Case of successful treatment of pulmonary embolism with invasive methods
- Authors: Alekseeva Y.M.1, Potievskaya V.I.1, Lebedev D.P.1, Agagulyan E.V.1
-
Affiliations:
- FGUZ Clinical Hospital No. 83 FMBA of Russia
- Issue: Vol 1, No 4 (2010)
- Pages: 22-25
- Section: Articles
- Submitted: 16.03.2018
- Published: 15.12.2010
- URL: https://clinpractice.ru/clinpractice/article/view/8179
- DOI: https://doi.org/10.17816/clinpract1422-25
- ID: 8179
Cite item
Full Text
Abstract
This research is devoted to analyzing of the case of pulmonary embolism in a young woman with deep vein thrombosis taking oral contraceptives and successfully treated by surgical methods. Pulmonary angiography performed in patient L. allowed to confirm the diagnosis ofpulmonary embolism and reveal the localization of the thrombus. The treatment included selective thrombolysis by actilyse through catheter in the pulmonary artery. The treatment was not only non-invasive but included surgical intervention. Using of invasive methods, thrombolysis and anticoagulant medication allowed to stabilize the condition of the patient and prevent development of right ventricular failure.
Keywords
Full Text
Тромбоэмболия легочной артерии (ТЭЛА) является третьей по частоте причиной смерти от сердечно-сосудистых заболеваний после инфаркта миокарда и мозгового инсульта. Около 0,1% всего населения Земли ежегодно умирают от ТЭЛА [1, 2].
В большинстве случаев источником ТЭЛА являются тромбы, занесенные из венозного бассейна большого крута, а именно, из глубоких вен нижних конечностей и малого таза. Наиболее опасными являются так называемые флотирующие тромбы, имеющие одну дистальную точку фиксации. Существует ряд врожденных и приобретенных факторов риска ТЭЛА, одним из которых является прием оральных контрацептивов и терапия эстрогенами [3].
В настоящей работе рассмотрен клинический случай развития ТЭЛА у молодой женщины 30 лет с тромбозом глубоких вен (ТГВ) нижних конечностей, которой было успешно проведено хирургическое лечение.
Больная Л. поступила в КБ № 83 с жалобами на одышку при минимальной физической нагрузке, учащенное сердцебиение, кашель со слизистой мокротой. Заболела 2 дня назад, когда впервые заметила появление одышки при выходе из автобуса. Постепенно одышка нарастала, появился кашель со слизистой мокротой, сердцебиение, ощущение тяжести в грудной клетке. Из анамнеза известно, что страдает бесплодием, в течение 2 месяцев по назначению гинеколога принимала регулон.
При поступлении состояние средней тяжести. Положение в постели с приподнятым головным концом. Избыточного питания (рост 168 см, вес 90 кг). Кожные покровы обычной окраски, цианоза нет, периферические лимфоузлы не увеличены, отмечается отечность левой голени. Форма грудной клетки правильная. В легких дыхание проводится во все отделы, жесткое, хрипов нет, частота дыхательных движений 22 в минуту. Границы относительной сердечной тупости в пределах нормы. Тоны сердца приглушены, ритмичны, ЧСС 120 в 1 мин. АД 110/70 мм рт. ст. Язык чистый, влажный, живот мягкий, безболезненный, увеличен за счет подкожной жировой клетчатки. Печень и селезенка не пальпируются. Со стороны мочевыделительной и нервной систем патологии нет. На ЭКГ - горизонтальное положение электрической оси сердца, синусовая тахикардия.
В приемном отделении было обращено внимание на синусовую тахикардию, предварительные клинические диагнозы: вегетососудистая дистония по кардиальному типу, острый миокардит, обострение хронического бронхита. Однако врачом-кардиологом по клинической картине заболевания сразу была заподозрена ТЭЛА. Экстренно было выполнено обследование: ультразвуковое дуплексное сканирование (УЗДС) вен нижних конечностей, эхокардиография (ЭХОКГ), анализ крови на Д-димер.
По данным УЗДС вен нижних конечностей выявлен окклюзивный тромбоз латеральных и одной из медиальных суральных вен слева, где определялись гетерогенные тромботические массы без признаков реканализации.
