Facet syndrome. Minimally invasive surgical treatment. Clinical case with a literature review
- Authors: Potapov V.E.1, Sorokovikov V.A.1,2, Larionov S.N.1, Zhivotenko A.P.1
-
Affiliations:
- Irkutsk Scientific Centre of Surgery and Traumatology
- Irkutsk State Medical Academy of Postgraduate Education — Branch Campus of the Russian Medical Academy of Continuing Professional Education
- Issue: Vol 12, No 4 (2021)
- Pages: 92-99
- Section: Case reports
- Submitted: 30.09.2021
- Accepted: 03.11.2021
- Published: 15.12.2021
- URL: https://clinpractice.ru/clinpractice/article/view/81435
- DOI: https://doi.org/10.17816/clinpract81435
- ID: 81435
Cite item
Full Text
Abstract
Background: Degenerative pathology of the facet joints of the lumbar spine remains a significant medical and social problem due to persistent pain syndrome, high incidence and disability rate.
Clinical case description: A patient complaining of pain and discomfort in the lumbosacral spine on the right, arising in the upright position, intensifying with bending and flexion-extension of the trunk, and periodically spreading to the right gluteal region and along the posterior surface of the thigh, was admitted to the neurosurgical department of the Irkutsk Scientific Center of Surgery and Traumatology. A surgical treatment was performed in the form of dereception of the LII–LIII, LIII–LIV, LIV–LV arch-process joints. In the postoperative period, the patient noted a decrease in the intensity of pain in the lumbosacral spine to 3 points by a visual analog scale and was discharged from the department on the 5th day after the surgery in a satisfactory condition.
Conclusion: Facet joint pathologies represent a most common nosological form of the degenerative-dystrophic process (spondyloarthrosis) and a potential source of pain with the formation of instability of the spinal motion segment and chronic pain syndrome. The complex anatomical and topographic relationships between the facet joints, intervertebral discs, and radicular nerves force clinicians to pay attention to the pathology of facet syndrome. Understanding the morphological, clinical, and radiological features of the course of the facet joint degeneration makes it possible to increase the diagnostic capabilities for detecting facet syndrome of the lumbar spine and effectively apply transcutaneous surgical technologies for the treatment of chronic pain syndromes.
Keywords
Full Text
ОБОСНОВАНИЕ
Боли в поясничном отделе — распространенная патология позвоночника, которая достигает 65% от числа всех заболеваний нервной системы и нарастает пропорционально увеличению продолжительности жизни населения и его старению [1, 2]. Одной из основных причин развития боли в поясничном отделе позвоночника является дегенеративная патология дугоотростчатых суставов, приводящая к развитию хронического болевого синдрома [3, 4]. Результаты комплексных клинико-диагностических исследований выявили, что частота постоянных болей при патологии дугоотростчатых суставов колеблется от 27 до 40% [3, 5, 6], а при спондилоартрозах достигает 50–70% [7].
Сложное анатомо-функциональное строение позвоночно-двигательного сегмента и возникающие в нем морфологические изменения дегенеративно-дистрофического характера позволяют ряду авторов утверждать, что генез болевого синдрома в значительном количестве случаев является не только полиэтиологичным, но и полипатогенетичным [8–10]. Очевидно, проблема дегенеративно- дистрофических заболеваний позвоночника является медико-социальной как по причине высокой частоты инвалидизации, так и длительной утраты трудоспособности [11, 12].
Известны различные малоинвазивные хирургические перкутанные технологии в лечении фасет-синдрома [1, 5, 6, 11], направленные на денервацию (нейротомию) зигапофизарных суставов, в частности путем воздействия на иннервирующий фасеточные суставы нерв Люшка, различными методами — химическими, механическими, термическими (крио- или термодеструкция). Цель данных методик — уменьшить болевую импульсацию от дугоотростчатых суставов при дегенеративно-дистрофических и патологических изменениях в них.
Полиморфная клиническая симптоматика, сложная дифференциальная диагностика хронического болевого синдрома предъявляют особые требования к методам интроскопии при дегенеративной патологии позвоночника, что находит свое подтверждение в ниже представленном клиническом случае.
