Weissman HM, Debiec MR, et al. Advances in the management of acute retinal necrosis. Int Ophthalmol Clin. 2015;55(3):1–13. doi: 10.1097/IIO.0000000000000077
- Рюмин А.М., Павлова А.А., Отмахова И.А., Хряева О.Л. Острый некроз сетчатки, вызванный вирусом опоясывающего герпеса // Вестник офтальмологии. 2020. Т. 136, № 6-2. С. 236–241. [Ryumin AM, Pavlova AA, Otmahova IA, Khryaeva OL. Acute retinal necrosis caused by varicella zoster virus. Russ Ann Ophthalmol. 2020;136(6-2):236–241]. doi: 10.17116/oftalma2020136062236 EDN: EMGHYL
- Holland GN, Cornell PJ, Park MS, et al. An association between acute retinal necrosis syndrome and HLA-DQw7 and phenotype Bw62, DR4. Am J Ophthalmol. 1989;108(4):370-374. doi: 10.1016/s0002-9394(14)73303-3 PMID: 2801857.
- Панова И.Е., Дроздова Е.А. Увеиты: руководство для врачей. Москва: Медицинское информационное агентство, 2014. [Panova IE, Drozdova EA. Uveitis: a guide for doctors. Moscow: Meditsinskoe informatsionnoe agentstvo; 2014. (In Russ.)] ISBN: 9785998601842
- Neroev V, Tankovskiy V, Krichevskaia G. Serological evaluation of the immune status of patients with acute retinal necrosis. In: Proc. of 9th International Symposium on Uveitis. Dublin; 2016. P. 81–82.
- Cheraqpour K, Ahmadraji A, Rashidinia A, et al. Acute retinal necrosis caused by co-infection with multiple viruses in a natalizumab-treated patient: a case report and brief review of literature. BMC Ophthalmol. 2021;21(1):337. doi: 10.1186/s12886-021-02096-x EDN: UNEDPS
- Обрубов А.С., Ширшова Е.В., Бурденко Н.Г., и др. Случай двустороннего некротизирующего герпетического ретиноваскулита после перенесенной недиагносцированной микоплазменной инфекции (атипичной пневмонии) // Офтальмохирургия. 2014. № 4. С. 101–108. [Obrubov AS, Shirshova EV, Burdenko NG, et al. A case of bilateral non-necrotizing herpetic retinovasculitis after undiagnosed pneumonia caused by mycoplasma pneumoniae infection. Fyodorov J Ophthalm Surg. 2014;(4):101–108]. EDN: TGIWKJ
- Lei B, Jiang R, Wang Z, et al. Bilateral acute retinal necrosis: a case series. Retina. 2020;40(1):145–153. doi: 10.1097/IAE.0000000000002341 EDN: CJAKAJ
- Khochtali S, Abroug N, Kahloun R, et al. Pattern of acute retinal necrosis in a referral center in Tunisia, North Africa. Ocul Immunol Inflammat. 2015;23(5):371–377. doi: 10.3109/09273948.2014.925125
- Roy R, Pal BP, Mathur G, et al. Acute retinal necrosis: clinical features, management and outcomes: a 10 year consecutive case series. Ocul Immunol Inflammat. 2014;22(3):170–174. doi: 10.3109/09273948.2013.819928
- Empeslidis T, Konidaris V, Brent A, et al. Kyrieleis plaques in herpes zoster virus-associated acute retinal necrosis: a case report. Eye. 2013;27(9):1110–1112. doi: 10.1038/eye.2013.110
- Mojarrad A, Omidtabrizi A, Astaneh MA. Acute retinal necrosis. Management and visual outcomes: a case series. Int J Retina Vitreous. 2022;8(1):66. doi: 10.1186/s40942-022-00417-w EDN: WRPMBM
- Нероев В.В., Илюхин П.А., Федотов Р.А., Танковский В.Э. Результаты хирургического лечения острого некроза сетчатки // Российский офтальмологический журнал. 2018. Т. 11, № 1. С. 5–11. [Neroev VV, Ilyukhin PA, Fedotov RA, Tankovsky VE. Results of surgical treatment of acute retinal necrosis. Russ Ophthalmol J. 2018;11(1):5–11]. doi: 10.21516/2072-0076-2018-11-1-5-11 EDN: YSFDBR
- Арбеньева Н.С., Чехова Т.А., Дулидова В.В., и др. Клинический случай пациентки с острым ретинальным некрозом // Современные проблемы науки и образования. 2022. № 4. С. 152. [Arbenyeva NS, Chehova TA, Dulidova VV, et al. Clinical case of a patient with acute retinal necrosis. Sovremennye problemy nauki i obrazovaniya. 2022:(4):152]. doi: 10.17513/spno.31850 EDN: KMIVJB
- Кански Дж.Д., Милевски С.А., Дамато Б.Э., Тэннер В. Заболевания глазного дна. 2-е изд. Под ред. С.Э. Аветисова. Москва: МЕДпресс-информ; 2024. 424 с. [Kanski DD, Milevski SA, Damato BE, Tenner V. Diseases of the fundus. 2nd ed. Avetisov SE, editor. Moscow: MEDpress-inform; 2024. 424 р. (In Russ.)]
- Нероев В.В., Илюхин П.А., Танковский В.Э., Федотов Р.А. Хирургическое лечение острого некроза сетчатки // Современные технологии в офтальмологии. 2018. № 3. С. 125–127. [Neroev VV, Ilyukhin PA, Tankovskiy VE, Fedotov RA. Surgical treatment of acute retinal necrosis. Sovremennye tekhnologii v oftal’mologii. 2018;(3):125–127. (In Russ.)]. EDN: UTKIJC
- Бурий В.В., Сенченко Н.Я., Малышев В.В. Клиническая эффективность микроинвазивной витрэктомии в реабилитации пациентов с осложнениями задних увеитов // Бюллетень Восточно-Сибирского научного центра Сибирского отделения Российской академии медицинских наук. 2011. № 6. С. 14–16. [Bury VV, Senchenko NY, Malyshev VV. Clinical efficiency of microinvasive vitrectomy in rehabilitation of patients with posterior uveitis complications. Bulletin of the East Siberian Scientific Center SB RAMS. 2011;(6):14–16]. EDN: OTLYRT
Supplementary files