Заключение ЭХОКГ: аорта не расширена, стенки не изменены. Створки аортального клапана не изменены. Камеры сердца не расширены (левое предсердие 35 мл, правое предсердие 36 мл). Митральная регургитация 0-1 степени. Трикуспидальная регургитация 2 степени. Легочная регургитация незначительная. Систолическое давление в легочной артерии повышено до 36 мм рт. ст. Зон нарушений локальной сократимости не выявлено. Глобальная сократимость миокарда в норме, фракция выброса 64%. Нижняя полая вена не расширена - 1,7 см, коллабирует более 50%.
У пациентки также был получен положительный анализ на Д-димер.
Больная консультирована сосудистым хирургом. С учетом наличия у пациентки факторов риска ТЭЛА: ТГВ голеней, регулярного приема гормональных препаратов, клинической симптоматики (немотивированная тахикардия, одышка в покое, кашель) в сочетании с легочной гипертензией была экстренно выполнена ангиопульмонография.
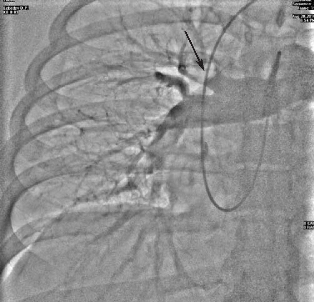
При проведении ангиопульмонографии выявлен округлый внутрипросветный дефект контрастирования размерами 2,0x1,5 см верхнедолевой ветви правой легочной артерии - ангиографические признаки субмассивной ТЭЛА (см рис.).
Выполнена нижняя илеокаваграфия, обнаружен пристеночный дефект контрастирования в правой внутренней подвздошной вене, т.е. признаки тромбоза. Было решено выполнить имплантацию съемного кава-фильтра с последующим проведением селективного тромболизиса легочной артерии В нижнюю полую вену имплантировали на уровне LII съемный кава-фильтр "Tulip" COOK.
Больную перевели в отделение реанимации и интенсивной терапии, где проводили селективный тромболизис через катетер, установленный в правой легочной артерии, в суммарной дозе 50 мг актилизе с последующей антикоагулянтной терапией нефракционированным гепарином.
По данным рентгенографии грудной клетки патологических изменений выявлено не было. На КТ грудной клетки 20.08.10 справа в S10 определялось уплотнение легочной ткани неправильной треугольной формы, расположенное субплеврально и незначительное расширение ствола легочной артерии до 27 мм (норма 26 мм). На КТ грудной клетки от 27.08.10 картина стала более характерной для ТЭЛА мелких ветвей правой легочной артерии: выявлен пристеночный тромб в бифуркации S6 с распространением преимущественно в субсегментарные бронхи с сужением просвета на 75%. В легочной ткани патологических изменений не выявлено.
После проведенной тромболитической, антикоагулянтной, антиагрегантной, противовоспалительной терапии состояние пациентки улучшилось, гемодинамика оставалась стабильной, одышка уменьшилась, и больная была переведена из отделения реанимации в отделение сосудистой хирургии. 07.09.2010 г. произведено удаление кава-фильтра. Состояние больной продолжало улучшаться, уменьшилась отечность левой голени. По данным ЭХОКГ от 31.08.2010 признаков легочной гипертензии не выявлено, систолическое давление в легочной артерии составило 17 мм рт. ст.
Рис. Ангиограмма правой главной ветви легочной артерии. Стрелка указывает на дефект наполнения.
15.09.2010 г. больная была выписана в удовлетворительном состоянии под наблюдение сосудистого хирурга и пульмонолога с рекомендациями продолжить антикоагулянтную терапию (варфарин в дозе 7,5 мг в сутки под контролем MHO 1 раз в 14 дней при оптимальных значениях МНО от 2,0 до 3,0).