КЛИНИЧЕСКИЙ ПРИМЕР
О пациенте
Пациент О., 1953 года рождения, поступил в нейрохирургическое отделение Иркутского научного центра хирургии и травматологии (ИНЦХТ) 09.06.2021 с жалобами на интенсивные боли и дискомфорт в пояснично-крестцовом отделе позвоночника справа, возникающие в вертикальном положении и усиливающиеся при наклонах и сгибании-разгибании туловища с периодическим распространением в правую ягодичную область и по задней поверхности бедра.
Объективно. Положение вынужденное: в положение стоя отмечается наклон туловища влево; лежит на левом боку, поясничный лордоз сглажен. Интенсивность болевого синдрома уменьшается при фиксации поясничного отдела позвоночника ортопедическим корсетом. Повороты и наклоны вызывают усиление локальных болей в поясничном отделе позвоночника и ограничивают активные движения.
Локальный статус. Пальпаторно определяется резкая болезненность паравертебрально в проекции дугоотростчатых суставов справа и усиливается при надавливании с распространением болей в область пояснично-крестцового сочленения и правую ягодичную область. Определяются анталгический левосторонний сколиоз с напряжением паравертебральных мышц поясничного отдела позвоночника и сглаженность поясничного лордоза. Симптомы натяжения нижних конечностей не выявлены. Нагрузочные провокационные тесты Асеведо и Кемпа положительны [5]. Пациент оценил интенсивность болевого синдрома по визуально-аналоговой шкале (ВАШ) в 8 баллов.
Лабораторная и инструментальная диагностика
Исследование поясничного отдела позвоночника методом магнитно-резонансной томографии (МРТ) не выявило компрессии невральных структур позвоночного канала и признаков фораминального стеноза (рис. 1). Определяются дегенеративно-дистрофические изменения в дугоотростчатых суставах: суставные щели неравномерной ширины, замыкательные пластинки неровные, склерозировны. Спондилоартроз больше выражен справа на уровне LIII–LIV.
Рис. 1. Магнитно-резонансная томография поясничного отдела позвоночника: а — Т1-взвешенное изображение в сагиттальной проекции (гипоинтенсивный сигнал суставной щели гипертрофированных дугоотростчатых суставов LIII–LIV, стрелка); б — Т2-взвешенное изображение во фронтальной проекции (гипоинтенсивный сигнал суставной щели гипертрофированных дугоотростчатых суставов LIII–LIV, стрелка); в — Т1-взвешенное изображение в аксиальной проекции (гипоинтенсивный сигнал суставной щели гипертрофированных дугоотростчатых суставов LIII–LIV, стрелка). Тяжесть дегенеративных изменений в зигапофизарном суставе LIII–LIV справа соответствует IV степени по классификации A. Fujiwara. / Fig. 1. Magnetic resonance imaging of the lumbar spine: а — a T1-weighted image in the sagittal projection (a hypointensive signal of the articular gap of hypertrophied LIII–LIV arch-process joints, arrow); б — a T2-weighted image in the frontal projection (a hypointensive signal of the articular gap of the hypertrophied LIII–LIV arch–process joints, arrow); в — a T1-weighted image in the axial projection (hypointensive signal of the articular gap of the hypertrophied LIII–LIV arch-process joints, arrow). The severity of degenerative changes in the zygapophyseal LIII–LIV joint on the right corresponds to the IV degree according to A. Fujiwara’s classification.