Обсуждение
В настоящее время ТЭЛА и ТГВ рассматриваются как проявления одного заболевания - венозной тромбоэмболической болезни. Наиболее часто развитием ТЭЛА осложняется тромбоз в бассейне нижней полой вены, в том числе венах нижних конечностей, как у пациентки Л., у которой был выявлен тромбоз суральных вен слева. Л. также принимала оральные контрацептивы, что, как известно, повышает риск ТГВ в 4 раза [4]. Наличие генетически детерминированных тромбофилий значительно увеличивает риск ТГВ у женщин, использующих этот вид контрацепции (в 30 раз при выявлении лейденской аномалии). Лейденская мутация в гене фактора V заключается в замене аргинина на глутамин в локусе 506, что приводит к развитию резистентности к активированному протеину С. Учитывая молодой возраст пациентки и нарушения репродуктивной функции, не исключено наличие у нее врожденной патологии системы гемостаза. Больной Л. было рекомендовано генетическое обследование для уточнения наличия у нее первичных факторов риска венозных тромботических осложнений.
Присутствие у пациентки клинической симптоматики (диспноэ, кашель, синусовая тахикардия) сразу заставило кардиолога заподозрить ТЭЛА. Легочная гипертензия, выявленная при ЭХОКГ, позволила с высокой вероятностью подтвердить этот диагноз. По литературным данным, легочная гипертензия развивается в острой стадии ТЭЛА примерно в 80% случаев. Чаще всего она спонтанно регрессирует параллельно с реканализацией сосудистого русла легких. У больных с подозрением на ТЭЛА по клиническим данным синдромокомплекса «отсутствия очаговых и инфильтративных изменений в легких по данным рентгенографии легких + легочная гипертензия» резко суживает диагностический поиск. После получения результатов ЭХОКГ и исключения заболеваний левых отделов сердца, которые могут являться причиной развития легочной гипертензии, вероятность диагноза ТЭЛА составляет 88,2%, а это уже сопоставимо с результатами применения вентиляционно-перфузионного сканирования легких (ВПСЛ), КТ грудной клетки с контрастированием сосудов и ангиопульмонографией [5]. Дифференциальный диагноз в этом случае следует проводить с ХОБЛ, интерстициальными заболеваниями легких, нарушениями дыхания во время сна, альвеолярной гиповентиляцией. В более редких случаях дифференциальный диагноз проводится с миелопролиферативными заболеваниями, сдавлением легочных сосудов, заболеваниями соединительной ткани, портальной гипертензией, нетромботическими легочными эмболиями.
Тем не менее, «золотым стандартом» в диагностике ТЭЛА остается ангиопульмонография, чувствительность и специфичность которой приближаются к 100%. Больной Л. было проведено ангиографическое исследование, которое позволило подтвердить диагноз ТЭЛА и выявить локализацию тромба.
Инфузия гепаринов (низкомолекулярных или нефракционированного) с последующим переводом на варфарин абсолютно показана в острый период ТЭЛА. Результаты большинства клинических исследований указывают на определенные преимущества тромболизиса в таких случаях, которые, однако, сопряжены с некоторым риском геморрагических осложнений [6]. При этом даже успешная тромболитическая терапия практически не уменьшает риск смерти, однако она может улучшить функцию правого желудочка [7]. Больной Л. тромболитическая терапия актилизе проводилась селективно, через катетер, установленный в легочную артерию, что повышает эффективность данного вида лечения.
Варфарин на сегодняшний день остается препаратом выбора для профилактики рецидивов тромбозов и эмболий у больных, перенесших ТЭЛА, поэтому после выписки из клиники пациентке назначили прием варфарина на срок около 1 года с удержанием международного нормализованного отношения (МНО) в пределах 2-3 и после этого еще 6-12 мес. с удержанием МНО в пределах 1,5-2 [8].