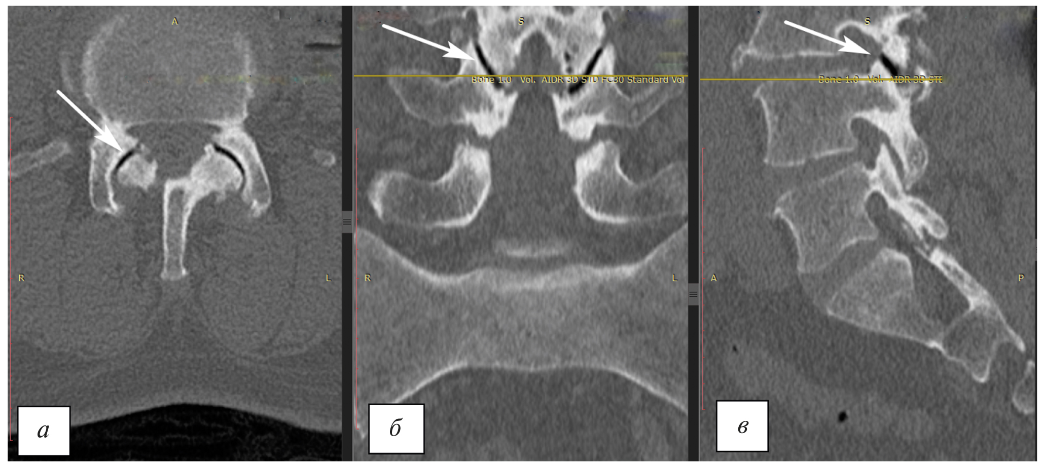
По результатам исследования поясничного отдела позвоночника методом мультиспиральной компьютерной томографии (МСКТ) выявлены дегенеративно-дистрофические изменения (рис. 2).
Рис. 2. Мультиспиральная компьютерная томография поясничного отдела позвоночника: а — аксиальная проекция; б — фронтальная проекция; в — сагитальная проекция. Стрелками указан гипертрофированный дугоотростчатый сустав LIII–LIV справа с явлением «вакуум-эффекта». / Fig. 2. Multispiral computed tomography of the lumbar spine: а — axial projection; б — frontal projection; в — sagittal projection. The arrows indicate the hypertrophied zygapophyseal LIII–LIV joint on the right with the phenomenon of the “vacuum effect”.
Диагноз: Дорсопатия. Спондилез более выраженный на уровне LIII–LIV («вакуум-эффект», люмбалгия, люмбоишиалгический и мышечно-тонический синдромы, что соответствует IV степени по классификации D. Weishaupt). Фасет-синдром. Стойкий болевой и мышечно-тонический синдром.
Оперативное лечение
После подтверждения диагноза пациенту выполнена диагностическая блокада зигапофизарного сустава LIII–LIV справа под рентген-контролем с использованием электронно-оптического преобразователя компании Siemens (Германия). Блокада проведена с применением анестетика ропивакаина (5 мг/1 мл, 10 мл) и суспензии для инъекций Кеналог (40 мг/мл, 1 мл). Болевой синдром в поясничном отделе позвоночника был купирован в течение 24 ч; интенсивность боли по ВАШ оценена пациентом в 1 балл. Пальпаторно: паравертебрально в проекции дугоотростчатых суставов справа триггерные точки не определяются.
Рекомендовано оперативное лечение в объеме дерецепции дугоотростчатых суставов LII–LIII, LIII–LIV, LIV–LV справа.
Показания:
1) боль в поясничном отделе позвоночника или нерадикулярная продолжительностью не менее 3 мес;
2) отсутствие доказательств дискогенной этиологии боли;
3) положительный эффект на диагностические блокады со стандартным критерием снятия боли 75 или 80%.
Абсолютные противопоказания:
1) отказ пациента от лазерной нейротомии;
2) наркотическая зависимость или психические расстройства пациента;
3) инфекционные заболевания кожи в месте манипуляции;
4) соматические и системные заболевания в стадии декомпенсации;
5) отрицательный ответ на диагностическую блокаду.
Относительные противопоказания:
1) возраст пациента старше 75 лет;
2) коагулопатия (МНО >1,5 и количество тромбоцитов <50×103) у пациентов на фоне антикоагулянтной терапии, при невозможности ее отменить на период до 3–7 дней.
Ход операции (11.06.2021). После обработки операционного поля под местной инфильтрационной анестезией раствором новокаина 0,25% в дозе 20,0 мл, в положении больного на животе, в проекции остистых отростков LIII, LIV и LV, отступя на 6,5 см правее и латеральнее средней линии, из заднебокового доступа произведены проколы кожи и подкожной клетчатки в трех точках — до задних структур LIII, LIV, LV поясничных позвонков к основанию поперечного отростка в проекции соединения его с верхним суставным отростком. Под контролем электронно-оптического преобразователя проведена установка игл в проекции фасеточных суставов LII–LIII, LIII–LIV и LIV–LV, соответствующей точке «scotty dog»*. Фасеточный сустав иннервируется медиальной порцией задней ветви спинномозгового нерва, расположенной в дорсальной части корня поперечного отростка нижнего позвонка, и является ключевой точкой для нейротомии при фасет-синдроме [13]. В процедуре применяли диодный лазер «АЛОД-01» с длиной волны 810–1061 нм (сертификат соответствия № РОСС RU.АЮ40.В21418; регистрационное удостоверение № ФСР 2011/10343 от 18.03.2011; изготовитель ООО «АЛКОМ Медика», Россия). После установки игл в контрольные точки в их просвет введено 0,5 мл раствора лидокаина и установлено оптоволокно на 1 мм глубже среза иглы. Проведена дерецепция дугоотростчатых суставов в импульсном режиме (продолжительность импульса 0,5 сек с 0,3-секундным перерывом; 3 серии импульсов по 10 в серии; мощность 5,0; 5,5; 6,0 Вт). После завершения процедуры иглы с оптическим волокном последовательно удалены. Наложена асептическая повязка.
Динамика и исходы
В послеоперационном периоде пациент отметил снижение интенсивности болевого синдрома в пояснично-крестцовом отделе позвоночника до 3 баллов по ВАШ. Выписан из отделения в удовлетворительном состоянии на 5-е сут после дерецепции фасеточных суставов LII–LIII, LIII–LIV, LIV–LV справа.
ОБСУЖДЕНИЕ
В настоящее время остается открытым вопрос о взаимосвязи локальных структурных изменений в дугоотростчатых суставах и других анатомических единицах позвоночно-двигательного сегмента с клинико-неврологическими проявлениями заболевания [13, 14], что затрудняет и сдерживает возможность раскрытия механизмов патогенеза болевого синдрома при дегенеративных заболеваниях позвоночника [15, 16]. Деформация дугоотростчатых суставов и морфологические изменения в них обусловливают развитие спондилолистеза, нарушения тропизма фасеточных суставов, а в ряде случаев сакрализацию нижнего поясничного сегмента [8]. Рентгенологические исследования у пациентов с поясничным спондилолистезом выявляют «вакуум-феномен» в дугоотростчатых суставах и являются исходом дегидратации и потери эластичности окружающими тканями [8].
Проведенные исследования позволили выявить связь между наличием вакуумного феномена и нестабильностью в позвоночно-двигательном сегменте поясничного отдела позвоночника у пациентов с дегенеративным поражением дугоотростчатых суставов. Доказано, что наличие газа в полости сустава, выявленного на КТ-изображениях, свидетельствует о сегментарной нестабильности [17–19]. Другими словами, дегенеративные изменения в дугоотростчатых суставах являются потенциальным фактором развития нестабильности в позвоночно-двигательном сегменте, усугубляя болевой синдром и утяжеляя состояние пациента [8, 20]. Слабость связочно-капсулярного аппарата дугоотростчатых суставов нередко сопровождается рефлекторным мышечно-тоническим и болевым синдромом вследствие нестабильности позвоночно-двигательного сегмента. Нестабильность сустава и его перегрузка стимулируют механизмы, которые индуцируют катаболическую фазу деградации и дегенерации суставного хряща [22–24].
Морфологические изменения в дугоотростчатых суставах с перестройкой клеточной микроархитектоники находятся и во взаимосвязи с тяжестью дегенерации межпозвонкового диска. Изменение толщины суставного хряща, склерозирование и нарушение взаимоотношений между хрящевыми и костными структурами фасеточного сустава обусловливают нарушение функции сустава и, как исход, анкилозирование [19, 21]. Все описанные выше морфологические изменения в дугоотростчатых суставах являются одной из частых причин болей в позвоночнике. Болевой синдром может быть вызван асептическим воспалением в спинномозговых корешках и ганглиях вследствие их компрессии в латеральных карманах и фораминальных отверстиях при спондилоартрозах, что нередко и является морфологическим субстратом боли. Компрессия корешка возникает при формировании остеофитов, гипертрофии фасеточных суставов с его капсулой, выпота в суставах с капсулярным отеком или образованием синовиальных кист [19, 21].