Больной Л. было проведено не только консервативное лечение ТЭЛА, но и хирургическое лечение, включавшее имплантацию кава- фильтра. В настоящее время мнения о целесообразности установки кава-фильтров противоречивы [9]. По данным исследования PREPIC продемонстрирована долговременная профилактическая эффективность кава-фильтра в отношении развития ТЭЛА у больных ТГВ. Однако, поскольку имплантация кава-фильтра была связана с существенным риском рецидива ТГВ, развитием посттромботического синдрома и отсутствием лучшей выживаемости, ее рутинное применение у больных с венозными тромбозами не рекомендуется. По мнению авторов, наибольшую пользу от кава-фильтра следует ожидать у пациентов с высоким риском смертельной ТЭЛА, например, когда заболевание манифестирует легочной эмболией или имеется идиопатический или связанный с онкологическим заболеванием ТГВ [ 10]. В случае с пациенткой Л. заболевание дебютировало развитием легочной эмболии и сочеталось с факторами риска тромбоза сосудов (прием оральных контрацептивов на фоне гормонального дисбаланса и, возможно, первичной патологии гемостаза). Таким образом, у больной имел место высокий риск рецидива ТЭЛА, что и явилось показанием к проведению экстренного хирургического вмешательства в сочетании с селективным тромболизисом.
Применение инвазивных методов лечения, тромболитической, антикоагулянтной, антиагрегантной терапии позволили добиться стабилизации состояния больной и предотвратить развитие хронической правожелудочковой недостаточности.
About the authors
Yulia M. Alekseeva
FGUZ Clinical Hospital No. 83 FMBA of Russia
Email: info@eco-vector.com
head Department of Cardiology-2, Candidate of Medical Sciences
Russian Federation, 28, Orekhovy Boulevard, MoscowVera I. Potievskaya
FGUZ Clinical Hospital No. 83 FMBA of Russia
Email: info@eco-vector.com
doctor of the intensive care unit, doctor of medical sciences
Russian Federation, 28, Orekhovy Boulevard, MoscowDmitry P. Lebedev
FGUZ Clinical Hospital No. 83 FMBA of Russia
Email: info@eco-vector.com
Doctor of the Department of X-ray Surgical Diagnostic and Treatment Methods
Russian Federation, 28, Orekhovy Boulevard, MoscowEleanor V. Agagulyan
FGUZ Clinical Hospital No. 83 FMBA of Russia
Author for correspondence.
Email: info@eco-vector.com
Doctor of the Department of Cardiology-2
Russian Federation, 28, Orekhovy Boulevard, MoscowReferences
- Российский консенсус «Профилактика послеоперационных тромбоэмболических осложнений». М., 2000. 20 с.
- Torbicki A., Perrier A., Konstantinides S. et al. Guidelines on the diagnosis and management of acute pulmonary embolism: the Task Force for the Diagnosis and Management of Acute Pulmonary Embolism of the European Society of Cardiology (ESC) // Eur. Heart J. 2008. Vol. 29 (18). P. 2276-2315.
- Тромбоэмболия легочной артерии: руководство / Под редакцией С.Н.Терещенко. М.: ГЭОТАР-Медиа, 2010. 96 с.
- Бокарев И.Н., Попова Л.В. Венозный тромбoэмболизм и тромбоэмболия легочной артерии. МИА, 2005. 208 с.
- Котельников М.В., Котельникова Н.Ю. Диагностика и лечение тромбоэмболии легочной артерии //РМЖ. 2008. Т. 16, № 17. С. 1110-1116.
- Михайлова Е. Тромбоэмболия на фоне нефротического синдрома // Medicine Review. 2008. Vol. 2 (02) P. 50-55.
- Dong B., Jirong Y., Liu G. et al. Thrombolytic therapy for pulmonary embolism // Cochrane Database Syst. Rev. 2006. Vol. 2. CD004437-CD004437.
- Verhaeghe R., Agnelli G., Becattini C. et al. Therapeutic aspects of pulmonary embolism. In: Pulmonary Vascular Pathology: A Clinical Update / Ed. by Demedts M., Delcroix M., Verhaeghe R., Verleden G. M. // J. Eur. Respiratory Soc. 2004. Vol. 9. Monogr. 27. Ch. 3. P. 25-32.
- Tapson V.F. Acute pulmonary embolism // N. Engl. J. Med. 2008. Vol. 358 (10). P. 1037-1052.
- PREPIC Study Group. Eight-year follow-up of patients with permanent vena cava filters in the prevention of pulmonary embolism: the PREPIC (Prevention du Risque d'Embolie Pulmonaire par Interruption Cave) randomized study // Circulation. 2005. Vol. 112
Supplementary files