В течение последних десятилетий изучены и внедрены в клиническую практику диагностические признаки патологии дугоотростчатых суставов при визуализационных методах исследований (МРТ и МСКТ). Степень тяжести дегенеративных изменений в дугоотростчатых суставах отражена в МРТ-классификации A. Fujiwara [25]:
- I степень: отсутствие гипертрофии дугоотростчатых суставов с гипоинтенсивным сигналом в режимах Т1 и Т2;
- II степень: отсутствие гипертрофии дугоотростчатых суставов с гипоинтенсивным сигналом в режиме Т1 и гиперинтенсивным сигналом в режиме Т2;
- III степень: отсутствие гипертрофии дугоотростчатых суставов с гиперинтенсивным сигналом в режиме Т1 и/или гиперинтенсивным сигналом в режиме Т2;
- IV степень: гипертрофия дугоотростчатых суставов с гипоинтенсивным сигналом в режимах Т1 и Т2.
Для объективизации выраженности артроза дугоотростчатых суставов используется МСКТ-классификация D. Weishaupt и соавт. на основе градации артропатии [26]:
- I степень (нормальная): нет сужения суставной щели (2 мм и более); нет остеофитов или возможны мелкие остеофиты; отсутствие гипертрофии фасеточного сустава; нет склероза; нет субхондральных эрозий; нет субхондральных кист; отсутствует «вакуум-эффект»;
- II степень (суставная щель 1–2 мм): наличие мелких остеофитов и/или легкая гипертрофия дугоотростчатого сустава; нет субхондральных эрозий; нет субхондральных кист; нет «вакуум-эффекта»;
- III степень (суставная щель ≤1 мм): умеренные остеофиты; умеренная гипертрофия суставного отростка; умеренные субхондральные эрозии; субхондральные кисты; явление «вакуум-эффекта»;
- IV степень (не определяется суставная щель): крупные остеофиты; выраженная гипертрофия дугоотростчатого сустава; выраженные эрозии суставов; выраженные субхондральные кисты; явление «вакуум-эффекта».
И все же связь между дегенеративными изменениями в дугоотростчатых суставах и болью в поясничном отделе позвоночника остается неясной и является предметом постоянных дискуссий [13, 27–29]. При отборе пациентов для хирургического лечения необходимо учитывать корреляцию клинических и интроскопических признаков, таких как спондилоартроз III–IV степени с «вакуум-эффектом» в дугоотростчатых суставах (последнее будет более эффективно и долговременно при соответствии боли выявленным признакам). Лазерное воздействие обеспечивает смягчение боли за счет невролиза фасеточных нервов (медиальной ветви заднего корешка) с прерыванием болевого сигнала, исходящего от дугоотростчатых суставов.
ЗАКЛЮЧЕНИЕ
Понимание морфологических, клинических и рентгенологических особенностей течения дегенеративного поражения фасеточных суставов позволяет повысить диагностические возможности выявления фасет-синдрома поясничного отдела позвоночника и эффективно применять транскутанные хирургические технологии для лечения хронических болевых синдромов.
ДОПОЛНИТЕЛЬНАЯ ИНФОРМАЦИЯ
Вклад авторов. В.Э. Потапов — лечение и обследование пациента, проведение хирургической процедуры; В.А. Сороковиков — научное редактирование и утверждение рукописи для публикации; С.Н. Ларионов — обсуждение результатов исследования, написание текста статьи; А.П. Животенко — поисково-аналитическая работа, написание текста статьи. Авторы подтверждают соответствие своего авторства международным критериям ICMJE (все авторы внесли существенный вклад в разработку концепции, проведение исследования и подготовку статьи, прочли и одобрили финальную версию перед публикацией).
Author contribution. V.E. Potapov — examination and treatment of the patient, performing the surgical procedure; V.A. Sorokovikov — scientific editing and approval of the manuscript for publication; S.N. Larionov — discussion of the research results, manuscript writing; A.P. Zhivotenko — literature search and analysis, manuscript writing. The authors made a substantial contribution to the conception of the work, acquisition, analysis, interpretation of data for the work, drafting and revising the work, final approval of the version to be published and agree to be accountable for all aspects of the work.
Источник финансирования. Авторы заявляют об отсутствии внешнего финансирования при проведении исследования.
Funding source. This study was not supported by any external sources of funding.
Конфликт интересов. Авторы декларируют отсутствие явных и потенциальных конфликтов интересов, связанных с публикацией настоящей статьи.
Competing interests. The authors declare that they have no competing interests.
Информированное согласие. От пациента получено добровольное информированное согласие на публикацию анонимизированных сведений о его заболевании, результатах обследования и лечения (дата подписания 14.06.2021).
Consent for publication. A voluntary informed consent was obtained from the patient to publish anonymized information about his disease, the results of examination and treatment (date of signing 14.06.2021).
* Радиологический признак (вид собаки Скотти сбоку) относится к появлению поясничного отдела позвоночника на рентгеновском снимке в косой проекции
About the authors
Vitaliy E. Potapov
Irkutsk Scientific Centre of Surgery and Traumatology
Author for correspondence.
Email: pva454@yandex.ru
ORCID iD: 0000-0001-9167-637X
SPIN-code: 5349-8690
M.D., Ph.D., Senior Research Associate
Russian Federation, 1, Bortsov Revolitsii street, Irkutsk, 664003Vladimir A. Sorokovikov
Irkutsk Scientific Centre of Surgery and Traumatology; Irkutsk State Medical Academy of Postgraduate Education — Branch Campus of the Russian Medical Academy of Continuing Professional Education
Email: vasorokovikov@mail.ru
ORCID iD: 0000-0002-9008-6383
SPIN-code: 8379-4458
M.D., Ph.D., Dr. Sci. (Med.), Professor
Russian Federation, 1, Bortsov Revolitsii street, Irkutsk, 664003; IrkutskSergey N. Larionov
Irkutsk Scientific Centre of Surgery and Traumatology
Email: snlar@mail.ru
ORCID iD: 0000-0001-9189-3323
SPIN-code: 6720-4117
M.D., Ph.D., Dr. Sci. (Med.), Senior Research Associate
Russian Federation, 1, Bortsov Revolitsii street, Irkutsk, 664003Alexandr P. Zhivotenko
Irkutsk Scientific Centre of Surgery and Traumatology
Email: sivotenko1976@mail.ru
ORCID iD: 0000-0002-4032-8575
SPIN-code: 8016-5626
Junior Research Associate
Russian Federation, 1, Bortsov Revolitsii street, Irkutsk, 664003References
- Шпагин М.В., Яриков А.В., Назмеев И.А., и др. Опыт денервации дугоотростчатых суставов поясничного отдела позвоночника // Хирургия позвоночника. 2019. Т. 16, № 1. С. 57–62. [Shpagin MV, Yarikov AV, Nazmeev IA, et al. The experience of denervation of facet joints in the lumbar spine. Spine Surgery. 2019;16(1):57–62. (In Russ).] doi: 10.14531/ss2019.1.57-62
- Parenteau CS, Lau EC, Campbell IC, Courtney A. Prevalence of spine degeneration diagnosis by type, age, gender, and obesity using Medicare data. Sci Rep. 2021;11(1):5389. doi: 10.1038/s41598-021-84724-6
- Спирин Н.Н., Киселев Д.В. Проблема хронической боли в спине: фасеточный синдром // Русский медицинский журнал. 2015. Т. 23, № 17. С. 1025–1030. [Spirin NN, Kiselev DV. Chronic back pain problems: facet syndrome. Russian Medical Journal. 2015;23(17):1025–1030. (In Russ).]
- Manchikanti L, Kaye AD, Soin A, et al. Comprehensive evidence-based guidelines for facet joint interventions in the management of chronic spinal pain: American society of interventional pain physicians (ASIPP) guidelines facet joint interventions 2020 guidelines. Pain Physician. 2020;23(3S):S1–S127.
- Каратеев А.Е., Давыдов О.С., Яхно Н.Н., и др. Остеоартрит суставов позвоночника как причина хронической боли в нижней части спины // Научно-практическая ревматология. 2019. Т. 55, № 2. С. 1–16. [Karateev AE, Davydov OS, Yakhno NN, et al. Spinal osteoarthritis as a cause of chronic low back pain. Scientific and Practical Rheumatology. 2019;55(Suppl. 2):1–16. (In Russ).] doi: 10.14412/1995-4484-2019-1-16
- Потапов В.Э., Кошкарева З.В., Животенко А.П., и др. Пункционные хирургические технологии в лечении фасет-синдрома при спондилоартрозах в поясничном отделе (обзор литературы) // Acta Biomedica Scientifica. 2020. Т. 5, № 2. С. 36–42. [Potapov VE, Koshkareva ZV, Zhivotenko AP, et al. Puncture surgical technologies in the treatment of facet syndrome for spondylarthrosis in the lumbar spine (literature review). Acta Biomedica Scientifica. 2020;5(2):36–42. (In Russ).] doi: 10.29413/ABS.2020-5.2.6
- Lv B, Yuan J, Ding H, et al. Relationship between endplate defects, modic change, disc degeneration, and facet joint degeneration in patients with low back pain. Biomed Res Int. 2019;2019:9369853. doi: 10.1155/2019/9369853
- Varlotta GP, Lefkowitz TR, Schweitzer M, et al. The lumbar facet joint: a review of current knowledge: part 1: anatomy, biomechanics, and grading. Skeletal Radiol. 2011;40(1):13–23. doi: 10.1007/s00256-010-0983-4
- Murena L, Canton G, Giraldi G, Bassini S. Spine pain: clinical features. In: Cova M, Stacul F. (eds). Pain imaging. Springer, Cham; 2019. doi: 10.1007/978-3-319-99822-0-7
- Хорошев Д.В., Ильялов О.Р., Устюжанцев Н.Е., Няшин Ю.И. Биомеханическое моделирование межпозвоночного диска поясничного отдела человека — современное состояние проблемы // Российский журнал биомеханики. 2019. Т. 23, № 3. C. 411–422. [Khoroshev DV, Ilyalov OR, Ustyuzhantsev NE, Nyashin YI. Biomechanical modeling of the intervertebral disc of the human lumbar spine — the current state of the problem. Russian Journal of Biomechanics. 2019;23(3):411–422. (In Russ).] doi: 10.15593/RZhBiomeh/2019.3.07
- Луцик А.А., Шмидт И.Р., Колотов Е.Б. Спондилоартроз. Новосибирск: Издатель, 2003. 290 с. [Lutsik AA, Schmidt IR, Kolotov EB. Spondyloarthrosis. Novosibirsk: Publisher; 2003. 290 р. (In Russ.)]
- Митьковский С.В., Кипарисова Е.С., Кочетков А.В., Митьковский В.Г. К вопросу о наиболее частых причинах хронического болевого синдрома пояснично-крестцовой локализации. Современные подходы немедикаментозного лечения // Курортная медицина. 2020. № 4. С. 75–88. [Mitkovsky SV, Kiparisova ES, Kochetkov AV, Mitkovsky VG. To the question of the most common causes of chronic pain syndrome of lumbosacral localization. Modern approaches to non-drug treatment. Spa Medicine. 2020;(4):75–88. (In Russ).]
- Manchikanti L, Schultz DM, Falco FJ, Singh V. Lumbar facet joint interventions. In: Manchikanti L, Kaye A, Falco F, Hirsch J. (eds). Essentials of interventional techniques in managing chronic pain. Springer, Cham; 2018. doi: 10.1007/978-3-319-60361-2-19
- Дедух Н.В., Малышкина С.В., Керн М., Панков Е.Я. Возрастные изменения межклеточного вещества гиалиновой и коллаген-волокнистой хрящевой ткани // Архив анатомии, гистологии и эмбриологии. 1988. Т. 114, № 4. С. 35–40. [Dedukh NV, Malyshkina SV, Kern M, Pankov EY. Age-related changes in the intercellular substance of hyaline and collagen-fibrous cartilage. Archive of Anatomy, Histology and Embryology. 1988;114(4):35–40. (In Russ).]
- Луцик А.А., Колотов Е.Б. Диагностика и лечение спондилоартроза // Хирургия позвоночника. 2004. № 1. С. 55–59. [Lutsik AA, Kolotov EB. Diagnosis and treatment of spondyloarthrosis. Spine Surgery. 2004;(1):55–59. (In Russ).]
- Gries NC, Berlemann U, Moore RJ, Vernon-Roberts B. Early histologic changes in lower lumbar discs and facet joints and their correlation. Eur Spine J. 2000;9(1):23–29. doi: 10.1007/s005860050004
- Hofmann UK, Keller RL, Walter C, Mittag F. Predictability of the effects of facet joint infiltration in the degenerate lumbar spine when assessing MRI scans. J Orthop Surg Res. 2017;12(1):180. doi: 10.1186/s13018-017-0685-x
- Lattig F, Fekete TF, Grob D, et al. Lumbar facet joint effusion in MRI: a sign of instability in degenerative spondylolisthesis? Eur Spine J. 2012;21(2):276–281. doi: 10.1007/s00586-011-1993-1
- Beazell JR, Mullins M, Grindstaff TL. Lumbar instability: an evolving and challenging concept. J Man Manip Ther. 2010; 18(1):9–14. doi: 10.1179/106698110X12595770849443
- Конев В.П., Кривошеин А.Е., Колесов С.В., и др. Морфологические изменения в фасеточных суставах при различных степенях дегенерации межпозвоночных дисков // Современные проблемы науки и образования. 2020. № 2. C. 130–136. [Konev VP, Krivoshein AE, Kolesov SV, et al. Morphological changes in facet joints with various degrees of degeneration of intervertebral discs. Modern Problems of Science and Education. 2020;2:130–136. (In Russ).] doi: 10.17513/spno.29658
- Kim HJ, Kang KT, Son J, et al. The influence of facet joint orientation and tropism on the stress at the adjacent segment after lumbar fusion surgery: a biomechanical analysis. Spine J. 201515(8):1841–1847. doi: 10.1016/j.spinee.2015.03.038
- Ткачев А.М., Епифанов А.В., Акарачкова Е.С., и др. Патофизиологические механизмы дегенерации межпозвонковых дисков // РМЖ. Медицинское обозрение. 2019. Т. 3, № 4-2. C. 72–77. [Tkachev AM, Epifanov AV, Akarachkova ES, et al. Pathophysiological mechanisms of intervertebral disc degeneration. RMJ. Medical Review. 2019;3(4-2):72–77. (In Russ).]
- Gawri R, Rosenzweig DH, Krock E, et al. High mechanical strain of primary intervertebral disc cells promotes secretion of inflammatory factors associated with disc degeneration and pain. Arthritis Res Ther. 2014;16(1):R21. doi: 10.1186/ar4449
- Ma K, Chen S, Li Z, et al. Mechanisms of endogenous repair failure during intervertebral disc degeneration. Osteoarthritis Cartilage. 2019;27(1):41–48. doi: 10.1016/j.joca.2018.08.021
- Fujiwara A, Lim TH, An HS, et al. The effect of disc degeneration and facet joint osteoarthritis on the segmental flexibility of the lumbar spine. Spine (Phila Pa 1976). 2000;25(23):3036–3044. doi: 10.1097/00007632-200012010-00011
- Weishaupt D, Zanetti M, Boos N, Hodler J. MR imaging and CT in osteoarthritis of the lumbar facet joints. Skeletal Radiol. 1999;28(4):215–219. doi: 10.1007/s002560050503
- Manchikanti L, Hirsch JA, Falco FJ, Boswell MV. Management of lumbar zygapophysial (facet) joint pain. World J Orthop. 2016;7(5):315–337. doi: 10.5312/wjo.v7.i5.315
- Boswell MV, Manchikanti L, Kaye AD, et al. A best-evidence systematic appraisal of the diagnostic accuracy and utility of facet (zygapophysial) joint injections in chronic spinal pain. Pain Physician. 2015;18(4):E497–E533.
- Saito T, Steinke H, Miyaki T, et al. Analysis of the posterior ramus of the lumbar spinal nerve: the structure of the posterior ramus of the spinal nerve. Anesthesiology. 2013;118(1):88–94. doi: 10.1097/ALN.0b013e318272f40a
Supplementary files





